Severe Mitral Stenosis and Regurgitation Due to Bioprosthetic Valve Failure with Massive Pannus.

IF 0.7 Q4 SURGERY
Surgical Case Reports Pub Date : 2025-01-01 Epub Date: 2025-04-16 DOI:10.70352/scrj.cr.24-0095
Ryota Hara, Sho Torii, Joji Ito, Yohei Ohno, Minoru Tabata
{"title":"Severe Mitral Stenosis and Regurgitation Due to Bioprosthetic Valve Failure with Massive Pannus.","authors":"Ryota Hara, Sho Torii, Joji Ito, Yohei Ohno, Minoru Tabata","doi":"10.70352/scrj.cr.24-0095","DOIUrl":null,"url":null,"abstract":"<p><strong>Introduction: </strong>Bioprosthetic valve failure after mitral valve replacement is a well-recognized phenomenon, with pannus overgrowth being one notable cause. The standard treatments include redo surgical mitral valve replacement and the less invasive transcatheter treatment, mitral valve-in-valve. However, the feasibility and safety of performing mitral valve-in-valve when pannus overgrowth has reduced the valvular opening to a mere pinhole remains uncertain.</p><p><strong>Case presentation: </strong>A 76-year-old woman, who had previously undergone mitral valve replacement, was admitted for congestive heart failure. Severe mitral stenosis and severe mitral regurgitation were diagnosed using transthoracic echocardiography. During redo mitral valve replacement, we observed that the prosthetic valve leaflets on the left atrial side were almost entirely covered with pannus tissue, leaving only a central pinhole for blood flow. Macroscopic and microscopic examination of the bioprosthesis revealed accordion-like leaflet deformation on the ventricular side.</p><p><strong>Conclusions: </strong>Although the transcatheter valve-in-valve procedure is recognized as a less invasive treatment option for degenerated biological valves, in certain cases such as ours, open surgery becomes imperative as the most appropriate treatment.</p>","PeriodicalId":22096,"journal":{"name":"Surgical Case Reports","volume":"11 1","pages":""},"PeriodicalIF":0.7000,"publicationDate":"2025-01-01","publicationTypes":"Journal Article","fieldsOfStudy":null,"isOpenAccess":false,"openAccessPdf":"https://www.ncbi.nlm.nih.gov/pmc/articles/PMC12014392/pdf/","citationCount":"0","resultStr":null,"platform":"Semanticscholar","paperid":null,"PeriodicalName":"Surgical Case Reports","FirstCategoryId":"1085","ListUrlMain":"https://doi.org/10.70352/scrj.cr.24-0095","RegionNum":0,"RegionCategory":null,"ArticlePicture":[],"TitleCN":null,"AbstractTextCN":null,"PMCID":null,"EPubDate":"2025/4/16 0:00:00","PubModel":"Epub","JCR":"Q4","JCRName":"SURGERY","Score":null,"Total":0}
引用次数: 0

Abstract

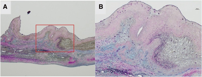
Introduction: Bioprosthetic valve failure after mitral valve replacement is a well-recognized phenomenon, with pannus overgrowth being one notable cause. The standard treatments include redo surgical mitral valve replacement and the less invasive transcatheter treatment, mitral valve-in-valve. However, the feasibility and safety of performing mitral valve-in-valve when pannus overgrowth has reduced the valvular opening to a mere pinhole remains uncertain.

Case presentation: A 76-year-old woman, who had previously undergone mitral valve replacement, was admitted for congestive heart failure. Severe mitral stenosis and severe mitral regurgitation were diagnosed using transthoracic echocardiography. During redo mitral valve replacement, we observed that the prosthetic valve leaflets on the left atrial side were almost entirely covered with pannus tissue, leaving only a central pinhole for blood flow. Macroscopic and microscopic examination of the bioprosthesis revealed accordion-like leaflet deformation on the ventricular side.

Conclusions: Although the transcatheter valve-in-valve procedure is recognized as a less invasive treatment option for degenerated biological valves, in certain cases such as ours, open surgery becomes imperative as the most appropriate treatment.

Abstract Image

Abstract Image

Abstract Image

严重二尖瓣狭窄和返流的原因是生物瓣膜失效和巨大的静脉窦。
导言:二尖瓣置换术后生物假体瓣膜衰竭是一个公认的现象,其中一个显著的原因是输卵管过度生长。标准的治疗方法包括重做手术二尖瓣置换术和微创经导管治疗,二尖瓣内置换术。然而,当二尖瓣过度生长使瓣口缩小到针孔时,进行二尖瓣内瓣手术的可行性和安全性仍不确定。病例介绍:一位76岁的女性,先前接受了二尖瓣置换术,因充血性心力衰竭入院。经胸超声心动图诊断严重二尖瓣狭窄和严重二尖瓣反流。在重做二尖瓣置换术中,我们观察到左心房的人工瓣膜小叶几乎完全被潘膜组织覆盖,只留下一个中心针孔供血液流动。生物假体的肉眼和显微镜检查显示心室侧有手风琴样的小叶变形。结论:虽然经导管瓣内手术被认为是一种微创治疗退行性生物瓣膜的方法,但在某些情况下,如我们的病例,开放手术成为最合适的治疗方法。
本文章由计算机程序翻译,如有差异,请以英文原文为准。
求助全文
约1分钟内获得全文 求助全文
来源期刊
自引率
0.00%
发文量
218
审稿时长
13 weeks
×
引用
GB/T 7714-2015
复制
MLA
复制
APA
复制
导出至
BibTeX EndNote RefMan NoteFirst NoteExpress
×
提示
您的信息不完整,为了账户安全,请先补充。
现在去补充
×
提示
您因"违规操作"
具体请查看互助需知
我知道了
×
提示
确定
请完成安全验证×
copy
已复制链接
快去分享给好友吧!
我知道了
右上角分享
点击右上角分享
0
联系我们:info@booksci.cn Book学术提供免费学术资源搜索服务,方便国内外学者检索中英文文献。致力于提供最便捷和优质的服务体验。 Copyright © 2023 布克学术 All rights reserved.
京ICP备2023020795号-1
ghs 京公网安备 11010802042870号
Book学术文献互助
Book学术文献互助群
群 号:604180095
Book学术官方微信