Acute immunoallergic hepatitis due to allopurinol use.

IF 2.1 Q4 GASTROENTEROLOGY & HEPATOLOGY
Hepatology Forum Pub Date : 2025-01-14 eCollection Date: 2025-01-01 DOI:10.14744/hf.2024.2024.0027
Carolyn Brooks, Lucie Calderon, Marina Mosunjac, Emad Qayed
{"title":"Acute immunoallergic hepatitis due to allopurinol use.","authors":"Carolyn Brooks, Lucie Calderon, Marina Mosunjac, Emad Qayed","doi":"10.14744/hf.2024.2024.0027","DOIUrl":null,"url":null,"abstract":"<p><p>Acute immunoallergic hepatitis presents as acute liver injury, often accompanied by nonspecific findings of fever, rash, and abdominal pain, and is often induced by drug ingestion. Allopurinol has been implicated in multiple cases of acute immunoallergic hepatitis. We present the case of a young East Asian male with gout who experienced acute immunoallergic hepatitis, complicated by DRESS syndrome with a severe cutaneous reaction, as a result of allopurinol intake. The patient was positive for the HLA-B58*01 gene, a significant risk factor for developing allopurinol-induced liver injury. The patient's liver injury and skin reaction improved with the administration of IV methylprednisolone, followed by a course of oral prednisone. Our case prompts clinicians to prescribe allopurinol with caution in certain high-risk populations and emphasizes the importance of administering corticosteroids early in such a presentation to avoid long-term liver damage.</p>","PeriodicalId":29722,"journal":{"name":"Hepatology Forum","volume":"6 2","pages":"65-68"},"PeriodicalIF":2.1000,"publicationDate":"2025-01-14","publicationTypes":"Journal Article","fieldsOfStudy":null,"isOpenAccess":false,"openAccessPdf":"https://www.ncbi.nlm.nih.gov/pmc/articles/PMC11999898/pdf/","citationCount":"0","resultStr":null,"platform":"Semanticscholar","paperid":null,"PeriodicalName":"Hepatology Forum","FirstCategoryId":"1085","ListUrlMain":"https://doi.org/10.14744/hf.2024.2024.0027","RegionNum":0,"RegionCategory":null,"ArticlePicture":[],"TitleCN":null,"AbstractTextCN":null,"PMCID":null,"EPubDate":"2025/1/1 0:00:00","PubModel":"eCollection","JCR":"Q4","JCRName":"GASTROENTEROLOGY & HEPATOLOGY","Score":null,"Total":0}
引用次数: 0

Abstract

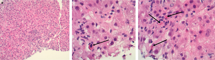
Acute immunoallergic hepatitis presents as acute liver injury, often accompanied by nonspecific findings of fever, rash, and abdominal pain, and is often induced by drug ingestion. Allopurinol has been implicated in multiple cases of acute immunoallergic hepatitis. We present the case of a young East Asian male with gout who experienced acute immunoallergic hepatitis, complicated by DRESS syndrome with a severe cutaneous reaction, as a result of allopurinol intake. The patient was positive for the HLA-B58*01 gene, a significant risk factor for developing allopurinol-induced liver injury. The patient's liver injury and skin reaction improved with the administration of IV methylprednisolone, followed by a course of oral prednisone. Our case prompts clinicians to prescribe allopurinol with caution in certain high-risk populations and emphasizes the importance of administering corticosteroids early in such a presentation to avoid long-term liver damage.

Abstract Image

Abstract Image

别嘌呤醇引起的急性免疫过敏性肝炎。
急性免疫过敏性肝炎表现为急性肝损伤,常伴有发热、皮疹和腹痛等非特异性表现,常由药物摄入引起。别嘌呤醇与多例急性免疫过敏性肝炎有关。我们提出一个年轻的东亚男性痛风谁经历了急性免疫过敏性肝炎,并发DRESS综合征与严重的皮肤反应,作为别嘌呤醇摄入的结果。患者HLA-B58*01基因阳性,这是发生别嘌呤醇性肝损伤的重要危险因素。患者的肝损伤和皮肤反应在静脉注射甲基强的松后得到改善,随后口服强的松一个疗程。我们的病例提示临床医生在某些高危人群中谨慎开别嘌呤醇,并强调在这种情况下早期使用皮质类固醇以避免长期肝损害的重要性。
本文章由计算机程序翻译,如有差异,请以英文原文为准。
求助全文
约1分钟内获得全文 求助全文
来源期刊
CiteScore
1.90
自引率
12.50%
发文量
0
×
引用
GB/T 7714-2015
复制
MLA
复制
APA
复制
导出至
BibTeX EndNote RefMan NoteFirst NoteExpress
×
提示
您的信息不完整,为了账户安全,请先补充。
现在去补充
×
提示
您因"违规操作"
具体请查看互助需知
我知道了
×
提示
确定
请完成安全验证×
copy
已复制链接
快去分享给好友吧!
我知道了
右上角分享
点击右上角分享
0
联系我们:info@booksci.cn Book学术提供免费学术资源搜索服务,方便国内外学者检索中英文文献。致力于提供最便捷和优质的服务体验。 Copyright © 2023 布克学术 All rights reserved.
京ICP备2023020795号-1
ghs 京公网安备 11010802042870号
Book学术文献互助
Book学术文献互助群
群 号:604180095
Book学术官方微信