Rituximab in the Treatment of Subarachnoid Hemorrhage and Widespread Bleeding in Microscopic Polyangiitis : A Case Report.

IF 1.7 4区 医学 Q4 CLINICAL NEUROLOGY
Journal of Korean Neurosurgical Society Pub Date : 2025-07-01 Epub Date: 2025-05-07 DOI:10.3340/jkns.2023.0232
Tian Tao, Lizeyu Lv, Jun Chen, Ling Wu, Meijun Liu, Anqi Tang, Hong Yan, Shuqin Liu, Liangbin Zhao
{"title":"Rituximab in the Treatment of Subarachnoid Hemorrhage and Widespread Bleeding in Microscopic Polyangiitis : A Case Report.","authors":"Tian Tao, Lizeyu Lv, Jun Chen, Ling Wu, Meijun Liu, Anqi Tang, Hong Yan, Shuqin Liu, Liangbin Zhao","doi":"10.3340/jkns.2023.0232","DOIUrl":null,"url":null,"abstract":"<p><p>Microscopic polyangiitis (MPA) is a rare autoimmune disorder characterized by small-vessel vasculitis and the presence of anti-neutrophil cytoplasmic antibody (ANCA). Typically, MPA primarily affects the respiratory system, kidneys, and skin, with infrequent involvement of the nervous system, resulting in neuropathy. However, the occurrence of subarachnoid hemorrhage (SAH) in MPA is exceedingly rare, especially when it is accompanied by hemorrhagic events in multiple organs. This case report details the clinical presentation of a 61-yearold male patient diagnosed with MPA who experienced an exceptionally uncommon occurrence of SAH, coupled with extensive bleeding manifestations including epistaxis, skin purpura, and gastrointestinal bleeding. Notably, the patient's symptoms exhibited potential improvement following a treatment regimen consisting of rituximab and glucocorticoids. This case emphasizes the critical importance of promptly recognizing and comprehensively managing rare complications in MPA patients to optimize clinical outcomes.</p>","PeriodicalId":16283,"journal":{"name":"Journal of Korean Neurosurgical Society","volume":" ","pages":"480-487"},"PeriodicalIF":1.7000,"publicationDate":"2025-07-01","publicationTypes":"Journal Article","fieldsOfStudy":null,"isOpenAccess":false,"openAccessPdf":"https://www.ncbi.nlm.nih.gov/pmc/articles/PMC12237537/pdf/","citationCount":"0","resultStr":null,"platform":"Semanticscholar","paperid":null,"PeriodicalName":"Journal of Korean Neurosurgical Society","FirstCategoryId":"3","ListUrlMain":"https://doi.org/10.3340/jkns.2023.0232","RegionNum":4,"RegionCategory":"医学","ArticlePicture":[],"TitleCN":null,"AbstractTextCN":null,"PMCID":null,"EPubDate":"2025/5/7 0:00:00","PubModel":"Epub","JCR":"Q4","JCRName":"CLINICAL NEUROLOGY","Score":null,"Total":0}
引用次数: 0

Abstract

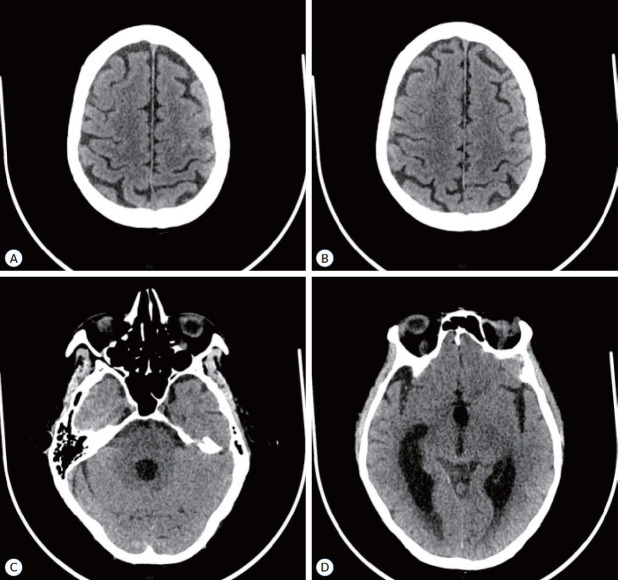
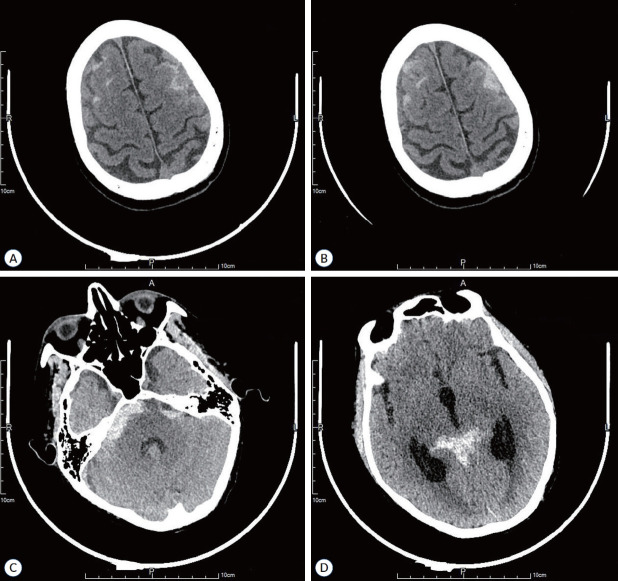
Microscopic polyangiitis (MPA) is a rare autoimmune disorder characterized by small-vessel vasculitis and the presence of anti-neutrophil cytoplasmic antibody (ANCA). Typically, MPA primarily affects the respiratory system, kidneys, and skin, with infrequent involvement of the nervous system, resulting in neuropathy. However, the occurrence of subarachnoid hemorrhage (SAH) in MPA is exceedingly rare, especially when it is accompanied by hemorrhagic events in multiple organs. This case report details the clinical presentation of a 61-yearold male patient diagnosed with MPA who experienced an exceptionally uncommon occurrence of SAH, coupled with extensive bleeding manifestations including epistaxis, skin purpura, and gastrointestinal bleeding. Notably, the patient's symptoms exhibited potential improvement following a treatment regimen consisting of rituximab and glucocorticoids. This case emphasizes the critical importance of promptly recognizing and comprehensively managing rare complications in MPA patients to optimize clinical outcomes.

Abstract Image

Abstract Image

Abstract Image

利妥昔单抗治疗镜下多血管炎蛛网膜下腔出血和广泛性出血1例。
显微多血管炎(MPA)是一种罕见的自身免疫性疾病,其特征是小血管血管炎和抗中性粒细胞细胞质抗体(ANCA)的存在。典型地,MPA主要影响呼吸系统、肾脏和皮肤,很少累及神经系统,导致神经病变。然而,在MPA中发生蛛网膜下腔出血(SAH)是非常罕见的,特别是当它伴有多器官出血事件时。本病例报告详细介绍了一名61岁男性MPA患者的临床表现,他经历了罕见的SAH发生,并伴有广泛的出血表现,包括鼻出血、皮肤紫癜和胃肠道出血。值得注意的是,患者的症状在由利妥昔单抗和糖皮质激素组成的治疗方案后显示出潜在的改善。本病例强调了及时识别和全面管理MPA患者罕见并发症以优化临床结果的重要性。
本文章由计算机程序翻译,如有差异,请以英文原文为准。
求助全文
约1分钟内获得全文 求助全文
来源期刊
CiteScore
2.90
自引率
6.20%
发文量
109
审稿时长
3-8 weeks
期刊介绍: The Journal of Korean Neurosurgical Society (J Korean Neurosurg Soc) is the official journal of the Korean Neurosurgical Society, and published bimonthly (1st day of January, March, May, July, September, and November). It launched in October 31, 1972 with Volume 1 and Number 1. J Korean Neurosurg Soc aims to allow neurosurgeons from around the world to enrich their knowledge of patient management, education, and clinical or experimental research, and hence their professionalism. This journal publishes Laboratory Investigations, Clinical Articles, Review Articles, Case Reports, Technical Notes, and Letters to the Editor. Our field of interest involves clinical neurosurgery (cerebrovascular disease, neuro-oncology, skull base neurosurgery, spine, pediatric neurosurgery, functional neurosurgery, epilepsy, neuro-trauma, and peripheral nerve disease) and laboratory work in neuroscience.
×
引用
GB/T 7714-2015
复制
MLA
复制
APA
复制
导出至
BibTeX EndNote RefMan NoteFirst NoteExpress
×
提示
您的信息不完整,为了账户安全,请先补充。
现在去补充
×
提示
您因"违规操作"
具体请查看互助需知
我知道了
×
提示
确定
请完成安全验证×
copy
已复制链接
快去分享给好友吧!
我知道了
右上角分享
点击右上角分享
0
联系我们:info@booksci.cn Book学术提供免费学术资源搜索服务,方便国内外学者检索中英文文献。致力于提供最便捷和优质的服务体验。 Copyright © 2023 布克学术 All rights reserved.
京ICP备2023020795号-1
ghs 京公网安备 11010802042870号
Book学术文献互助
Book学术文献互助群
群 号:604180095
Book学术官方微信