Sacral Metastasis in Follicular Thyroid Carcinoma: Cytology Pitfalls and Serum Thyroglobulin Utility.

IF 0.8 Q3 MEDICINE, GENERAL & INTERNAL
Kinh Kha Nguyen, Dinh Kinh Hoang, Quoc Trung Lam, Thanh Phong Lenh
{"title":"Sacral Metastasis in Follicular Thyroid Carcinoma: Cytology Pitfalls and Serum Thyroglobulin Utility.","authors":"Kinh Kha Nguyen, Dinh Kinh Hoang, Quoc Trung Lam, Thanh Phong Lenh","doi":"10.1177/23247096251336659","DOIUrl":null,"url":null,"abstract":"<p><p>Sacral bone metastasis from primary follicular thyroid carcinoma (FTC) is rare. Most reported cases include factors indicative of thyroid origin, such as a history of treated thyroid cancer or newly identified thyroid nodules with malignant cytology. We herein report a 57-year-old woman with a metastatic sacral lesion of thyroid origin, initially misdiagnosed due to a false-negative fine-needle aspiration (FNA) cytology result of a thyroid nodule. The diagnosis was suspected based on an abnormally elevated serum thyroglobulin (sTg) level and confirmed through repeat core biopsy with thyroid-specific immunohistochemistry. This case highlights the limitations of FNA cytology in large thyroid nodules and underscores the potential role of sTg in diagnosing metastatic FTC in certain clinical scenarios. Thyroid carcinoma should be considered in the differential diagnosis of sacral metastases when the primary tumor is unknown.</p>","PeriodicalId":16198,"journal":{"name":"Journal of investigative medicine high impact case reports","volume":"13 ","pages":"23247096251336659"},"PeriodicalIF":0.8000,"publicationDate":"2025-01-01","publicationTypes":"Journal Article","fieldsOfStudy":null,"isOpenAccess":false,"openAccessPdf":"https://www.ncbi.nlm.nih.gov/pmc/articles/PMC12035245/pdf/","citationCount":"0","resultStr":null,"platform":"Semanticscholar","paperid":null,"PeriodicalName":"Journal of investigative medicine high impact case reports","FirstCategoryId":"1085","ListUrlMain":"https://doi.org/10.1177/23247096251336659","RegionNum":0,"RegionCategory":null,"ArticlePicture":[],"TitleCN":null,"AbstractTextCN":null,"PMCID":null,"EPubDate":"2025/4/25 0:00:00","PubModel":"Epub","JCR":"Q3","JCRName":"MEDICINE, GENERAL & INTERNAL","Score":null,"Total":0}
引用次数: 0

Abstract

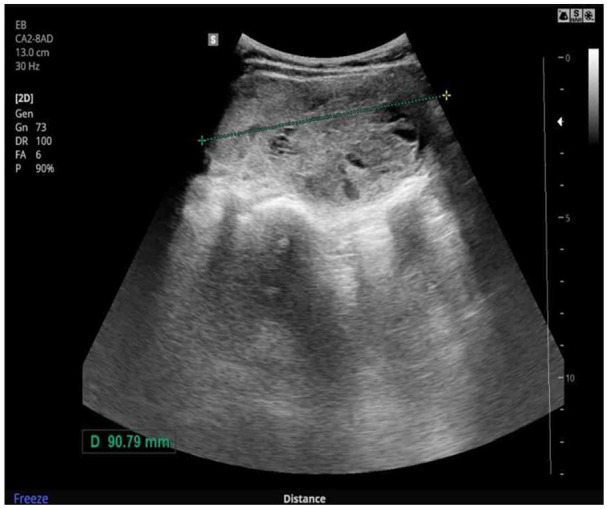
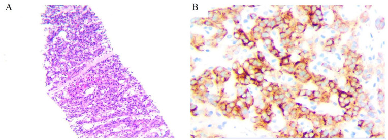
Sacral bone metastasis from primary follicular thyroid carcinoma (FTC) is rare. Most reported cases include factors indicative of thyroid origin, such as a history of treated thyroid cancer or newly identified thyroid nodules with malignant cytology. We herein report a 57-year-old woman with a metastatic sacral lesion of thyroid origin, initially misdiagnosed due to a false-negative fine-needle aspiration (FNA) cytology result of a thyroid nodule. The diagnosis was suspected based on an abnormally elevated serum thyroglobulin (sTg) level and confirmed through repeat core biopsy with thyroid-specific immunohistochemistry. This case highlights the limitations of FNA cytology in large thyroid nodules and underscores the potential role of sTg in diagnosing metastatic FTC in certain clinical scenarios. Thyroid carcinoma should be considered in the differential diagnosis of sacral metastases when the primary tumor is unknown.

Abstract Image

Abstract Image

Abstract Image

滤泡性甲状腺癌的骶骨转移:细胞学缺陷和血清甲状腺球蛋白效用。
摘要原发性滤泡性甲状腺癌骶骨转移是罕见的。大多数报告的病例包括指示甲状腺起源的因素,如甲状腺癌治疗史或新发现的甲状腺结节伴恶性细胞学。我们在此报告一位57岁的女性,由于甲状腺结节的细针穿刺细胞学结果假阴性,最初被误诊为甲状腺转移性骶骨病变。诊断疑似基于异常升高的血清甲状腺球蛋白(sTg)水平,并通过甲状腺特异性免疫组织化学重复核心活检证实。本病例强调了FNA细胞学在大甲状腺结节中的局限性,并强调了sTg在某些临床情况下诊断转移性FTC的潜在作用。当原发肿瘤不明时,应考虑甲状腺癌作为骶骨转移的鉴别诊断。
本文章由计算机程序翻译,如有差异,请以英文原文为准。
求助全文
约1分钟内获得全文 求助全文
来源期刊
CiteScore
1.90
自引率
0.00%
发文量
165
审稿时长
12 weeks
期刊介绍: The AFMR is committed to enhancing the training and career development of our members and to furthering its mission to facilitate the conduct of research to improve medical care. Case reports represent an important avenue for trainees (interns, residents, and fellows) and early-stage faculty to demonstrate productive, scholarly activity.
×
引用
GB/T 7714-2015
复制
MLA
复制
APA
复制
导出至
BibTeX EndNote RefMan NoteFirst NoteExpress
×
提示
您的信息不完整,为了账户安全,请先补充。
现在去补充
×
提示
您因"违规操作"
具体请查看互助需知
我知道了
×
提示
确定
请完成安全验证×
copy
已复制链接
快去分享给好友吧!
我知道了
右上角分享
点击右上角分享
0
联系我们:info@booksci.cn Book学术提供免费学术资源搜索服务,方便国内外学者检索中英文文献。致力于提供最便捷和优质的服务体验。 Copyright © 2023 布克学术 All rights reserved.
京ICP备2023020795号-1
ghs 京公网安备 11010802042870号
Book学术文献互助
Book学术文献互助群
群 号:604180095
Book学术官方微信