Characterization of a GH43 Bifunctional Glycosidase from Endophytic Chaetomium globosum and Its Potential Application in the Biotransformation of Ginsenosides.

IF 3.1 Q3 BIOTECHNOLOGY & APPLIED MICROBIOLOGY
BioTech Pub Date : 2025-03-12 DOI:10.3390/biotech14010018
Yao Lu, Qiang Jiang, Yamin Dong, Runzhen Ji, Yiwen Xiao, Du Zhu, Boliang Gao
{"title":"Characterization of a GH43 Bifunctional Glycosidase from Endophytic <i>Chaetomium globosum</i> and Its Potential Application in the Biotransformation of Ginsenosides.","authors":"Yao Lu, Qiang Jiang, Yamin Dong, Runzhen Ji, Yiwen Xiao, Du Zhu, Boliang Gao","doi":"10.3390/biotech14010018","DOIUrl":null,"url":null,"abstract":"<p><p>The GH43 family of glycosidases represents an important class of industrial enzymes that are widely utilized across the food, pharmaceutical, and various other sectors. In this study, we identified a GH43 family glycoside hydrolytic enzyme, <i>Xyaf313</i>, derived from the plant endophytic fungus <i>Chaetomium globosum</i> DX-THS3, which is capable of transforming several common ginsenosides. The enzyme function analysis reveals that Xyaf313 exhibits dual functionality, displaying both α-L-arabinofuranosidase and β-D-xylosidase activity. When acting as an α-L-arabinofuranosidase, Xyaf313 achieves optimal enzyme activity of 23.96 U/mg at a temperature of 50 °C and a pH of 7. In contrast, its β-D-xylosidase activity results in a slight reduction in enzyme activity to 23.24 U/mg, with similar optimal temperature and pH conditions to those observed for the α-L-arabinofuranosidase activity. Furthermore, Xyaf313 demonstrates considerable resistance to most metal ions and common chemical reagents. Notably, while the maximum enzyme activity of Xyaf313 occurs at 50 °C, it maintains high activity at room temperature (30 °C), with relative enzyme activity exceeding 90%. Measurements of ginsenoside transformation show that Xyaf313 can convert common ginsenosides Rc, Rb<sub>1</sub>, Rb<sub>2</sub>, and Rb<sub>3</sub> into Rd, underscoring its potential for pharmaceutical applications. Overall, our findings contribute to the identification of a new class of bifunctional GH43 glycoside hydrolases, highlight the significance of plant endophytic fungi as a promising resource for the screening of carbohydrate-decomposing enzymes, and present new candidate enzymes for the biotransformation of ginsenosides.</p>","PeriodicalId":34490,"journal":{"name":"BioTech","volume":"14 1","pages":""},"PeriodicalIF":3.1000,"publicationDate":"2025-03-12","publicationTypes":"Journal Article","fieldsOfStudy":null,"isOpenAccess":false,"openAccessPdf":"https://www.ncbi.nlm.nih.gov/pmc/articles/PMC11940195/pdf/","citationCount":"0","resultStr":null,"platform":"Semanticscholar","paperid":null,"PeriodicalName":"BioTech","FirstCategoryId":"1085","ListUrlMain":"https://doi.org/10.3390/biotech14010018","RegionNum":0,"RegionCategory":null,"ArticlePicture":[],"TitleCN":null,"AbstractTextCN":null,"PMCID":null,"EPubDate":"","PubModel":"","JCR":"Q3","JCRName":"BIOTECHNOLOGY & APPLIED MICROBIOLOGY","Score":null,"Total":0}
引用次数: 0

Abstract

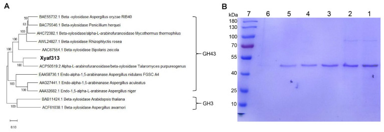
The GH43 family of glycosidases represents an important class of industrial enzymes that are widely utilized across the food, pharmaceutical, and various other sectors. In this study, we identified a GH43 family glycoside hydrolytic enzyme, Xyaf313, derived from the plant endophytic fungus Chaetomium globosum DX-THS3, which is capable of transforming several common ginsenosides. The enzyme function analysis reveals that Xyaf313 exhibits dual functionality, displaying both α-L-arabinofuranosidase and β-D-xylosidase activity. When acting as an α-L-arabinofuranosidase, Xyaf313 achieves optimal enzyme activity of 23.96 U/mg at a temperature of 50 °C and a pH of 7. In contrast, its β-D-xylosidase activity results in a slight reduction in enzyme activity to 23.24 U/mg, with similar optimal temperature and pH conditions to those observed for the α-L-arabinofuranosidase activity. Furthermore, Xyaf313 demonstrates considerable resistance to most metal ions and common chemical reagents. Notably, while the maximum enzyme activity of Xyaf313 occurs at 50 °C, it maintains high activity at room temperature (30 °C), with relative enzyme activity exceeding 90%. Measurements of ginsenoside transformation show that Xyaf313 can convert common ginsenosides Rc, Rb1, Rb2, and Rb3 into Rd, underscoring its potential for pharmaceutical applications. Overall, our findings contribute to the identification of a new class of bifunctional GH43 glycoside hydrolases, highlight the significance of plant endophytic fungi as a promising resource for the screening of carbohydrate-decomposing enzymes, and present new candidate enzymes for the biotransformation of ginsenosides.

Abstract Image

Abstract Image

Abstract Image

内生球毛藻GH43双功能糖苷酶的鉴定及其在人参皂苷生物转化中的潜在应用
GH43糖苷酶家族是一类重要的工业酶,广泛应用于食品、制药和其他各种领域。在这项研究中,我们鉴定了一个GH43家族糖苷水解酶Xyaf313,该酶来源于植物内生真菌毛毛菌globosum DX-THS3,能够转化几种常见的人参皂苷。酶功能分析表明,Xyaf313具有双重功能,具有α- l -阿拉伯糖葡糖苷酶和β- d -木糖葡糖苷酶活性。当作为α- l -阿拉伯糖醛酸苷酶时,Xyaf313在温度为50℃、pH为7的条件下酶活达到23.96 U/mg。β- d -木糖苷酶活性略有降低,为23.24 U/mg,其最佳温度和pH条件与α- l -阿拉伯糖醛酸苷酶活性相似。此外,Xyaf313对大多数金属离子和常见化学试剂具有相当大的抗性。值得注意的是,虽然Xyaf313的酶活性在50°C时达到最大值,但在室温(30°C)下保持较高的酶活性,相对酶活性超过90%。人参皂苷转化实验表明,Xyaf313可以将常见的人参皂苷Rc、Rb1、Rb2和Rb3转化为Rd,这凸显了Xyaf313在制药领域的应用潜力。总之,我们的发现有助于鉴定一类新的双功能GH43糖苷水解酶,突出了植物内生真菌作为筛选碳水化合物分解酶的重要意义,并为人参皂苷的生物转化提供了新的候选酶。
本文章由计算机程序翻译,如有差异,请以英文原文为准。
求助全文
约1分钟内获得全文 求助全文
来源期刊
BioTech
BioTech Immunology and Microbiology-Applied Microbiology and Biotechnology
CiteScore
3.70
自引率
0.00%
发文量
51
审稿时长
11 weeks
×
引用
GB/T 7714-2015
复制
MLA
复制
APA
复制
导出至
BibTeX EndNote RefMan NoteFirst NoteExpress
×
提示
您的信息不完整,为了账户安全,请先补充。
现在去补充
×
提示
您因"违规操作"
具体请查看互助需知
我知道了
×
提示
确定
请完成安全验证×
copy
已复制链接
快去分享给好友吧!
我知道了
右上角分享
点击右上角分享
0
联系我们:info@booksci.cn Book学术提供免费学术资源搜索服务,方便国内外学者检索中英文文献。致力于提供最便捷和优质的服务体验。 Copyright © 2023 布克学术 All rights reserved.
京ICP备2023020795号-1
ghs 京公网安备 11010802042870号
Book学术文献互助
Book学术文献互助群
群 号:604180095
Book学术官方微信