Case Report: Agranulocytosis in a Child Following Metamizole Use - A Diagnostic Challenge.

Q3 Medicine
Aljaž Pirnat, Tomaž Prelog, Janez Jazbec, Alenka Trampuš Bakija
{"title":"Case Report: Agranulocytosis in a Child Following Metamizole Use - A Diagnostic Challenge.","authors":"Aljaž Pirnat, Tomaž Prelog, Janez Jazbec, Alenka Trampuš Bakija","doi":"10.5644/ama2006-124.472","DOIUrl":null,"url":null,"abstract":"<p><strong>Objective: </strong>This case report describes a young female who developed agranulocytosis with blast cells in peripheral blood following prolonged metamizole use after ankle surgery.</p><p><strong>Case report: </strong>A 17-year-old female patient was admitted to the Department of Infectious Diseases due to high fever and sore throat. Initial diagnostics revealed agranulocytosis, followed by occurrence of blast cells and left shifted neutrophils in the peripheral blood, in subsequent days. Extensive further diagnostics were performed due to suspicion of leukaemia, which was excluded after flow cytometry and cytogenetic analysis of bone marrow aspirate. After all tests were completed, the patient disclosed that she had been using metamizole for four months following ankle surgery.</p><p><strong>Conclusion: </strong>In cases of agranulocytosis, involving a prolonged history of metamizole use accompanied by the presence of blast cells and granulocyte precursors in peripheral blood, we would recommend an initial diagnostic approach that includes a complete blood count with differential and flow cytometry of peripheral blood. Bone marrow aspiration may be postponed or deemed unnecessary if peripheral blood flow cytometry shows no aberrant populations and there are no other signs of leukaemia.</p>","PeriodicalId":38313,"journal":{"name":"Acta medica academica","volume":" ","pages":"51-55"},"PeriodicalIF":0.0000,"publicationDate":"2025-04-01","publicationTypes":"Journal Article","fieldsOfStudy":null,"isOpenAccess":false,"openAccessPdf":"https://www.ncbi.nlm.nih.gov/pmc/articles/PMC12309300/pdf/","citationCount":"0","resultStr":null,"platform":"Semanticscholar","paperid":null,"PeriodicalName":"Acta medica academica","FirstCategoryId":"1085","ListUrlMain":"https://doi.org/10.5644/ama2006-124.472","RegionNum":0,"RegionCategory":null,"ArticlePicture":[],"TitleCN":null,"AbstractTextCN":null,"PMCID":null,"EPubDate":"","PubModel":"","JCR":"Q3","JCRName":"Medicine","Score":null,"Total":0}
引用次数: 0

Abstract

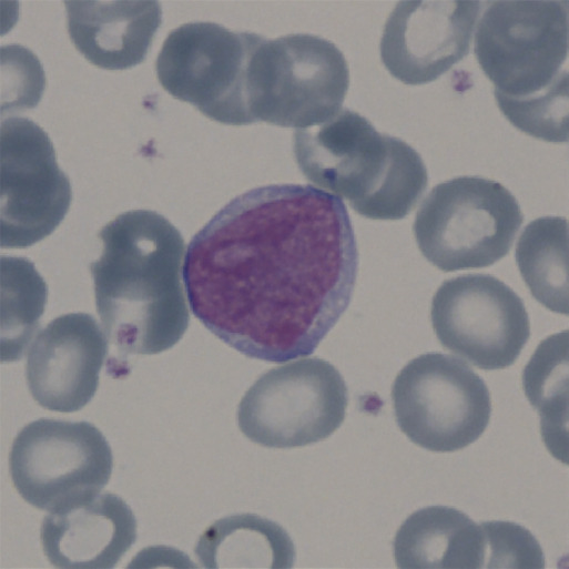
Objective: This case report describes a young female who developed agranulocytosis with blast cells in peripheral blood following prolonged metamizole use after ankle surgery.

Case report: A 17-year-old female patient was admitted to the Department of Infectious Diseases due to high fever and sore throat. Initial diagnostics revealed agranulocytosis, followed by occurrence of blast cells and left shifted neutrophils in the peripheral blood, in subsequent days. Extensive further diagnostics were performed due to suspicion of leukaemia, which was excluded after flow cytometry and cytogenetic analysis of bone marrow aspirate. After all tests were completed, the patient disclosed that she had been using metamizole for four months following ankle surgery.

Conclusion: In cases of agranulocytosis, involving a prolonged history of metamizole use accompanied by the presence of blast cells and granulocyte precursors in peripheral blood, we would recommend an initial diagnostic approach that includes a complete blood count with differential and flow cytometry of peripheral blood. Bone marrow aspiration may be postponed or deemed unnecessary if peripheral blood flow cytometry shows no aberrant populations and there are no other signs of leukaemia.

Abstract Image

病例报告:儿童粒细胞缺乏症后使用的Metamizole -一个诊断挑战。
目的:本病例报告描述了一位年轻女性在踝关节手术后长时间使用metamizole后外周血中出现粒细胞缺乏症和母细胞。病例报告:一名17岁女患者因高热及喉咙痛被收住于感染性疾病科。最初的诊断显示粒细胞缺乏症,随后几天外周血中出现母细胞和左移的中性粒细胞。由于怀疑白血病,进行了广泛的进一步诊断,流式细胞术和骨髓抽吸细胞遗传学分析排除了白血病。在所有测试完成后,患者透露她在踝关节手术后使用了四个月的metamizole。结论:在粒细胞缺乏症的病例中,包括长期使用metamizole并伴有外周血中母细胞和粒细胞前体的存在,我们建议初步诊断方法包括全血细胞计数与外周血鉴别和流式细胞术。如果外周血流式细胞术没有显示异常人群,也没有其他白血病的迹象,骨髓穿刺可能被推迟或认为没有必要。
本文章由计算机程序翻译,如有差异,请以英文原文为准。
求助全文
约1分钟内获得全文 求助全文
来源期刊
Acta medica academica
Acta medica academica Medicine-Medicine (all)
CiteScore
1.90
自引率
0.00%
发文量
21
审稿时长
15 weeks
×
引用
GB/T 7714-2015
复制
MLA
复制
APA
复制
导出至
BibTeX EndNote RefMan NoteFirst NoteExpress
×
提示
您的信息不完整,为了账户安全,请先补充。
现在去补充
×
提示
您因"违规操作"
具体请查看互助需知
我知道了
×
提示
确定
请完成安全验证×
copy
已复制链接
快去分享给好友吧!
我知道了
右上角分享
点击右上角分享
0
联系我们:info@booksci.cn Book学术提供免费学术资源搜索服务,方便国内外学者检索中英文文献。致力于提供最便捷和优质的服务体验。 Copyright © 2023 布克学术 All rights reserved.
京ICP备2023020795号-1
ghs 京公网安备 11010802042870号
Book学术文献互助
Book学术文献互助群
群 号:604180095
Book学术官方微信