Hybrid Approach to Manage Inflammatory Internal Root Resorption: A Case Report.

Q3 Dentistry
Iranian Endodontic Journal Pub Date : 2025-01-01 Epub Date: 2025-03-08 DOI:10.22037/iej.v20i1.46677
Arezoo Mirzaie, Nazanin Zargar, Rezvan Shahhosseini
{"title":"Hybrid Approach to Manage Inflammatory Internal Root Resorption: A Case Report.","authors":"Arezoo Mirzaie, Nazanin Zargar, Rezvan Shahhosseini","doi":"10.22037/iej.v20i1.46677","DOIUrl":null,"url":null,"abstract":"<p><p>Internal inflammatory root resorption (IRR) poses significant challenges in endodontic treatment due to its potential to compromise tooth integrity. This case report describes the conservative management of IRR in a 40-year-old woman with a radiolucent lesion in the midroot of a maxillary central incisor. Early diagnosis using cone-beam computed tomography prevented perforation and guided treatment planning. Non-surgical endodontic treatment was performed using a dental operating microscope, ultrasonic irrigation, and a hybrid obturation technique. The apical portion of the canal was sealed with a bioceramic sealer and single-cone gutta-percha, while the resorptive defect was filled with calcium-enriched mixture cement due to its biocompatibility and sealing properties. At one-year follow-up, the patient was asymptomatic, with radiographic evidence of healing. This case highlights the efficacy of combining advanced diagnostic tools, bioactive materials, and minimally invasive techniques for successful IRR management.</p>","PeriodicalId":14534,"journal":{"name":"Iranian Endodontic Journal","volume":"20 1","pages":"e18"},"PeriodicalIF":0.0000,"publicationDate":"2025-01-01","publicationTypes":"Journal Article","fieldsOfStudy":null,"isOpenAccess":false,"openAccessPdf":"https://www.ncbi.nlm.nih.gov/pmc/articles/PMC11980995/pdf/","citationCount":"0","resultStr":null,"platform":"Semanticscholar","paperid":null,"PeriodicalName":"Iranian Endodontic Journal","FirstCategoryId":"1085","ListUrlMain":"https://doi.org/10.22037/iej.v20i1.46677","RegionNum":0,"RegionCategory":null,"ArticlePicture":[],"TitleCN":null,"AbstractTextCN":null,"PMCID":null,"EPubDate":"2025/3/8 0:00:00","PubModel":"Epub","JCR":"Q3","JCRName":"Dentistry","Score":null,"Total":0}
引用次数: 0

Abstract

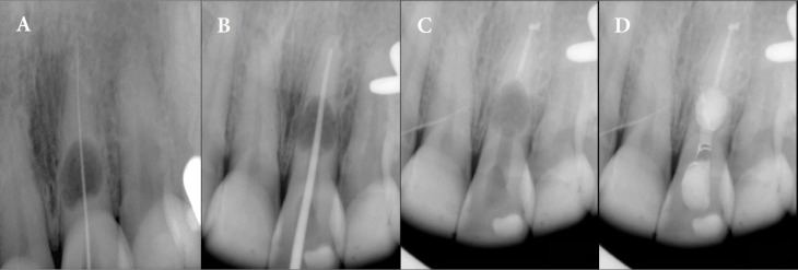
Internal inflammatory root resorption (IRR) poses significant challenges in endodontic treatment due to its potential to compromise tooth integrity. This case report describes the conservative management of IRR in a 40-year-old woman with a radiolucent lesion in the midroot of a maxillary central incisor. Early diagnosis using cone-beam computed tomography prevented perforation and guided treatment planning. Non-surgical endodontic treatment was performed using a dental operating microscope, ultrasonic irrigation, and a hybrid obturation technique. The apical portion of the canal was sealed with a bioceramic sealer and single-cone gutta-percha, while the resorptive defect was filled with calcium-enriched mixture cement due to its biocompatibility and sealing properties. At one-year follow-up, the patient was asymptomatic, with radiographic evidence of healing. This case highlights the efficacy of combining advanced diagnostic tools, bioactive materials, and minimally invasive techniques for successful IRR management.

Abstract Image

Abstract Image

Abstract Image

治疗炎症性内根吸收的混合方法:1例报告。
内部炎症性牙根吸收(IRR)由于其可能损害牙齿的完整性,对牙髓治疗提出了重大挑战。本病例报告描述了一名40岁女性上颌中切牙根中有放射状病变的IRR的保守治疗。锥形束计算机断层扫描的早期诊断可预防穿孔并指导治疗计划。非手术治疗采用牙科手术显微镜、超声冲洗和混合封闭技术。根管的根尖部分采用生物陶瓷封口剂和单锥杜仲胶进行封闭,而吸收缺损部分则采用富钙混合骨水泥填充,因为其具有生物相容性和封闭性能。在一年的随访中,患者无症状,有愈合的影像学证据。本病例强调了结合先进诊断工具、生物活性材料和微创技术成功治疗IRR的有效性。
本文章由计算机程序翻译,如有差异,请以英文原文为准。
求助全文
约1分钟内获得全文 求助全文
来源期刊
Iranian Endodontic Journal
Iranian Endodontic Journal Dentistry-Dentistry (all)
CiteScore
1.30
自引率
0.00%
发文量
0
审稿时长
12 weeks
期刊介绍: The Iranian Endodontic Journal (IEJ) is an international peer-reviewed biomedical publication, the aim of which is to provide a scientific medium of communication for researchers throughout the globe. IEJ aims to publish the highest quality articles, both clinical and scientific, on all aspects of Endodontics. The journal is an official Journal of the Iranian Center for Endodontic Research (ICER) and the Iranian Association of Endodontists (IAE). The Journal welcomes articles related to the scientific or applied aspects of endodontics e.g. original researches, systematic reviews, meta-analyses, review articles, clinical trials, case series/reports, hypotheses, letters to the editor, etc. From the beginning (i.e. since 2006), the IEJ was the first open access endodontic journal in the world, which gave readers free and instant access to published articles and enabling them faster discovery of the latest endodontic research.
×
引用
GB/T 7714-2015
复制
MLA
复制
APA
复制
导出至
BibTeX EndNote RefMan NoteFirst NoteExpress
×
提示
您的信息不完整,为了账户安全,请先补充。
现在去补充
×
提示
您因"违规操作"
具体请查看互助需知
我知道了
×
提示
确定
请完成安全验证×
copy
已复制链接
快去分享给好友吧!
我知道了
右上角分享
点击右上角分享
0
联系我们:info@booksci.cn Book学术提供免费学术资源搜索服务,方便国内外学者检索中英文文献。致力于提供最便捷和优质的服务体验。 Copyright © 2023 布克学术 All rights reserved.
京ICP备2023020795号-1
ghs 京公网安备 11010802042870号
Book学术文献互助
Book学术文献互助群
群 号:604180095
Book学术官方微信