Cognitive Magnetic Resonance Imaging-Transperineal Ultrasound Fusion Prostate Biopsy with Use of a Urinary Catheter After Abdominoperineal Resection: A Novel Technique and Literature Review.

IF 2.7 Q2 UROLOGY & NEPHROLOGY
Research and Reports in Urology Pub Date : 2025-04-23 eCollection Date: 2025-01-01 DOI:10.2147/RRU.S523114
Harutake Sawazaki, Yosuke Kitamura, Atsushi Asano, Sadayoshi Suzuki
{"title":"Cognitive Magnetic Resonance Imaging-Transperineal Ultrasound Fusion Prostate Biopsy with Use of a Urinary Catheter After Abdominoperineal Resection: A Novel Technique and Literature Review.","authors":"Harutake Sawazaki, Yosuke Kitamura, Atsushi Asano, Sadayoshi Suzuki","doi":"10.2147/RRU.S523114","DOIUrl":null,"url":null,"abstract":"<p><p>A standard prostate biopsy can be performed via a transrectal or transperineal approach using a transrectal ultrasound probe, but not in patients without a rectum. These patients pose a diagnostic challenge to urologists in terms of prostate cancer detection. We report use of a novel technique for cognitive magnetic resonance imaging (MRI)-transperineal ultrasound fusion prostate biopsy with a urinary catheter in two patients without a rectum after abdominoperineal resection. In both cases, a urinary catheter was inserted and clamped after injection of 250 mL of sterile saline into the bladder to improve visualization of the prostate. The inflated catheter balloon was placed to the level of the bladder neck to identify the base of the prostate. Cognitive MRI-transperineal ultrasound fusion biopsy was performed on the MRI-defined lesions after confirmation of anatomic landmarks, including the urethra and base of the prostate. Systemic 8-core biopsies were also obtained. In both patients, the targeted lesion was diagnosed as prostate cancer.</p>","PeriodicalId":21008,"journal":{"name":"Research and Reports in Urology","volume":"17 ","pages":"119-127"},"PeriodicalIF":2.7000,"publicationDate":"2025-04-23","publicationTypes":"Journal Article","fieldsOfStudy":null,"isOpenAccess":false,"openAccessPdf":"https://www.ncbi.nlm.nih.gov/pmc/articles/PMC12034258/pdf/","citationCount":"0","resultStr":null,"platform":"Semanticscholar","paperid":null,"PeriodicalName":"Research and Reports in Urology","FirstCategoryId":"1085","ListUrlMain":"https://doi.org/10.2147/RRU.S523114","RegionNum":0,"RegionCategory":null,"ArticlePicture":[],"TitleCN":null,"AbstractTextCN":null,"PMCID":null,"EPubDate":"2025/1/1 0:00:00","PubModel":"eCollection","JCR":"Q2","JCRName":"UROLOGY & NEPHROLOGY","Score":null,"Total":0}
引用次数: 0

Abstract

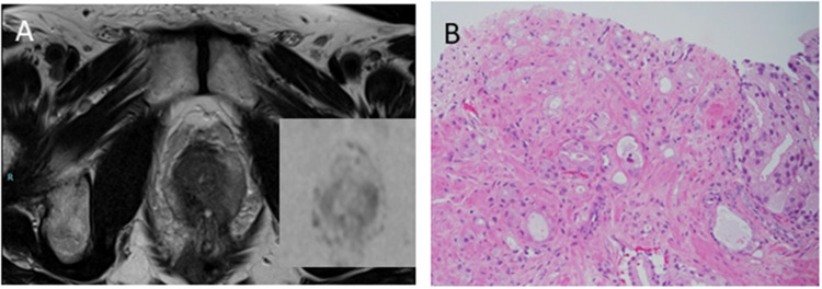
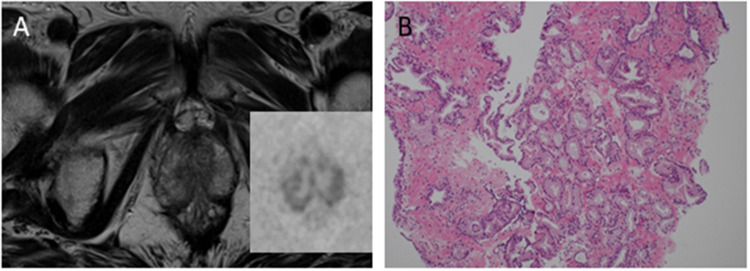
A standard prostate biopsy can be performed via a transrectal or transperineal approach using a transrectal ultrasound probe, but not in patients without a rectum. These patients pose a diagnostic challenge to urologists in terms of prostate cancer detection. We report use of a novel technique for cognitive magnetic resonance imaging (MRI)-transperineal ultrasound fusion prostate biopsy with a urinary catheter in two patients without a rectum after abdominoperineal resection. In both cases, a urinary catheter was inserted and clamped after injection of 250 mL of sterile saline into the bladder to improve visualization of the prostate. The inflated catheter balloon was placed to the level of the bladder neck to identify the base of the prostate. Cognitive MRI-transperineal ultrasound fusion biopsy was performed on the MRI-defined lesions after confirmation of anatomic landmarks, including the urethra and base of the prostate. Systemic 8-core biopsies were also obtained. In both patients, the targeted lesion was diagnosed as prostate cancer.

Abstract Image

Abstract Image

Abstract Image

认知磁共振成像-经会阴超声融合前列腺活检在腹部会阴切除术后使用导尿管:一种新技术和文献综述。
标准的前列腺活检可以通过经直肠或经会阴入路使用经直肠超声探头进行,但不适用于没有直肠的患者。这些患者在前列腺癌检测方面对泌尿科医生提出了诊断挑战。我们报告使用一种新的技术认知磁共振成像(MRI)-经会阴超声融合前列腺活检与导尿管在两个病人没有直肠后腹部会阴切除术。两例患者均在膀胱内注入250 mL无菌生理盐水后插入并夹住导尿管,以改善前列腺的显像。充气的导管球囊被放置在膀胱颈的水平,以确定前列腺的底部。在确认解剖标志(包括尿道和前列腺底部)后,对mri定义的病变进行认知mri -会阴超声融合活检。还进行了全身8核活检。在这两例患者中,目标病变被诊断为前列腺癌。
本文章由计算机程序翻译,如有差异,请以英文原文为准。
求助全文
约1分钟内获得全文 求助全文
来源期刊
Research and Reports in Urology
Research and Reports in Urology UROLOGY & NEPHROLOGY-
CiteScore
3.40
自引率
0.00%
发文量
60
审稿时长
16 weeks
期刊介绍: Research and Reports in Urology is an international, peer-reviewed, open access, online journal. Publishing original research, reports, editorials, reviews and commentaries on all aspects of adult and pediatric urology in the clinic and laboratory including the following topics: Pathology, pathophysiology of urological disease Investigation and treatment of urological disease Pharmacology of drugs used for the treatment of urological disease Although the main focus of the journal is to publish research and clinical results in humans; preclinical, animal and in vitro studies will be published where they will shed light on disease processes and potential new therapies. Issues of patient safety and quality of care will also be considered.
×
引用
GB/T 7714-2015
复制
MLA
复制
APA
复制
导出至
BibTeX EndNote RefMan NoteFirst NoteExpress
×
提示
您的信息不完整,为了账户安全,请先补充。
现在去补充
×
提示
您因"违规操作"
具体请查看互助需知
我知道了
×
提示
确定
请完成安全验证×
copy
已复制链接
快去分享给好友吧!
我知道了
右上角分享
点击右上角分享
0
联系我们:info@booksci.cn Book学术提供免费学术资源搜索服务,方便国内外学者检索中英文文献。致力于提供最便捷和优质的服务体验。 Copyright © 2023 布克学术 All rights reserved.
京ICP备2023020795号-1
ghs 京公网安备 11010802042870号
Book学术文献互助
Book学术文献互助群
群 号:604180095
Book学术官方微信