Bilateral adrenal adenomas with autonomous cortisol secretion from both glands and autonomous aldosterone secretion from the left adrenal: a case report.

IF 1.4 Q3 MEDICINE, GENERAL & INTERNAL
Journal of Yeungnam medical science Pub Date : 2025-01-01 Epub Date: 2025-04-28 DOI:10.12701/jyms.2025.42.33
Jung Eun Han, Soyeon Yoo, Sang Ah Lee, Gwanpyo Koh
{"title":"Bilateral adrenal adenomas with autonomous cortisol secretion from both glands and autonomous aldosterone secretion from the left adrenal: a case report.","authors":"Jung Eun Han, Soyeon Yoo, Sang Ah Lee, Gwanpyo Koh","doi":"10.12701/jyms.2025.42.33","DOIUrl":null,"url":null,"abstract":"<p><p>Primary aldosteronism (PA) is the most common cause of secondary hypertension and increases the morbidity and mortality associated with cardiovascular diseases. When PA coexists with autonomous cortisol secretion (ACS), the cardiovascular risk increases significantly, especially in cases of bilateral adrenal adenomas with asymmetric hormone secretion, which poses diagnostic and therapeutic challenges. A 50-year-old female presented with hypertension and hypokalemia. PA was diagnosed based on elevated aldosterone levels, suppressed plasma renin activity, and the results of various dynamic endocrine tests. Imaging revealed bilateral adrenal adenomas, and adrenal venous sampling (AVS) confirmed aldosterone hypersecretion from the left adrenal gland and cortisol hypersecretion from both adrenal glands. The patient subsequently underwent left adrenalectomy, which resolved the aldosterone hypersecretion and normalized blood pressure and potassium levels. However, the cortisol hypersecretion persisted. This case highlights the importance of AVS in identifying the sources of hormone secretion and enabling targeted surgical treatment while avoiding bilateral adrenalectomy, which can lead to lifelong adrenal insufficiency. Comprehensive endocrine evaluation, including ACS assessment, in patients with PA is essential to help reduce the cardiovascular risks associated with PA and ACS and thus improve treatment outcomes.</p>","PeriodicalId":74020,"journal":{"name":"Journal of Yeungnam medical science","volume":"42 ","pages":"33"},"PeriodicalIF":1.4000,"publicationDate":"2025-01-01","publicationTypes":"Journal Article","fieldsOfStudy":null,"isOpenAccess":false,"openAccessPdf":"https://www.ncbi.nlm.nih.gov/pmc/articles/PMC12303784/pdf/","citationCount":"0","resultStr":null,"platform":"Semanticscholar","paperid":null,"PeriodicalName":"Journal of Yeungnam medical science","FirstCategoryId":"1085","ListUrlMain":"https://doi.org/10.12701/jyms.2025.42.33","RegionNum":0,"RegionCategory":null,"ArticlePicture":[],"TitleCN":null,"AbstractTextCN":null,"PMCID":null,"EPubDate":"2025/4/28 0:00:00","PubModel":"Epub","JCR":"Q3","JCRName":"MEDICINE, GENERAL & INTERNAL","Score":null,"Total":0}
引用次数: 0

Abstract

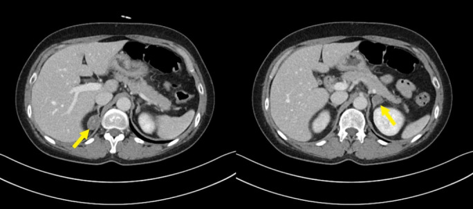
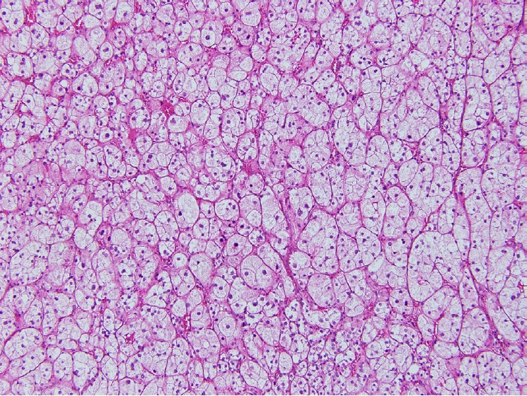
Primary aldosteronism (PA) is the most common cause of secondary hypertension and increases the morbidity and mortality associated with cardiovascular diseases. When PA coexists with autonomous cortisol secretion (ACS), the cardiovascular risk increases significantly, especially in cases of bilateral adrenal adenomas with asymmetric hormone secretion, which poses diagnostic and therapeutic challenges. A 50-year-old female presented with hypertension and hypokalemia. PA was diagnosed based on elevated aldosterone levels, suppressed plasma renin activity, and the results of various dynamic endocrine tests. Imaging revealed bilateral adrenal adenomas, and adrenal venous sampling (AVS) confirmed aldosterone hypersecretion from the left adrenal gland and cortisol hypersecretion from both adrenal glands. The patient subsequently underwent left adrenalectomy, which resolved the aldosterone hypersecretion and normalized blood pressure and potassium levels. However, the cortisol hypersecretion persisted. This case highlights the importance of AVS in identifying the sources of hormone secretion and enabling targeted surgical treatment while avoiding bilateral adrenalectomy, which can lead to lifelong adrenal insufficiency. Comprehensive endocrine evaluation, including ACS assessment, in patients with PA is essential to help reduce the cardiovascular risks associated with PA and ACS and thus improve treatment outcomes.

Abstract Image

Abstract Image

双侧肾上腺腺瘤伴双侧肾上腺自主分泌皮质醇和左肾上腺自主分泌醛固酮:1例报告。
原发性醛固酮增多症(PA)是继发性高血压最常见的原因,并增加与心血管疾病相关的发病率和死亡率。当PA与自主皮质醇分泌(ACS)共存时,心血管风险显著增加,特别是双侧肾上腺腺瘤激素分泌不对称时,这给诊断和治疗带来了挑战。一名50岁女性,表现为高血压和低钾血症。PA的诊断基于醛固酮水平升高、血浆肾素活性抑制和各种动态内分泌测试结果。影像学显示双侧肾上腺腺瘤,肾上腺静脉取样(AVS)证实左肾上腺醛固酮分泌过多,双肾上腺皮质醇分泌过多。患者随后行左肾上腺切除术,解决了醛固酮高分泌,血压和钾水平正常化。然而,皮质醇高分泌持续存在。该病例强调了AVS在识别激素分泌来源和实现有针对性的手术治疗方面的重要性,同时避免了可能导致终身肾上腺功能不全的双侧肾上腺切除术。对PA患者进行全面的内分泌评估,包括ACS评估,有助于降低PA和ACS相关的心血管风险,从而改善治疗效果。
本文章由计算机程序翻译,如有差异,请以英文原文为准。
求助全文
约1分钟内获得全文 求助全文
来源期刊
CiteScore
0.80
自引率
0.00%
发文量
0
×
引用
GB/T 7714-2015
复制
MLA
复制
APA
复制
导出至
BibTeX EndNote RefMan NoteFirst NoteExpress
×
提示
您的信息不完整,为了账户安全,请先补充。
现在去补充
×
提示
您因"违规操作"
具体请查看互助需知
我知道了
×
提示
确定
请完成安全验证×
copy
已复制链接
快去分享给好友吧!
我知道了
右上角分享
点击右上角分享
0
联系我们:info@booksci.cn Book学术提供免费学术资源搜索服务,方便国内外学者检索中英文文献。致力于提供最便捷和优质的服务体验。 Copyright © 2023 布克学术 All rights reserved.
京ICP备2023020795号-1
ghs 京公网安备 11010802042870号
Book学术文献互助
Book学术文献互助群
群 号:604180095
Book学术官方微信