A high frequency of detection of koala retrovirus fragments in Victorian koalas suggests historic integration of KoRV.

IF 4.3 4区 医学 Q2 BIOTECHNOLOGY & APPLIED MICROBIOLOGY
Louize Zheng, Alistair R Legione
{"title":"A high frequency of detection of koala retrovirus fragments in Victorian koalas suggests historic integration of KoRV.","authors":"Louize Zheng, Alistair R Legione","doi":"10.1099/jgv.0.002097","DOIUrl":null,"url":null,"abstract":"<p><p>Recombinant koala retrovirus (recKoRV) is a recently discovered variant of koala retrovirus (KoRV), which likely emerged due to recombination with another retrovirus (such as Phascolarctos endogenous retrovirus). KoRV spread and endogenization in Australia were thought to be ongoing in a north to south direction given the low prevalence of the virus in southern koala populations, based on molecular detection of the <i>pol</i> gene. However, recKoRV has highlighted that fragments of KoRV with the <i>pol</i> region missing are present within southern koalas. In this study, a new 5'-region-based KoRV PCR assay was developed, capable of detecting both intact KoRV and all known variants of recKoRV. Using this assay, 319 archived DNA samples from 287 Victorian koalas were retested to investigate KoRV endogenization. We found 98.3% (282/287) of these samples were positive for the KoRV-5' fragment, the majority of which were KoRV-<i>pol</i> negative (222/287) on prior testing. Our findings demonstrate extensive KoRV integration into the Victorian koala populations, suggestive of a historic presence of KoRV in Victorian koalas. This finding makes biological sense relative to the translocation history of Victorian koalas, compared to the prior paradigm of low virus prevalence, and provides new epidemiological and practical management implications.</p>","PeriodicalId":15880,"journal":{"name":"Journal of General Virology","volume":"106 4","pages":""},"PeriodicalIF":4.3000,"publicationDate":"2025-04-01","publicationTypes":"Journal Article","fieldsOfStudy":null,"isOpenAccess":false,"openAccessPdf":"https://www.ncbi.nlm.nih.gov/pmc/articles/PMC12032406/pdf/","citationCount":"0","resultStr":null,"platform":"Semanticscholar","paperid":null,"PeriodicalName":"Journal of General Virology","FirstCategoryId":"3","ListUrlMain":"https://doi.org/10.1099/jgv.0.002097","RegionNum":4,"RegionCategory":"医学","ArticlePicture":[],"TitleCN":null,"AbstractTextCN":null,"PMCID":null,"EPubDate":"","PubModel":"","JCR":"Q2","JCRName":"BIOTECHNOLOGY & APPLIED MICROBIOLOGY","Score":null,"Total":0}
引用次数: 0

Abstract

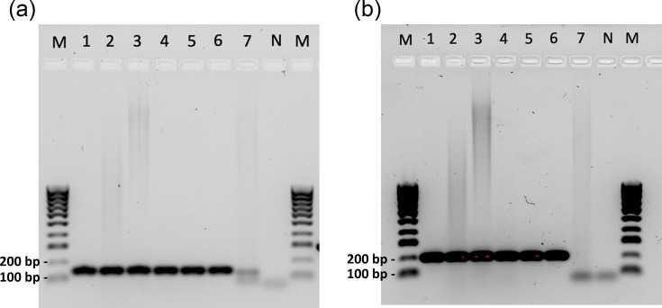
Recombinant koala retrovirus (recKoRV) is a recently discovered variant of koala retrovirus (KoRV), which likely emerged due to recombination with another retrovirus (such as Phascolarctos endogenous retrovirus). KoRV spread and endogenization in Australia were thought to be ongoing in a north to south direction given the low prevalence of the virus in southern koala populations, based on molecular detection of the pol gene. However, recKoRV has highlighted that fragments of KoRV with the pol region missing are present within southern koalas. In this study, a new 5'-region-based KoRV PCR assay was developed, capable of detecting both intact KoRV and all known variants of recKoRV. Using this assay, 319 archived DNA samples from 287 Victorian koalas were retested to investigate KoRV endogenization. We found 98.3% (282/287) of these samples were positive for the KoRV-5' fragment, the majority of which were KoRV-pol negative (222/287) on prior testing. Our findings demonstrate extensive KoRV integration into the Victorian koala populations, suggestive of a historic presence of KoRV in Victorian koalas. This finding makes biological sense relative to the translocation history of Victorian koalas, compared to the prior paradigm of low virus prevalence, and provides new epidemiological and practical management implications.

Abstract Image

Abstract Image

Abstract Image

在维多利亚考拉中检测到高频率的考拉逆转录病毒片段表明KoRV的历史整合。
重组考拉逆转录病毒(recKoRV)是最近发现的考拉逆转录病毒(KoRV)的一种变体,可能是由于与另一种逆转录病毒(如Phascolarctos内源性逆转录病毒)重组而产生的。根据pol基因的分子检测,由于病毒在南部考拉种群中的流行率较低,因此认为KoRV在澳大利亚的传播和内源性正在从北向南方向进行。然而,recKoRV强调,南部考拉体内存在pol区域缺失的KoRV片段。在这项研究中,开发了一种新的基于5'区域的KoRV PCR检测方法,能够检测完整的KoRV和所有已知的recKoRV变体。利用这种方法,对287只维多利亚州考拉的319份存档DNA样本进行了重新测试,以研究KoRV的内源性。结果显示,98.3%(282/287)的样本KoRV-5片段阳性,其中大部分样本KoRV-pol阴性(222/287)。我们的研究结果表明,KoRV广泛融入维多利亚考拉种群,这表明KoRV在维多利亚考拉中的历史存在。与先前的低病毒流行率范例相比,这一发现相对于维多利亚考拉的易位历史具有生物学意义,并提供了新的流行病学和实际管理意义。
本文章由计算机程序翻译,如有差异,请以英文原文为准。
求助全文
约1分钟内获得全文 求助全文
来源期刊
Journal of General Virology
Journal of General Virology 医学-病毒学
CiteScore
7.70
自引率
2.60%
发文量
91
审稿时长
3 months
期刊介绍: JOURNAL OF GENERAL VIROLOGY (JGV), a journal of the Society for General Microbiology (SGM), publishes high-calibre research papers with high production standards, giving the journal a worldwide reputation for excellence and attracting an eminent audience.
×
引用
GB/T 7714-2015
复制
MLA
复制
APA
复制
导出至
BibTeX EndNote RefMan NoteFirst NoteExpress
×
提示
您的信息不完整,为了账户安全,请先补充。
现在去补充
×
提示
您因"违规操作"
具体请查看互助需知
我知道了
×
提示
确定
请完成安全验证×
copy
已复制链接
快去分享给好友吧!
我知道了
右上角分享
点击右上角分享
0
联系我们:info@booksci.cn Book学术提供免费学术资源搜索服务,方便国内外学者检索中英文文献。致力于提供最便捷和优质的服务体验。 Copyright © 2023 布克学术 All rights reserved.
京ICP备2023020795号-1
ghs 京公网安备 11010802042870号
Book学术文献互助
Book学术文献互助群
群 号:604180095
Book学术官方微信