ARID5A orchestrates cardiac aging and inflammation through MAVS mRNA stabilization

IF 10.8 Q1 CARDIAC & CARDIOVASCULAR SYSTEMS
Yanling Fan, Yandong Zheng, Yiyuan Zhang, Gang Xu, Chun Liu, Jianli Hu, Qianzhao Ji, Shuo Zhang, Shuaiqi Fang, Jinghui Lei, Lan-Zhu Li, Xing Wang, Xi Xu, Cui Wang, Si Wang, Shuai Ma, Moshi Song, Wenjian Jiang, Junming Zhu, Yijia Feng, Jiangang Wang, Ying Yang, Guodong Zhu, Xiao-Li Tian, Hongjia Zhang, Weihong Song, Jiayin Yang, Yan Yao, Guang-Hui Liu, Jing Qu, Weiqi Zhang
{"title":"ARID5A orchestrates cardiac aging and inflammation through MAVS mRNA stabilization","authors":"Yanling Fan, Yandong Zheng, Yiyuan Zhang, Gang Xu, Chun Liu, Jianli Hu, Qianzhao Ji, Shuo Zhang, Shuaiqi Fang, Jinghui Lei, Lan-Zhu Li, Xing Wang, Xi Xu, Cui Wang, Si Wang, Shuai Ma, Moshi Song, Wenjian Jiang, Junming Zhu, Yijia Feng, Jiangang Wang, Ying Yang, Guodong Zhu, Xiao-Li Tian, Hongjia Zhang, Weihong Song, Jiayin Yang, Yan Yao, Guang-Hui Liu, Jing Qu, Weiqi Zhang","doi":"10.1038/s44161-025-00635-z","DOIUrl":null,"url":null,"abstract":"Elucidating the regulatory mechanisms of human cardiac aging remains a great challenge. Here, using human heart tissues from 74 individuals ranging from young (≤35 years) to old (≥65 years), we provide an overview of the histological, cellular and molecular alterations underpinning the aging of human hearts. We decoded aging-related gene expression changes at single-cell resolution and identified increased inflammation as the key event, driven by upregulation of ARID5A, an RNA-binding protein. ARID5A epi-transcriptionally regulated Mitochondrial Antiviral Signaling Protein (MAVS) mRNA stability, leading to NF-κB and TBK1 activation, amplifying aging and inflammation phenotypes. The application of gene therapy using lentiviral vectors encoding shRNA targeting ARID5A into the myocardium not only mitigated the inflammatory and aging phenotypes but also bolstered cardiac function in aged mice. Altogether, our study provides a valuable resource and advances our understanding of cardiac aging mechanisms by deciphering the ARID5A-MAVS axis in post-transcriptional regulation. Through multimodal analyses of human cardiac tissues across different ages, Fan, Zheng, Zhan, Xu, Liu and colleagues reveal that RNA-binding protein ARID5A drives inflammaging by stabilizing the MAVS mRNA and activating the NF-κB–TBK1 pathway, and show that inactivating myocardial ARID5A attenuates cardiac senescence and functional decline.","PeriodicalId":74245,"journal":{"name":"Nature cardiovascular research","volume":"4 5","pages":"602-623"},"PeriodicalIF":10.8000,"publicationDate":"2025-04-29","publicationTypes":"Journal Article","fieldsOfStudy":null,"isOpenAccess":false,"openAccessPdf":"","citationCount":"0","resultStr":null,"platform":"Semanticscholar","paperid":null,"PeriodicalName":"Nature cardiovascular research","FirstCategoryId":"1085","ListUrlMain":"https://www.nature.com/articles/s44161-025-00635-z","RegionNum":0,"RegionCategory":null,"ArticlePicture":[],"TitleCN":null,"AbstractTextCN":null,"PMCID":null,"EPubDate":"","PubModel":"","JCR":"Q1","JCRName":"CARDIAC & CARDIOVASCULAR SYSTEMS","Score":null,"Total":0}
引用次数: 0

Abstract

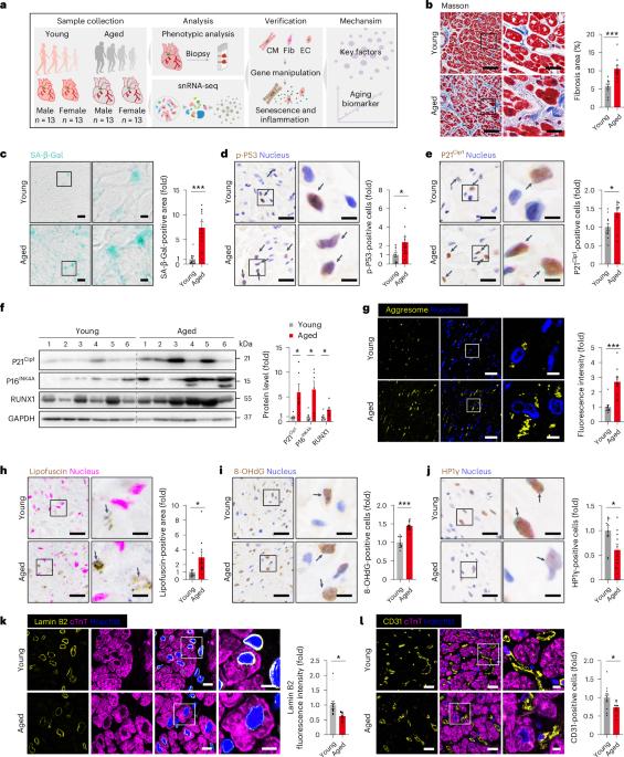
Elucidating the regulatory mechanisms of human cardiac aging remains a great challenge. Here, using human heart tissues from 74 individuals ranging from young (≤35 years) to old (≥65 years), we provide an overview of the histological, cellular and molecular alterations underpinning the aging of human hearts. We decoded aging-related gene expression changes at single-cell resolution and identified increased inflammation as the key event, driven by upregulation of ARID5A, an RNA-binding protein. ARID5A epi-transcriptionally regulated Mitochondrial Antiviral Signaling Protein (MAVS) mRNA stability, leading to NF-κB and TBK1 activation, amplifying aging and inflammation phenotypes. The application of gene therapy using lentiviral vectors encoding shRNA targeting ARID5A into the myocardium not only mitigated the inflammatory and aging phenotypes but also bolstered cardiac function in aged mice. Altogether, our study provides a valuable resource and advances our understanding of cardiac aging mechanisms by deciphering the ARID5A-MAVS axis in post-transcriptional regulation. Through multimodal analyses of human cardiac tissues across different ages, Fan, Zheng, Zhan, Xu, Liu and colleagues reveal that RNA-binding protein ARID5A drives inflammaging by stabilizing the MAVS mRNA and activating the NF-κB–TBK1 pathway, and show that inactivating myocardial ARID5A attenuates cardiac senescence and functional decline.

Abstract Image

ARID5A通过MAVS mRNA稳定调控心脏老化和炎症。
阐明人类心脏衰老的调控机制仍然是一个巨大的挑战。在这里,我们使用了74个年轻人(≤35岁)到老年人(≥65岁)的人类心脏组织,概述了人类心脏衰老的组织学、细胞和分子改变。我们在单细胞分辨率下解码了衰老相关的基因表达变化,并确定炎症增加是关键事件,由ARID5A(一种rna结合蛋白)的上调驱动。ARID5A通过外转录调控线粒体抗病毒信号蛋白(MAVS) mRNA的稳定性,导致NF-κB和TBK1活化,放大衰老和炎症表型。利用慢病毒载体编码shRNA靶向ARID5A进入心肌进行基因治疗,不仅可以减轻老年小鼠的炎症和衰老表型,还可以增强心功能。总之,我们的研究提供了宝贵的资源,并通过破译ARID5A-MAVS轴在转录后调控中推进了我们对心脏衰老机制的理解。
本文章由计算机程序翻译,如有差异,请以英文原文为准。
求助全文
约1分钟内获得全文 求助全文
来源期刊
CiteScore
5.70
自引率
0.00%
发文量
0
×
引用
GB/T 7714-2015
复制
MLA
复制
APA
复制
导出至
BibTeX EndNote RefMan NoteFirst NoteExpress
×
提示
您的信息不完整,为了账户安全,请先补充。
现在去补充
×
提示
您因"违规操作"
具体请查看互助需知
我知道了
×
提示
确定
请完成安全验证×
copy
已复制链接
快去分享给好友吧!
我知道了
右上角分享
点击右上角分享
0
联系我们:info@booksci.cn Book学术提供免费学术资源搜索服务,方便国内外学者检索中英文文献。致力于提供最便捷和优质的服务体验。 Copyright © 2023 布克学术 All rights reserved.
京ICP备2023020795号-1
ghs 京公网安备 11010802042870号
Book学术文献互助
Book学术文献互助群
群 号:604180095
Book学术官方微信