Unmasking Cystic Fibrosis in Adulthood, a Case Report.

IF 0.8 Q3 MEDICINE, GENERAL & INTERNAL
Malina Mohtadi, Ruba Habib, Abraam Rezkalla, George Horani, Radhika Tailor, Patrick Michael
{"title":"Unmasking Cystic Fibrosis in Adulthood, a Case Report.","authors":"Malina Mohtadi, Ruba Habib, Abraam Rezkalla, George Horani, Radhika Tailor, Patrick Michael","doi":"10.1177/23247096251334248","DOIUrl":null,"url":null,"abstract":"<p><p>Cystic fibrosis (CF) is a genetic disorder typically diagnosed in early childhood, caused by mutations in the cystic fibrosis transmembrane conductance regulator gene, leading to thick mucus accumulation in the lungs, pancreas, and other organs. While most diagnoses occur in childhood, a growing number of cases are being identified in adulthood, presenting unique challenges for recognition and management. This case highlights a 37-year-old patient diagnosed with CF after presenting with chronic respiratory symptoms, and weight loss. Late diagnosis of CF remains rare but can delay appropriate treatment, potentially impacting long-term outcomes.</p>","PeriodicalId":16198,"journal":{"name":"Journal of investigative medicine high impact case reports","volume":"13 ","pages":"23247096251334248"},"PeriodicalIF":0.8000,"publicationDate":"2025-01-01","publicationTypes":"Journal Article","fieldsOfStudy":null,"isOpenAccess":false,"openAccessPdf":"https://www.ncbi.nlm.nih.gov/pmc/articles/PMC12033639/pdf/","citationCount":"0","resultStr":null,"platform":"Semanticscholar","paperid":null,"PeriodicalName":"Journal of investigative medicine high impact case reports","FirstCategoryId":"1085","ListUrlMain":"https://doi.org/10.1177/23247096251334248","RegionNum":0,"RegionCategory":null,"ArticlePicture":[],"TitleCN":null,"AbstractTextCN":null,"PMCID":null,"EPubDate":"2025/4/11 0:00:00","PubModel":"Epub","JCR":"Q3","JCRName":"MEDICINE, GENERAL & INTERNAL","Score":null,"Total":0}
引用次数: 0

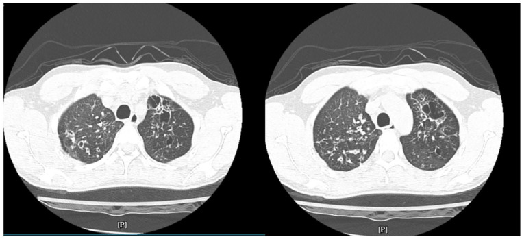
Abstract

Cystic fibrosis (CF) is a genetic disorder typically diagnosed in early childhood, caused by mutations in the cystic fibrosis transmembrane conductance regulator gene, leading to thick mucus accumulation in the lungs, pancreas, and other organs. While most diagnoses occur in childhood, a growing number of cases are being identified in adulthood, presenting unique challenges for recognition and management. This case highlights a 37-year-old patient diagnosed with CF after presenting with chronic respiratory symptoms, and weight loss. Late diagnosis of CF remains rare but can delay appropriate treatment, potentially impacting long-term outcomes.

Abstract Image

Abstract Image

Abstract Image

揭露成年期囊性纤维化,一例报告。
囊性纤维化(CF)是一种常见于儿童早期的遗传性疾病,由囊性纤维化跨膜传导调节基因突变引起,导致肺、胰腺和其他器官粘液积聚。虽然大多数诊断发生在儿童时期,但越来越多的病例在成年期被发现,这对识别和管理提出了独特的挑战。本病例突出了一位37岁的患者,在出现慢性呼吸道症状和体重减轻后被诊断为CF。CF的晚期诊断仍然很少见,但可能会延误适当的治疗,潜在地影响长期结果。
本文章由计算机程序翻译,如有差异,请以英文原文为准。
求助全文
约1分钟内获得全文 求助全文
来源期刊
CiteScore
1.90
自引率
0.00%
发文量
165
审稿时长
12 weeks
期刊介绍: The AFMR is committed to enhancing the training and career development of our members and to furthering its mission to facilitate the conduct of research to improve medical care. Case reports represent an important avenue for trainees (interns, residents, and fellows) and early-stage faculty to demonstrate productive, scholarly activity.
×
引用
GB/T 7714-2015
复制
MLA
复制
APA
复制
导出至
BibTeX EndNote RefMan NoteFirst NoteExpress
×
提示
您的信息不完整,为了账户安全,请先补充。
现在去补充
×
提示
您因"违规操作"
具体请查看互助需知
我知道了
×
提示
确定
请完成安全验证×
copy
已复制链接
快去分享给好友吧!
我知道了
右上角分享
点击右上角分享
0
联系我们:info@booksci.cn Book学术提供免费学术资源搜索服务,方便国内外学者检索中英文文献。致力于提供最便捷和优质的服务体验。 Copyright © 2023 布克学术 All rights reserved.
京ICP备2023020795号-1
ghs 京公网安备 11010802042870号
Book学术文献互助
Book学术文献互助群
群 号:604180095
Book学术官方微信