Bilateral Endoscopic Endonasal Optic Nerve Decompression in an Infant with Osteopetrosis: A Case Report.

IF 0.7 Q4 CLINICAL NEUROLOGY
Journal of Neurological Surgery Reports Pub Date : 2025-04-11 eCollection Date: 2025-04-01 DOI:10.1055/a-2554-2426
Rita M Jalkh, Yara Yammine, Nader Zalaquett, Houssein Darwish, Zeina Korban
{"title":"Bilateral Endoscopic Endonasal Optic Nerve Decompression in an Infant with Osteopetrosis: A Case Report.","authors":"Rita M Jalkh, Yara Yammine, Nader Zalaquett, Houssein Darwish, Zeina Korban","doi":"10.1055/a-2554-2426","DOIUrl":null,"url":null,"abstract":"<p><strong>Background: </strong>Osteopetrosis is a rare genetic disorder characterized by abnormal bone density and structure, often leading to vision loss due to optic canal stenosis and consequent nerve compression. Early intervention is critical to prevent irreversible damage. This case report discusses the management of bilateral optic nerve compression in an infant with osteopetrosis.</p><p><strong>Case description: </strong>A 7-month-old male with a family history of osteopetrosis presented with hepatosplenomegaly. The infant was diagnosed with osteopetrosis based on radiological findings and genetic testing. Ophthalmologic examination and magnetic resonance imaging showed evidence of bilateral optic nerve compression. Endoscopic transcaruncular optic nerve decompression was not attainable The patient underwent a bilateral expanded endoscopic endonasal medial orbital wall and optic canal decompression.</p><p><strong>Conclusion: </strong>This is one of the few reported cases of endoscopic endonasal optic nerve decompression surgery on an infant. Endoscopic endonasal optic nerve decompression surgery is a viable and effective treatment option for optic nerve compression in infants with osteopetrosis, especially in cases where cost of surgery is a limiting factor for patients. This approach provides direct access to the optic canal with minimal morbidity, offering significant potential for visual recovery, and an improved quality of life. Our patient represents the youngest reported infant in the literature, demonstrating the potential for undergoing this surgical approach at the earliest possible age to aid with his prognosis.</p>","PeriodicalId":44256,"journal":{"name":"Journal of Neurological Surgery Reports","volume":"86 2","pages":"e65-e71"},"PeriodicalIF":0.7000,"publicationDate":"2025-04-11","publicationTypes":"Journal Article","fieldsOfStudy":null,"isOpenAccess":false,"openAccessPdf":"https://www.ncbi.nlm.nih.gov/pmc/articles/PMC12020546/pdf/","citationCount":"0","resultStr":null,"platform":"Semanticscholar","paperid":null,"PeriodicalName":"Journal of Neurological Surgery Reports","FirstCategoryId":"1085","ListUrlMain":"https://doi.org/10.1055/a-2554-2426","RegionNum":0,"RegionCategory":null,"ArticlePicture":[],"TitleCN":null,"AbstractTextCN":null,"PMCID":null,"EPubDate":"2025/4/1 0:00:00","PubModel":"eCollection","JCR":"Q4","JCRName":"CLINICAL NEUROLOGY","Score":null,"Total":0}
引用次数: 0

Abstract

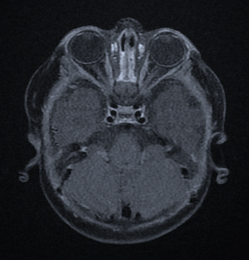
Background: Osteopetrosis is a rare genetic disorder characterized by abnormal bone density and structure, often leading to vision loss due to optic canal stenosis and consequent nerve compression. Early intervention is critical to prevent irreversible damage. This case report discusses the management of bilateral optic nerve compression in an infant with osteopetrosis.

Case description: A 7-month-old male with a family history of osteopetrosis presented with hepatosplenomegaly. The infant was diagnosed with osteopetrosis based on radiological findings and genetic testing. Ophthalmologic examination and magnetic resonance imaging showed evidence of bilateral optic nerve compression. Endoscopic transcaruncular optic nerve decompression was not attainable The patient underwent a bilateral expanded endoscopic endonasal medial orbital wall and optic canal decompression.

Conclusion: This is one of the few reported cases of endoscopic endonasal optic nerve decompression surgery on an infant. Endoscopic endonasal optic nerve decompression surgery is a viable and effective treatment option for optic nerve compression in infants with osteopetrosis, especially in cases where cost of surgery is a limiting factor for patients. This approach provides direct access to the optic canal with minimal morbidity, offering significant potential for visual recovery, and an improved quality of life. Our patient represents the youngest reported infant in the literature, demonstrating the potential for undergoing this surgical approach at the earliest possible age to aid with his prognosis.

Abstract Image

Abstract Image

Abstract Image

双侧鼻内窥镜视神经减压术治疗婴儿骨质疏松1例。
背景:骨质疏松症是一种罕见的遗传性疾病,以骨密度和结构异常为特征,常因视神经管狭窄和随之而来的神经压迫而导致视力丧失。早期干预对于防止不可逆转的损害至关重要。本病例报告讨论处理双侧视神经压迫的婴儿与骨质疏松症。病例描述:一名7个月大的男性,有骨质疏松家族史,表现为肝脾肿大。根据放射学检查和基因检测,该婴儿被诊断为骨质疏松症。眼科检查及核磁共振显示双侧视神经受压。经鼻内窥镜下视神经减压无法实现。患者接受了双侧鼻内窥镜下眶内壁和视神经管减压术。结论:这是少数报道的婴儿经鼻内窥镜视神经减压手术之一。内镜下鼻内视神经减压手术是治疗婴幼儿骨质疏松症视神经压迫的一种可行且有效的治疗选择,特别是在手术费用是患者限制因素的情况下。该入路可直接进入视神经管,且发病率极低,具有显著的视力恢复潜力,并可提高生活质量。我们的患者是文献中报道的最年轻的婴儿,表明在尽可能早的年龄接受这种手术方法有助于他的预后。
本文章由计算机程序翻译,如有差异,请以英文原文为准。
求助全文
约1分钟内获得全文 求助全文
来源期刊
自引率
0.00%
发文量
31
审稿时长
12 weeks
×
引用
GB/T 7714-2015
复制
MLA
复制
APA
复制
导出至
BibTeX EndNote RefMan NoteFirst NoteExpress
×
提示
您的信息不完整,为了账户安全,请先补充。
现在去补充
×
提示
您因"违规操作"
具体请查看互助需知
我知道了
×
提示
确定
请完成安全验证×
copy
已复制链接
快去分享给好友吧!
我知道了
右上角分享
点击右上角分享
0
联系我们:info@booksci.cn Book学术提供免费学术资源搜索服务,方便国内外学者检索中英文文献。致力于提供最便捷和优质的服务体验。 Copyright © 2023 布克学术 All rights reserved.
京ICP备2023020795号-1
ghs 京公网安备 11010802042870号
Book学术文献互助
Book学术文献互助群
群 号:604180095
Book学术官方微信