The role of gravitational effects and pre-puncture techniques in reducing pneumothorax during CT-guided lung biopsies.

IF 4.8 1区 医学 Q1 RADIOLOGY, NUCLEAR MEDICINE & MEDICAL IMAGING
Radiologia Medica Pub Date : 2025-07-01 Epub Date: 2025-04-15 DOI:10.1007/s11547-025-02007-w
Michael P Brönnimann, Maria C Barroso, Leonie Manser, Bernhard Gebauer, Timo A Auer, Federico Collettini, Patrick Dorn, Adrian T Huber, Johannes T Heverhagen, Martin H Maurer
{"title":"The role of gravitational effects and pre-puncture techniques in reducing pneumothorax during CT-guided lung biopsies.","authors":"Michael P Brönnimann, Maria C Barroso, Leonie Manser, Bernhard Gebauer, Timo A Auer, Federico Collettini, Patrick Dorn, Adrian T Huber, Johannes T Heverhagen, Martin H Maurer","doi":"10.1007/s11547-025-02007-w","DOIUrl":null,"url":null,"abstract":"<p><strong>Purpose: </strong>The study aimed to evaluate whether the relative height (RH) of the entry point (EP) during CT-guided lung biopsies, adjusted for patient positioning, can predict the risk of pneumothorax during the intervention, leveraging the gravitational effects on pleural pressure.</p><p><strong>Materials and methods: </strong>We retrospectively analyzed 128 percutaneous CT-guided lung biopsies performed at a single center between January 2018 and December 2023. Patients were grouped based on pneumothorax occurrence. Various measurement methods indirectly assessed the influence of gravitational force on pleural pressure, focusing on the RH at the EP with prone positioning adjustments (PP). Other confounding factors like patient demographics, lesion characteristics, pre-puncture fluid administration and other procedural details were assessed. Test performance metrics were compared using Chi-Square, Fisher's exact, and Mann-Whitney U tests. Univariate and binomial logistic regression assessed the influence of different parameters on pneumothorax occurrence.</p><p><strong>Results: </strong>All measurements of lower RH at EP and pre-puncture fluid administration were significantly associated with a reduced incidence of peri-interventional pneumothorax (p < 0.01). The RH at EP adjusted for the prone position demonstrated the best predictive performance (AUC = 0.844). After adjusting for various confounding factors, both lower RH at EP adjusted for the prone position (OR 110.114, p < 0.001) and pleural fluid administration (OR 0.011, p = 0.011) remained independently associated with a lower risk of pneumothorax.</p><p><strong>Conclusion: </strong>Strategic use of gravity by selecting the lowest possible entry point, ideally positioning the patient laterally, combined with pre-puncture pleural fluid administration, could be the key to reducing pneumothorax in CT-guided lung biopsies.</p>","PeriodicalId":20817,"journal":{"name":"Radiologia Medica","volume":" ","pages":"1024-1038"},"PeriodicalIF":4.8000,"publicationDate":"2025-07-01","publicationTypes":"Journal Article","fieldsOfStudy":null,"isOpenAccess":false,"openAccessPdf":"https://www.ncbi.nlm.nih.gov/pmc/articles/PMC12263723/pdf/","citationCount":"0","resultStr":null,"platform":"Semanticscholar","paperid":null,"PeriodicalName":"Radiologia Medica","FirstCategoryId":"3","ListUrlMain":"https://doi.org/10.1007/s11547-025-02007-w","RegionNum":1,"RegionCategory":"医学","ArticlePicture":[],"TitleCN":null,"AbstractTextCN":null,"PMCID":null,"EPubDate":"2025/4/15 0:00:00","PubModel":"Epub","JCR":"Q1","JCRName":"RADIOLOGY, NUCLEAR MEDICINE & MEDICAL IMAGING","Score":null,"Total":0}
引用次数: 0

Abstract

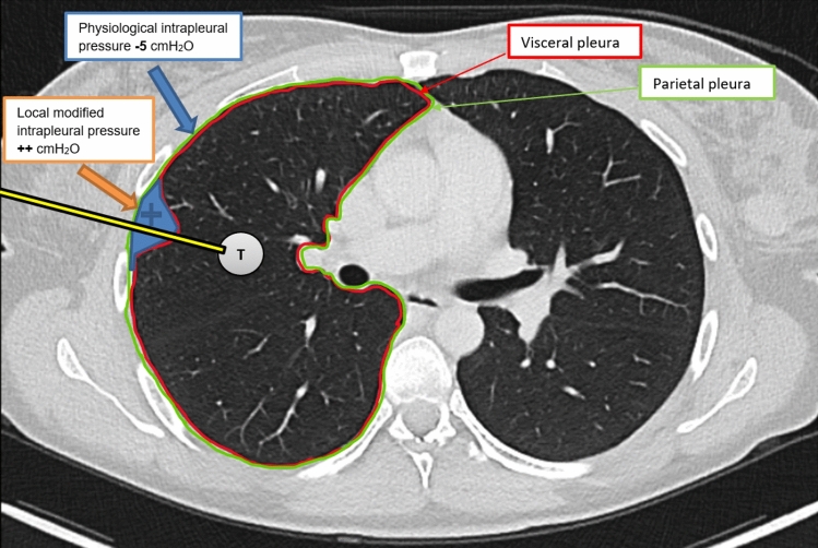
Purpose: The study aimed to evaluate whether the relative height (RH) of the entry point (EP) during CT-guided lung biopsies, adjusted for patient positioning, can predict the risk of pneumothorax during the intervention, leveraging the gravitational effects on pleural pressure.

Materials and methods: We retrospectively analyzed 128 percutaneous CT-guided lung biopsies performed at a single center between January 2018 and December 2023. Patients were grouped based on pneumothorax occurrence. Various measurement methods indirectly assessed the influence of gravitational force on pleural pressure, focusing on the RH at the EP with prone positioning adjustments (PP). Other confounding factors like patient demographics, lesion characteristics, pre-puncture fluid administration and other procedural details were assessed. Test performance metrics were compared using Chi-Square, Fisher's exact, and Mann-Whitney U tests. Univariate and binomial logistic regression assessed the influence of different parameters on pneumothorax occurrence.

Results: All measurements of lower RH at EP and pre-puncture fluid administration were significantly associated with a reduced incidence of peri-interventional pneumothorax (p < 0.01). The RH at EP adjusted for the prone position demonstrated the best predictive performance (AUC = 0.844). After adjusting for various confounding factors, both lower RH at EP adjusted for the prone position (OR 110.114, p < 0.001) and pleural fluid administration (OR 0.011, p = 0.011) remained independently associated with a lower risk of pneumothorax.

Conclusion: Strategic use of gravity by selecting the lowest possible entry point, ideally positioning the patient laterally, combined with pre-puncture pleural fluid administration, could be the key to reducing pneumothorax in CT-guided lung biopsies.

Abstract Image

Abstract Image

Abstract Image

重力效应和穿刺前技术在ct引导下肺活检中减少气胸的作用。
目的:本研究旨在评估ct引导下肺活检时进入点(EP)的相对高度(RH),并根据患者体位调整,是否可以利用重力对胸膜压力的影响来预测干预期间气胸的风险。材料和方法:我们回顾性分析了2018年1月至2023年12月在单个中心进行的128例经皮ct引导的肺活检。根据气胸发生情况进行分组。各种测量方法间接评估了重力对胸膜压力的影响,重点关注俯卧位调整(PP)时EP处的RH。其他混杂因素如患者人口统计学、病变特征、穿刺前液体管理和其他程序细节进行了评估。测试性能指标使用卡方检验、Fisher精确检验和Mann-Whitney U检验进行比较。单因素和二项logistic回归评估不同参数对气胸发生的影响。结果:所有在EP时的低RH测量和穿刺前给液与介入周气胸发生率的降低显著相关(p结论:策略性地利用重力,选择尽可能低的进入点,理想地将患者置于侧位,结合穿刺前给液,可能是ct引导下肺活检减少气胸的关键。
本文章由计算机程序翻译,如有差异,请以英文原文为准。
求助全文
约1分钟内获得全文 求助全文
来源期刊
Radiologia Medica
Radiologia Medica 医学-核医学
CiteScore
14.10
自引率
7.90%
发文量
133
审稿时长
4-8 weeks
期刊介绍: Felice Perussia founded La radiologia medica in 1914. It is a peer-reviewed journal and serves as the official journal of the Italian Society of Medical and Interventional Radiology (SIRM). The primary purpose of the journal is to disseminate information related to Radiology, especially advancements in diagnostic imaging and related disciplines. La radiologia medica welcomes original research on both fundamental and clinical aspects of modern radiology, with a particular focus on diagnostic and interventional imaging techniques. It also covers topics such as radiotherapy, nuclear medicine, radiobiology, health physics, and artificial intelligence in the context of clinical implications. The journal includes various types of contributions such as original articles, review articles, editorials, short reports, and letters to the editor. With an esteemed Editorial Board and a selection of insightful reports, the journal is an indispensable resource for radiologists and professionals in related fields. Ultimately, La radiologia medica aims to serve as a platform for international collaboration and knowledge sharing within the radiological community.
×
引用
GB/T 7714-2015
复制
MLA
复制
APA
复制
导出至
BibTeX EndNote RefMan NoteFirst NoteExpress
×
提示
您的信息不完整,为了账户安全,请先补充。
现在去补充
×
提示
您因"违规操作"
具体请查看互助需知
我知道了
×
提示
确定
请完成安全验证×
copy
已复制链接
快去分享给好友吧!
我知道了
右上角分享
点击右上角分享
0
联系我们:info@booksci.cn Book学术提供免费学术资源搜索服务,方便国内外学者检索中英文文献。致力于提供最便捷和优质的服务体验。 Copyright © 2023 布克学术 All rights reserved.
京ICP备2023020795号-1
ghs 京公网安备 11010802042870号
Book学术文献互助
Book学术文献互助群
群 号:604180095
Book学术官方微信