A case of invasive pulmonary aspergillosis associated with clozapine-induced agranulocytosis.

IF 0.9
PCN reports : psychiatry and clinical neurosciences Pub Date : 2025-03-02 eCollection Date: 2025-03-01 DOI:10.1002/pcn5.70077
Akiyoshi Yokode, Masaki Fujiwara, Toshiki Terao, Shinji Sakamoto, Yuto Yamada, Ryota Sato, Momoko Mishima, Yuji Yada, Ken-Ichi Matsuoka, Manabu Takaki
{"title":"A case of invasive pulmonary aspergillosis associated with clozapine-induced agranulocytosis.","authors":"Akiyoshi Yokode, Masaki Fujiwara, Toshiki Terao, Shinji Sakamoto, Yuto Yamada, Ryota Sato, Momoko Mishima, Yuji Yada, Ken-Ichi Matsuoka, Manabu Takaki","doi":"10.1002/pcn5.70077","DOIUrl":null,"url":null,"abstract":"<p><strong>Background: </strong>Clozapine-induced agranulocytosis (CLIA) is a rare but serious complication. Fever associated with CLIA is typically treated with broad-spectrum antimicrobials, but empiric antifungal therapy is rarely used. While bacterial and viral infections have been reported in CLIA cases, no cases of fungal infections complicated by CLIA have been documented. We report the first case of CLIA complicated by invasive pulmonary aspergillosis (IPA) in a patient with schizophrenia. The diagnosis of IPA was made using serum β-D-glucan, <i>Aspergillus</i> galactomannan antigen tests, and chest computed tomography (CT).</p><p><strong>Case presentation: </strong>We present a case of a 51-year-old man with schizophrenia who developed CLIA complicated by IPA. The patient, diagnosed with treatment-resistant schizophrenia, was started on clozapine, but 9 months later he presented with fever, cough, leukopenia, and neutropenia. Clozapine was discontinued, and empirical treatments with cefepime and filgrastim were initiated. Serum β-D-glucan and <i>Aspergillus</i> galactomannan antigen tests were positive, and chest CT showed well-circumscribed nodules, leading to a probable diagnosis of IPA. Antifungal therapy was switched from micafungin to voriconazole according to guidelines. His neutropenia and fever improved, and he was re-transferred to a psychiatric hospital.</p><p><strong>Conclusion: </strong>CLIA can be complicated by fungal infections. When patients with CLIA present with fever, fungal infections, including IPA, should be considered in the differential diagnosis. Serological tests, including β-D-glucan and <i>Aspergillus</i> galactomannan, are useful for the diagnosis of IPA as well as the appropriate use of antifungal agents in patients with CLIA.</p>","PeriodicalId":74405,"journal":{"name":"PCN reports : psychiatry and clinical neurosciences","volume":"4 1","pages":"e70077"},"PeriodicalIF":0.9000,"publicationDate":"2025-03-02","publicationTypes":"Journal Article","fieldsOfStudy":null,"isOpenAccess":false,"openAccessPdf":"https://www.ncbi.nlm.nih.gov/pmc/articles/PMC12053896/pdf/","citationCount":"0","resultStr":null,"platform":"Semanticscholar","paperid":null,"PeriodicalName":"PCN reports : psychiatry and clinical neurosciences","FirstCategoryId":"1085","ListUrlMain":"https://doi.org/10.1002/pcn5.70077","RegionNum":0,"RegionCategory":null,"ArticlePicture":[],"TitleCN":null,"AbstractTextCN":null,"PMCID":null,"EPubDate":"2025/3/1 0:00:00","PubModel":"eCollection","JCR":"","JCRName":"","Score":null,"Total":0}
引用次数: 0

Abstract

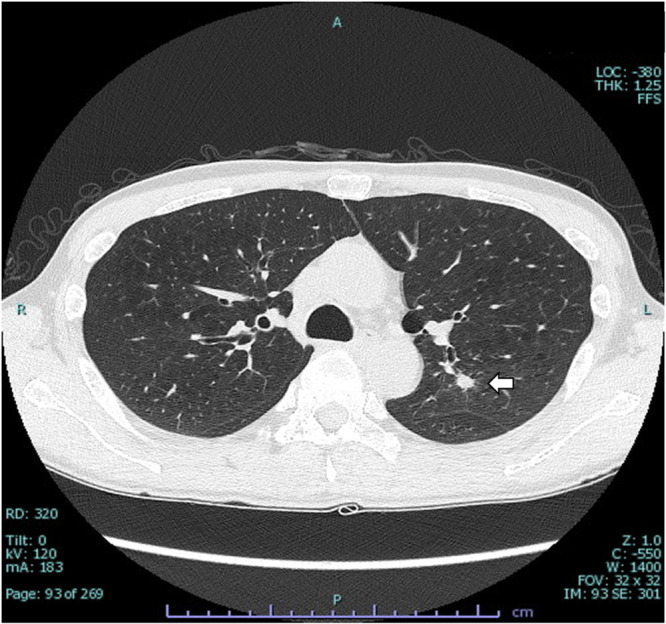
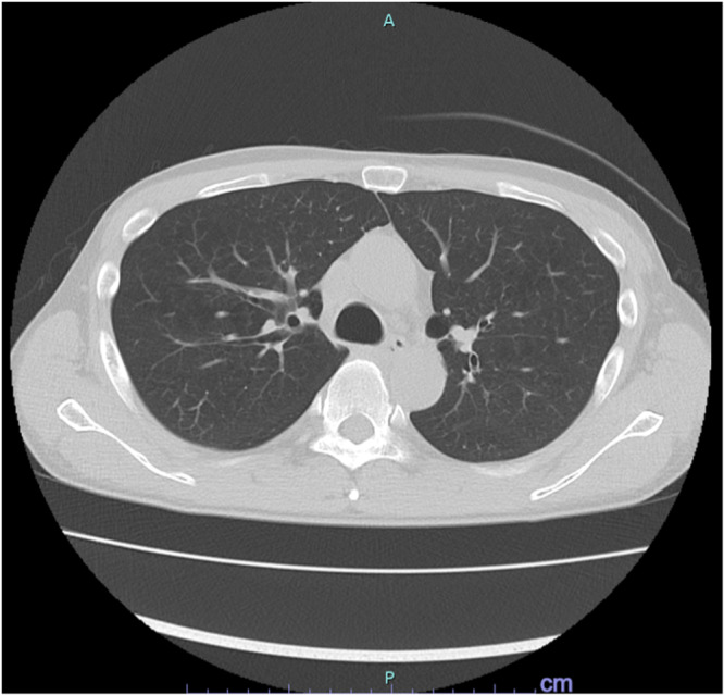
Background: Clozapine-induced agranulocytosis (CLIA) is a rare but serious complication. Fever associated with CLIA is typically treated with broad-spectrum antimicrobials, but empiric antifungal therapy is rarely used. While bacterial and viral infections have been reported in CLIA cases, no cases of fungal infections complicated by CLIA have been documented. We report the first case of CLIA complicated by invasive pulmonary aspergillosis (IPA) in a patient with schizophrenia. The diagnosis of IPA was made using serum β-D-glucan, Aspergillus galactomannan antigen tests, and chest computed tomography (CT).

Case presentation: We present a case of a 51-year-old man with schizophrenia who developed CLIA complicated by IPA. The patient, diagnosed with treatment-resistant schizophrenia, was started on clozapine, but 9 months later he presented with fever, cough, leukopenia, and neutropenia. Clozapine was discontinued, and empirical treatments with cefepime and filgrastim were initiated. Serum β-D-glucan and Aspergillus galactomannan antigen tests were positive, and chest CT showed well-circumscribed nodules, leading to a probable diagnosis of IPA. Antifungal therapy was switched from micafungin to voriconazole according to guidelines. His neutropenia and fever improved, and he was re-transferred to a psychiatric hospital.

Conclusion: CLIA can be complicated by fungal infections. When patients with CLIA present with fever, fungal infections, including IPA, should be considered in the differential diagnosis. Serological tests, including β-D-glucan and Aspergillus galactomannan, are useful for the diagnosis of IPA as well as the appropriate use of antifungal agents in patients with CLIA.

Abstract Image

Abstract Image

Abstract Image

侵袭性肺曲霉病合并氯氮平所致粒细胞缺乏症1例。
背景:氯氮平所致粒细胞缺乏症(CLIA)是一种罕见但严重的并发症。与CLIA相关的发热通常用广谱抗菌剂治疗,但很少使用经验性抗真菌治疗。虽然在CLIA病例中有细菌和病毒感染的报道,但没有记录真菌感染并发CLIA的病例。我们报告了首例CLIA合并侵袭性肺曲霉病(IPA)的精神分裂症患者。采用血清β- d -葡聚糖、半乳甘露聚糖曲霉抗原检测及胸部CT诊断IPA。病例介绍:我们报告了一例51岁的精神分裂症患者,他发展为CLIA并IPA。该患者被诊断为难治性精神分裂症,开始服用氯氮平,但9个月后出现发烧、咳嗽、白细胞减少和中性粒细胞减少。停用氯氮平,开始使用头孢吡肟和非格拉西汀进行经经验治疗。血清β- d -葡聚糖和半乳甘露聚糖曲霉抗原检测阳性,胸部CT显示界限清晰的结节,可能诊断为IPA。根据指南将抗真菌治疗从米卡芬金转为伏立康唑。他的中性粒细胞减少症和发烧有所改善,他被重新转移到精神病院。结论:CLIA可并发真菌感染。当CLIA患者出现发热时,应考虑真菌感染,包括IPA,作为鉴别诊断。血清学测试,包括β- d -葡聚糖和半乳甘露聚糖曲霉,对IPA的诊断以及对CLIA患者适当使用抗真菌药物是有用的。
本文章由计算机程序翻译,如有差异,请以英文原文为准。
求助全文
约1分钟内获得全文 求助全文
来源期刊
CiteScore
0.70
自引率
0.00%
发文量
0
×
引用
GB/T 7714-2015
复制
MLA
复制
APA
复制
导出至
BibTeX EndNote RefMan NoteFirst NoteExpress
×
提示
您的信息不完整,为了账户安全,请先补充。
现在去补充
×
提示
您因"违规操作"
具体请查看互助需知
我知道了
×
提示
确定
请完成安全验证×
copy
已复制链接
快去分享给好友吧!
我知道了
右上角分享
点击右上角分享
0
联系我们:info@booksci.cn Book学术提供免费学术资源搜索服务,方便国内外学者检索中英文文献。致力于提供最便捷和优质的服务体验。 Copyright © 2023 布克学术 All rights reserved.
京ICP备2023020795号-1
ghs 京公网安备 11010802042870号
Book学术文献互助
Book学术文献互助群
群 号:604180095
Book学术官方微信