Verruciform xanthoma: A case report and a review of recurrent cases.

Q3 Medicine
Sheetal S Choudhari, Sangeeta R Patankar, Vibhuti S Mhatre, Anish Gupta
{"title":"Verruciform xanthoma: A case report and a review of recurrent cases.","authors":"Sheetal S Choudhari, Sangeeta R Patankar, Vibhuti S Mhatre, Anish Gupta","doi":"10.4103/jomfp.jomfp_177_24","DOIUrl":null,"url":null,"abstract":"<p><p>Oral verruciform xanthoma (VX) is an infrequently encountered benign lesion in the oral cavity. We report an unusual case of VX on the left buccal mucosa presented as a red and white exophytic mass with a greyish white diffuse patch associated with it. A differential diagnosis of papilloma, verrucous carcinoma, and squamous cell carcinoma associated with leukoplakia was listed. Histopathological findings were suggestive of VX due to the presence of characteristic foam cells in the connective tissue papillae. Immunohistochemical analysis with CD68 showed strong positive immunoreactivity revealing expression of foam cells. After the excisional biopsy, the patient was followed up for the next 6 months with no recurrence. Follow-up is very essential in such a case as the exophytic lesion was associated with a potentially malignant disorder. A short review of reported recurrent cases of verruciform xanthoma is also discussed.</p>","PeriodicalId":38846,"journal":{"name":"Journal of Oral and Maxillofacial Pathology","volume":"29 1","pages":"152-157"},"PeriodicalIF":0.0000,"publicationDate":"2025-01-01","publicationTypes":"Journal Article","fieldsOfStudy":null,"isOpenAccess":false,"openAccessPdf":"https://www.ncbi.nlm.nih.gov/pmc/articles/PMC12002571/pdf/","citationCount":"0","resultStr":null,"platform":"Semanticscholar","paperid":null,"PeriodicalName":"Journal of Oral and Maxillofacial Pathology","FirstCategoryId":"1085","ListUrlMain":"https://doi.org/10.4103/jomfp.jomfp_177_24","RegionNum":0,"RegionCategory":null,"ArticlePicture":[],"TitleCN":null,"AbstractTextCN":null,"PMCID":null,"EPubDate":"2025/3/28 0:00:00","PubModel":"Epub","JCR":"Q3","JCRName":"Medicine","Score":null,"Total":0}
引用次数: 0

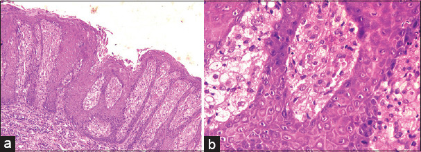
Abstract

Oral verruciform xanthoma (VX) is an infrequently encountered benign lesion in the oral cavity. We report an unusual case of VX on the left buccal mucosa presented as a red and white exophytic mass with a greyish white diffuse patch associated with it. A differential diagnosis of papilloma, verrucous carcinoma, and squamous cell carcinoma associated with leukoplakia was listed. Histopathological findings were suggestive of VX due to the presence of characteristic foam cells in the connective tissue papillae. Immunohistochemical analysis with CD68 showed strong positive immunoreactivity revealing expression of foam cells. After the excisional biopsy, the patient was followed up for the next 6 months with no recurrence. Follow-up is very essential in such a case as the exophytic lesion was associated with a potentially malignant disorder. A short review of reported recurrent cases of verruciform xanthoma is also discussed.

Abstract Image

Abstract Image

Abstract Image

疣状黄色瘤:1例报告及复发病例回顾。
摘要口腔疣状黄色瘤(VX)是一种罕见的口腔良性病变。我们报告一例不寻常的左颊粘膜VX,表现为红白相间的外生性肿块,伴灰白色弥漫性斑块。乳头状瘤、疣状癌和鳞状细胞癌合并白斑的鉴别诊断被列出。由于结缔组织乳头中存在特征性泡沫细胞,组织病理学结果提示VX。CD68免疫组化分析显示泡沫细胞表达强烈的阳性免疫反应。术后随访6个月,无复发。在这种情况下,随访是非常必要的,因为外生性病变与潜在的恶性疾病有关。简要回顾报告的复发病例的疣状黄色瘤也进行了讨论。
本文章由计算机程序翻译,如有差异,请以英文原文为准。
求助全文
约1分钟内获得全文 求助全文
来源期刊
Journal of Oral and Maxillofacial Pathology
Journal of Oral and Maxillofacial Pathology Medicine-Otorhinolaryngology
CiteScore
1.40
自引率
0.00%
发文量
115
期刊介绍: The journal of Oral and Maxillofacial Pathology [ISSN:print-(0973-029X, online-1998-393X)] is a tri-annual journal published on behalf of “The Indian Association of Oral and Maxillofacial Pathologists” (IAOMP). The publication of JOMFP was started in the year 1993. The journal publishes papers on a wide spectrum of topics associated with the scope of Oral and Maxillofacial Pathology, also, ensuring scientific merit and quality. It is a comprehensive reading material for the professionals who want to upgrade their diagnostic skills in Oral Diseases; allows exposure to newer topics and methods of research in the Oral-facial Tissues and Pathology. New features allow an open minded thinking and approach to various pathologies. It also encourages authors to showcase quality work done by them and to compile relevant cases which are diagnostically challenging. The Journal takes pride in maintaining the quality of articles and photomicrographs.
×
引用
GB/T 7714-2015
复制
MLA
复制
APA
复制
导出至
BibTeX EndNote RefMan NoteFirst NoteExpress
×
提示
您的信息不完整,为了账户安全,请先补充。
现在去补充
×
提示
您因"违规操作"
具体请查看互助需知
我知道了
×
提示
确定
请完成安全验证×
copy
已复制链接
快去分享给好友吧!
我知道了
右上角分享
点击右上角分享
0
联系我们:info@booksci.cn Book学术提供免费学术资源搜索服务,方便国内外学者检索中英文文献。致力于提供最便捷和优质的服务体验。 Copyright © 2023 布克学术 All rights reserved.
京ICP备2023020795号-1
ghs 京公网安备 11010802042870号
Book学术文献互助
Book学术文献互助群
群 号:604180095
Book学术官方微信