Gastrointestinal Tract Perineuriomas and Benign Fibroblastic Polyps: Case Report and Comprehensive Systematic Review.

IF 0.5 Q4 GASTROENTEROLOGY & HEPATOLOGY
Case Reports in Gastrointestinal Medicine Pub Date : 2025-03-09 eCollection Date: 2025-01-01 DOI:10.1155/crgm/1636142
Ahmad F Alenezi, Haitham Jahrami, Yonca Kanber, Talat Bessissow
{"title":"Gastrointestinal Tract Perineuriomas and Benign Fibroblastic Polyps: Case Report and Comprehensive Systematic Review.","authors":"Ahmad F Alenezi, Haitham Jahrami, Yonca Kanber, Talat Bessissow","doi":"10.1155/crgm/1636142","DOIUrl":null,"url":null,"abstract":"<p><p><b>Background:</b> Perineurioma is a rare benign peripheral nerve sheath tumor that can arise in various body locations. In the gastrointestinal (GI) tract, perineuriomas are uncommon and have only been reported in case reports and case series. In addition, a new classification suggests reclassifying benign fibroblastic polyps as perineurioma when they show positive markers of perineurial differentiation. <b>Objective:</b> This study aims to enhance understanding of GI tract perineuriomas by presenting a new case and conducting a systematic literature review. <b>Methods:</b> We described a new case of colonic perineurioma and systematically reviewed all case reports and case series on GI perineuriomas and benign fibroblastic polyps with perineurial markers. We searched ScienceDirect, PubMed/MEDLINE, and Web of Science up to May 2024. <b>Results:</b> A total of 148 cases were analyzed, and most of the cases were published in the last decade (2014-2024). The majority were females (59.46%), with a mean age of 51 years (standard deviation [SD] ±14.87). Most GI perineuriomas (87.5%) were in the distal colon, predominantly in the sigmoid/rectosigmoid (56%) and rectum (14%). Outside the colon, the stomach was the most affected site (7 of 10 cases), with fewer cases in the small intestine and esophagus. The two most commonly performed stains were for epithelial membrane antigen (EMA) and glucose transporter 1 (GLUT-1), at 75% and 56% of cases, respectively. Noncolonic perineuriomas were generally larger and more symptomatic than colonic ones. Submucosal polyps were more likely symptomatic than mucosal polyps. <b>Conclusion:</b> Perineurioma in the GI tract is a rare benign polyp mainly identified in the distal colon. Its rarity and limited follow-up data restrict our understanding of recurrence rates. We recommend reporting uncommon polyp locations, detailing polyp morphologies, and using at least two markers for classification.</p>","PeriodicalId":45645,"journal":{"name":"Case Reports in Gastrointestinal Medicine","volume":"2025 ","pages":"1636142"},"PeriodicalIF":0.5000,"publicationDate":"2025-03-09","publicationTypes":"Journal Article","fieldsOfStudy":null,"isOpenAccess":false,"openAccessPdf":"https://www.ncbi.nlm.nih.gov/pmc/articles/PMC11991822/pdf/","citationCount":"0","resultStr":null,"platform":"Semanticscholar","paperid":null,"PeriodicalName":"Case Reports in Gastrointestinal Medicine","FirstCategoryId":"1085","ListUrlMain":"https://doi.org/10.1155/crgm/1636142","RegionNum":0,"RegionCategory":null,"ArticlePicture":[],"TitleCN":null,"AbstractTextCN":null,"PMCID":null,"EPubDate":"2025/1/1 0:00:00","PubModel":"eCollection","JCR":"Q4","JCRName":"GASTROENTEROLOGY & HEPATOLOGY","Score":null,"Total":0}
引用次数: 0

Abstract

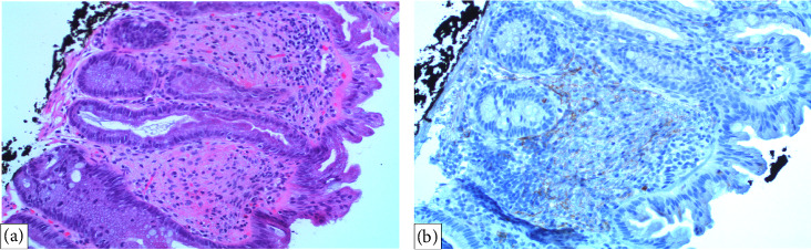
Background: Perineurioma is a rare benign peripheral nerve sheath tumor that can arise in various body locations. In the gastrointestinal (GI) tract, perineuriomas are uncommon and have only been reported in case reports and case series. In addition, a new classification suggests reclassifying benign fibroblastic polyps as perineurioma when they show positive markers of perineurial differentiation. Objective: This study aims to enhance understanding of GI tract perineuriomas by presenting a new case and conducting a systematic literature review. Methods: We described a new case of colonic perineurioma and systematically reviewed all case reports and case series on GI perineuriomas and benign fibroblastic polyps with perineurial markers. We searched ScienceDirect, PubMed/MEDLINE, and Web of Science up to May 2024. Results: A total of 148 cases were analyzed, and most of the cases were published in the last decade (2014-2024). The majority were females (59.46%), with a mean age of 51 years (standard deviation [SD] ±14.87). Most GI perineuriomas (87.5%) were in the distal colon, predominantly in the sigmoid/rectosigmoid (56%) and rectum (14%). Outside the colon, the stomach was the most affected site (7 of 10 cases), with fewer cases in the small intestine and esophagus. The two most commonly performed stains were for epithelial membrane antigen (EMA) and glucose transporter 1 (GLUT-1), at 75% and 56% of cases, respectively. Noncolonic perineuriomas were generally larger and more symptomatic than colonic ones. Submucosal polyps were more likely symptomatic than mucosal polyps. Conclusion: Perineurioma in the GI tract is a rare benign polyp mainly identified in the distal colon. Its rarity and limited follow-up data restrict our understanding of recurrence rates. We recommend reporting uncommon polyp locations, detailing polyp morphologies, and using at least two markers for classification.

Abstract Image

Abstract Image

Abstract Image

胃肠道神经鞘瘤和良性纤维母细胞息肉:1例报告及综合系统评价。
背景:周围神经瘤是一种罕见的良性周围神经鞘肿瘤,可发生在身体的各个部位。在胃肠道中,神经鞘瘤并不常见,仅在病例报告和病例系列中报道过。此外,一种新的分类建议,当良性纤维母细胞息肉表现出阳性的神经分化标记时,将其重新分类为神经周围瘤。目的:本研究报告一例新病例,并对相关文献进行系统复习,以提高对胃肠道神经鞘瘤的认识。方法:我们报告了一例新的结肠周围神经瘤病例,并系统地回顾了所有关于胃肠道周围神经瘤和有周围神经标记物的良性纤维母细胞息肉的病例报告和病例系列。我们检索了截至2024年5月的ScienceDirect、PubMed/MEDLINE和Web of Science。结果:共分析148例病例,大部分病例发表于近10年(2014-2024年)。以女性居多(59.46%),平均年龄51岁(标准差[SD]±14.87)。大多数胃肠道周围神经瘤(87.5%)发生在结肠远端,主要发生在乙状结肠/直肠乙状结肠(56%)和直肠(14%)。除结肠外,胃是最受影响的部位(10例中有7例),小肠和食管的病例较少。两种最常用的染色方法是上皮膜抗原(EMA)和葡萄糖转运蛋白1 (GLUT-1),分别占75%和56%。非结肠性周围神经瘤通常比结肠性更大,更有症状。粘膜下息肉比粘膜息肉更有可能出现症状。结论:胃肠道会阴尿瘤是一种少见的良性息肉,多发生于结肠远端。它的罕见性和有限的随访数据限制了我们对复发率的理解。我们建议报告不常见的息肉位置,详细描述息肉形态,并使用至少两种标记进行分类。
本文章由计算机程序翻译,如有差异,请以英文原文为准。
求助全文
约1分钟内获得全文 求助全文
来源期刊
Case Reports in Gastrointestinal Medicine
Case Reports in Gastrointestinal Medicine GASTROENTEROLOGY & HEPATOLOGY-
自引率
0.00%
发文量
33
审稿时长
14 weeks
×
引用
GB/T 7714-2015
复制
MLA
复制
APA
复制
导出至
BibTeX EndNote RefMan NoteFirst NoteExpress
×
提示
您的信息不完整,为了账户安全,请先补充。
现在去补充
×
提示
您因"违规操作"
具体请查看互助需知
我知道了
×
提示
确定
请完成安全验证×
copy
已复制链接
快去分享给好友吧!
我知道了
右上角分享
点击右上角分享
0
联系我们:info@booksci.cn Book学术提供免费学术资源搜索服务,方便国内外学者检索中英文文献。致力于提供最便捷和优质的服务体验。 Copyright © 2023 布克学术 All rights reserved.
京ICP备2023020795号-1
ghs 京公网安备 11010802042870号
Book学术文献互助
Book学术文献互助群
群 号:604180095
Book学术官方微信