Psoas muscle abscess as initial manifestation of disseminated tuberculosis in a previously healthy man: a case report.

IF 1.7 4区 医学 Q4 INFECTIOUS DISEASES
Pedro Henrique Moreira Barbosa, Ezequias Batista Martins, Billy McBenedict, Remberto Maurício de La Cruz Vargas Vilte, Karla Regina Oliveira de Moura Ronchini, Natalia Chilinque Zambão da Silva, Patrícia Yvonne Maciel Pinheiro, Thais de Oliveira Vieira, Bianca Balzano de la Fuente Villar
{"title":"Psoas muscle abscess as initial manifestation of disseminated tuberculosis in a previously healthy man: a case report.","authors":"Pedro Henrique Moreira Barbosa, Ezequias Batista Martins, Billy McBenedict, Remberto Maurício de La Cruz Vargas Vilte, Karla Regina Oliveira de Moura Ronchini, Natalia Chilinque Zambão da Silva, Patrícia Yvonne Maciel Pinheiro, Thais de Oliveira Vieira, Bianca Balzano de la Fuente Villar","doi":"10.1590/S1678-9946202567025","DOIUrl":null,"url":null,"abstract":"<p><p>Psoas muscle abscess is an insidious disease, with varied clinical manifestations and a challenging diagnosis. This pathology has been more frequently identified due to the increased availability of high-quality radiological imaging, such as computed tomography. In Brazil, Mycobacterium tuberculosis is the most common secondary etiologic agent of psoas abscess. We report the case of a 28-year-old immunocompetent man diagnosed with disseminated tuberculosis, affecting the lungs, lumbar spine, and psoas muscle, leading to permanent locomotion sequelae. This case is very relevant for osteoarticular complaints, as low back pain and limping were the initial symptoms. Diagnosis was confirmed by ultrasound-guided percutaneous drainage of the psoas muscle abscess and detection of the M. tuberculosis complex via Xpert MTB/RIF. A 12-month treatment with antitubercular drugs was effective.</p>","PeriodicalId":54466,"journal":{"name":"Revista Do Instituto De Medicina Tropical De Sao Paulo","volume":"67 ","pages":"e25"},"PeriodicalIF":1.7000,"publicationDate":"2025-04-14","publicationTypes":"Journal Article","fieldsOfStudy":null,"isOpenAccess":false,"openAccessPdf":"https://www.ncbi.nlm.nih.gov/pmc/articles/PMC11996036/pdf/","citationCount":"0","resultStr":null,"platform":"Semanticscholar","paperid":null,"PeriodicalName":"Revista Do Instituto De Medicina Tropical De Sao Paulo","FirstCategoryId":"3","ListUrlMain":"https://doi.org/10.1590/S1678-9946202567025","RegionNum":4,"RegionCategory":"医学","ArticlePicture":[],"TitleCN":null,"AbstractTextCN":null,"PMCID":null,"EPubDate":"2025/1/1 0:00:00","PubModel":"eCollection","JCR":"Q4","JCRName":"INFECTIOUS DISEASES","Score":null,"Total":0}
引用次数: 0

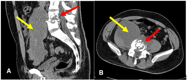
Abstract

Psoas muscle abscess is an insidious disease, with varied clinical manifestations and a challenging diagnosis. This pathology has been more frequently identified due to the increased availability of high-quality radiological imaging, such as computed tomography. In Brazil, Mycobacterium tuberculosis is the most common secondary etiologic agent of psoas abscess. We report the case of a 28-year-old immunocompetent man diagnosed with disseminated tuberculosis, affecting the lungs, lumbar spine, and psoas muscle, leading to permanent locomotion sequelae. This case is very relevant for osteoarticular complaints, as low back pain and limping were the initial symptoms. Diagnosis was confirmed by ultrasound-guided percutaneous drainage of the psoas muscle abscess and detection of the M. tuberculosis complex via Xpert MTB/RIF. A 12-month treatment with antitubercular drugs was effective.

Abstract Image

Abstract Image

腰肌脓肿作为播散性肺结核的最初表现在一个健康的男人:一个病例报告。
腰肌脓肿是一种隐匿性疾病,临床表现多样,诊断困难。由于高质量放射成像(如计算机断层扫描)的可用性增加,这种病理已被更频繁地识别。在巴西,结核分枝杆菌是腰肌脓肿最常见的继发病因。我们报告一例28岁的免疫功能正常的男性诊断为播散性肺结核,影响肺,腰椎和腰肌,导致永久性运动后遗症。这个病例与骨关节疾病非常相关,因为腰痛和跛行是最初的症状。超声引导下经皮腰大肌脓肿引流术和Xpert MTB/RIF检测结核分枝杆菌复合体确诊。12个月的抗结核药物治疗有效。
本文章由计算机程序翻译,如有差异,请以英文原文为准。
求助全文
约1分钟内获得全文 求助全文
来源期刊
CiteScore
3.60
自引率
5.30%
发文量
100
审稿时长
6-12 weeks
期刊介绍: The Revista do Instituto de Medicina Tropical de São Paulo (Journal of the São Paulo Institute of Tropical Medicine) is a journal devoted to research on different aspects of tropical infectious diseases. The journal welcomes original work on all infectious diseases, provided that data and results are directly linked to human health. The journal publishes, besides original articles, review articles, case reports, brief communications, and letters to the editor. The journal publishes manuscripts only in English. From 2016 on, the Revista do Instituto de Medicina Tropical de São Paulo (Journal of the São Paulo Institute of Tropical Medicine) is published online only, maintaining the free access. For more information visit: - http://www.scielo.br/rimtsp - http://www.imt.usp.br/revista-imt/
×
引用
GB/T 7714-2015
复制
MLA
复制
APA
复制
导出至
BibTeX EndNote RefMan NoteFirst NoteExpress
×
提示
您的信息不完整,为了账户安全,请先补充。
现在去补充
×
提示
您因"违规操作"
具体请查看互助需知
我知道了
×
提示
确定
请完成安全验证×
copy
已复制链接
快去分享给好友吧!
我知道了
右上角分享
点击右上角分享
0
联系我们:info@booksci.cn Book学术提供免费学术资源搜索服务,方便国内外学者检索中英文文献。致力于提供最便捷和优质的服务体验。 Copyright © 2023 布克学术 All rights reserved.
京ICP备2023020795号-1
ghs 京公网安备 11010802042870号
Book学术文献互助
Book学术文献互助群
群 号:604180095
Book学术官方微信