Spontaneous Exposure of Mandibular Torus: A Case Report and Surgical Management.

IF 0.9 Q4 DENTISTRY, ORAL SURGERY & MEDICINE
Case Reports in Dentistry Pub Date : 2025-04-29 eCollection Date: 2025-01-01 DOI:10.1155/crid/8869192
Priscilla Sergi, Subhi Tayeb, Carlo Barausse, Gerardo Pellegrino, Lorenzo Roccoli, Stefano Ratti, Pietro Felice
{"title":"Spontaneous Exposure of Mandibular Torus: A Case Report and Surgical Management.","authors":"Priscilla Sergi, Subhi Tayeb, Carlo Barausse, Gerardo Pellegrino, Lorenzo Roccoli, Stefano Ratti, Pietro Felice","doi":"10.1155/crid/8869192","DOIUrl":null,"url":null,"abstract":"<p><p><b>Background:</b> Oral exostoses, including mandibular tori, are benign bony outgrowths that can lead to functional impairments when large. Spontaneous exposure of a mandibular torus is a rare event that requires surgical intervention. <b>Case Presentation:</b> A 33-year-old male presented with bilateral mandibular tori. The right mandibular torus had spontaneously exposed, causing pain during mastication, swallowing, and phonation. Surgical removal of the exposed torus and extraction of a carious tooth were performed under local anaesthesia. <b>Conclusion:</b> The patient recovered without complications, and no recurrence of symptoms was noted during the 1-year follow-up. This case highlights the need for prompt surgical intervention in cases of spontaneous torus exposure and the importance of histological analysis.</p>","PeriodicalId":46841,"journal":{"name":"Case Reports in Dentistry","volume":"2025 ","pages":"8869192"},"PeriodicalIF":0.9000,"publicationDate":"2025-04-29","publicationTypes":"Journal Article","fieldsOfStudy":null,"isOpenAccess":false,"openAccessPdf":"https://www.ncbi.nlm.nih.gov/pmc/articles/PMC12055322/pdf/","citationCount":"0","resultStr":null,"platform":"Semanticscholar","paperid":null,"PeriodicalName":"Case Reports in Dentistry","FirstCategoryId":"1085","ListUrlMain":"https://doi.org/10.1155/crid/8869192","RegionNum":0,"RegionCategory":null,"ArticlePicture":[],"TitleCN":null,"AbstractTextCN":null,"PMCID":null,"EPubDate":"2025/1/1 0:00:00","PubModel":"eCollection","JCR":"Q4","JCRName":"DENTISTRY, ORAL SURGERY & MEDICINE","Score":null,"Total":0}
引用次数: 0

Abstract

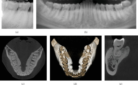
Background: Oral exostoses, including mandibular tori, are benign bony outgrowths that can lead to functional impairments when large. Spontaneous exposure of a mandibular torus is a rare event that requires surgical intervention. Case Presentation: A 33-year-old male presented with bilateral mandibular tori. The right mandibular torus had spontaneously exposed, causing pain during mastication, swallowing, and phonation. Surgical removal of the exposed torus and extraction of a carious tooth were performed under local anaesthesia. Conclusion: The patient recovered without complications, and no recurrence of symptoms was noted during the 1-year follow-up. This case highlights the need for prompt surgical intervention in cases of spontaneous torus exposure and the importance of histological analysis.

Abstract Image

Abstract Image

Abstract Image

自发性下颌骨环面外露1例及手术处理。
背景:包括下颌骨环面在内的口腔外生骨瘤是一种良性的骨外生骨瘤,当其较大时可导致功能障碍。自发暴露的下颌环面是一个罕见的事件,需要手术干预。病例介绍:一名33岁男性,表现为双侧下颌环面。右下颌环体自发暴露,在咀嚼、吞咽和发声时引起疼痛。在局部麻醉下,手术切除暴露的牙环和拔出一颗蛀牙。结论:患者康复无并发症,随访1年无症状复发。本病例强调了自发性环体暴露病例及时手术干预的必要性和组织学分析的重要性。
本文章由计算机程序翻译,如有差异,请以英文原文为准。
求助全文
约1分钟内获得全文 求助全文
来源期刊
Case Reports in Dentistry
Case Reports in Dentistry DENTISTRY, ORAL SURGERY & MEDICINE-
CiteScore
1.40
自引率
12.50%
发文量
107
审稿时长
14 weeks
期刊介绍: Case Reports in Dentistry is a peer-reviewed, Open Access journal that publishes case reports and case series in all areas of dentistry, including periodontal diseases, dental implants, oral pathology, as well as oral and maxillofacial surgery.
×
引用
GB/T 7714-2015
复制
MLA
复制
APA
复制
导出至
BibTeX EndNote RefMan NoteFirst NoteExpress
×
提示
您的信息不完整,为了账户安全,请先补充。
现在去补充
×
提示
您因"违规操作"
具体请查看互助需知
我知道了
×
提示
确定
请完成安全验证×
copy
已复制链接
快去分享给好友吧!
我知道了
右上角分享
点击右上角分享
0
联系我们:info@booksci.cn Book学术提供免费学术资源搜索服务,方便国内外学者检索中英文文献。致力于提供最便捷和优质的服务体验。 Copyright © 2023 布克学术 All rights reserved.
京ICP备2023020795号-1
ghs 京公网安备 11010802042870号
Book学术文献互助
Book学术文献互助群
群 号:604180095
Book学术官方微信