Design of ELISA-based diagnostic system for detection of enterohaemorrhagic Escherichia coli.

IF 1.7 Q4 MICROBIOLOGY
Mohammad Javad Rezaei, Maryam Eidi, Seyed Ali Mirhosseini, Rouhollah Kazemi, Mohammad Javad Motamedi, Soghra Khani, Jafar Amani
{"title":"Design of ELISA-based diagnostic system for detection of enterohaemorrhagic <i>Escherichia coli</i>.","authors":"Mohammad Javad Rezaei, Maryam Eidi, Seyed Ali Mirhosseini, Rouhollah Kazemi, Mohammad Javad Motamedi, Soghra Khani, Jafar Amani","doi":"10.18502/ijm.v17i2.18388","DOIUrl":null,"url":null,"abstract":"<p><strong>Background and objectives: </strong><i>Escherichia coli (E. coli)</i> O157:H7 is an intestinal pathogen of humans and animals, which causes serious gastrointestinal, urinary tract infection and hemolytic uremic syndrome. Connecting to the host cell is important in pathogenesis. EspA, Intimin and Tir proteins (EIT) are the most important bacterial features in the process of binding. These antigens can be very useful in detecting these bacteria. The aim of this study was to produce recombinant EspA, Intimin and Tir proteins (rEIT) to detect pathogenic <i>E. coli</i> O157:H7 by means of ELISA method.</p><p><strong>Materials and methods: </strong>The <i>eit</i> recombinant gene was expressed using IPTG in <i>E. coli</i> BL21 (DE3) and evaluated by western blotting. The purified rEIT protein was injected to rabbits and mice subcutaneously. Purified antibody was evaluated using indirect, competitive and sandwich ELISA confirming the precise detection of <i>E. coli</i> O157: H7.</p><p><strong>Results: </strong>Indirect, competitive and sandwich ELISA specifically detected <i>E. coli</i> O157:H7 and each methods had the ability to identify more than 10<sup>4</sup>, 10<sup>4</sup>, 10<sup>3</sup> bacteria. The specificity of this method was evaluated by Entroheamoragic <i>E. coli</i>, enterotoxygenic <i>E. coli, Klebsiella pneumoniae, Vibrio cholera</i> and <i>Acinetobacter</i>.</p><p><strong>Conclusion: </strong>These methods are the fastest, most accurate and cost effective methods for diagnosis of <i>E. coli</i> O157: H7, comparing to the conventional methods.</p>","PeriodicalId":14633,"journal":{"name":"Iranian Journal of Microbiology","volume":"17 2","pages":"278-286"},"PeriodicalIF":1.7000,"publicationDate":"2025-04-01","publicationTypes":"Journal Article","fieldsOfStudy":null,"isOpenAccess":false,"openAccessPdf":"https://www.ncbi.nlm.nih.gov/pmc/articles/PMC12053411/pdf/","citationCount":"0","resultStr":null,"platform":"Semanticscholar","paperid":null,"PeriodicalName":"Iranian Journal of Microbiology","FirstCategoryId":"1085","ListUrlMain":"https://doi.org/10.18502/ijm.v17i2.18388","RegionNum":0,"RegionCategory":null,"ArticlePicture":[],"TitleCN":null,"AbstractTextCN":null,"PMCID":null,"EPubDate":"","PubModel":"","JCR":"Q4","JCRName":"MICROBIOLOGY","Score":null,"Total":0}
引用次数: 0

Abstract

Background and objectives: Escherichia coli (E. coli) O157:H7 is an intestinal pathogen of humans and animals, which causes serious gastrointestinal, urinary tract infection and hemolytic uremic syndrome. Connecting to the host cell is important in pathogenesis. EspA, Intimin and Tir proteins (EIT) are the most important bacterial features in the process of binding. These antigens can be very useful in detecting these bacteria. The aim of this study was to produce recombinant EspA, Intimin and Tir proteins (rEIT) to detect pathogenic E. coli O157:H7 by means of ELISA method.

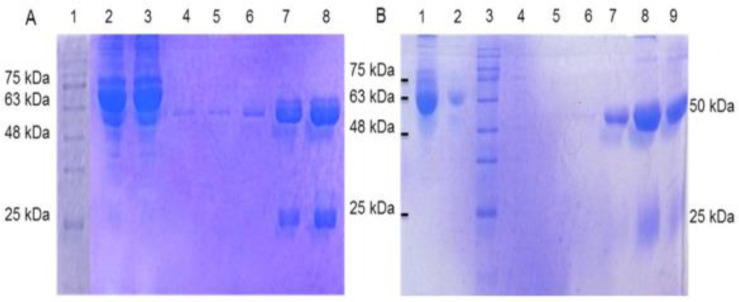
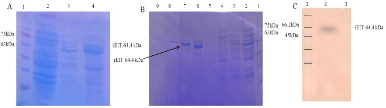
Materials and methods: The eit recombinant gene was expressed using IPTG in E. coli BL21 (DE3) and evaluated by western blotting. The purified rEIT protein was injected to rabbits and mice subcutaneously. Purified antibody was evaluated using indirect, competitive and sandwich ELISA confirming the precise detection of E. coli O157: H7.

Results: Indirect, competitive and sandwich ELISA specifically detected E. coli O157:H7 and each methods had the ability to identify more than 104, 104, 103 bacteria. The specificity of this method was evaluated by Entroheamoragic E. coli, enterotoxygenic E. coli, Klebsiella pneumoniae, Vibrio cholera and Acinetobacter.

Conclusion: These methods are the fastest, most accurate and cost effective methods for diagnosis of E. coli O157: H7, comparing to the conventional methods.

Abstract Image

Abstract Image

Abstract Image

肠出血性大肠杆菌elisa诊断系统的设计。
背景与目的:大肠杆菌O157:H7是一种人类和动物肠道病原体,可引起严重的胃肠道、尿路感染和溶血性尿毒症综合征。与宿主细胞的连接在发病机制中很重要。EspA、Intimin和Tir蛋白(EIT)是细菌结合过程中最重要的特征。这些抗原在检测这些细菌时非常有用。本研究的目的是利用酶联免疫吸附法制备重组EspA、Intimin和Tir蛋白(rEIT),用于检测致病性大肠杆菌O157:H7。材料与方法:利用IPTG在大肠杆菌BL21 (DE3)中表达eit重组基因,并进行western blotting检测。纯化后的rEIT蛋白分别皮下注射家兔和小鼠。采用间接、竞争和夹心ELISA法对纯化抗体进行检测,证实了O157: H7大肠杆菌的准确检测。结果:间接ELISA法、竞争ELISA法和夹心ELISA法特异性检测大肠杆菌O157:H7,分别能分别鉴定出104,104,103个细菌。采用致熵性大肠杆菌、肠毒性大肠杆菌、肺炎克雷伯菌、霍乱弧菌和不动杆菌对该方法的特异性进行了评价。结论:与常规方法相比,这些方法是诊断大肠杆菌O157: H7最快、最准确、最经济的方法。
本文章由计算机程序翻译,如有差异,请以英文原文为准。
求助全文
约1分钟内获得全文 求助全文
来源期刊
CiteScore
2.40
自引率
7.10%
发文量
96
审稿时长
12 weeks
期刊介绍: The Iranian Journal of Microbiology (IJM) is an international, multi-disciplinary, peer-reviewed journal that provides rapid publication of the most advanced scientific research in the areas of basic and applied research on bacteria and other micro-organisms, including bacteria, viruses, yeasts, fungi, microalgae, and protozoa concerning the development of tools for diagnosis and disease control, epidemiology, antimicrobial agents, clinical microbiology, immunology, Genetics, Genomics and Molecular Biology. Contributions may be in the form of original research papers, review articles, short communications, case reports, technical reports, and letters to the Editor. Research findings must be novel and the original data must be available for review by the Editors, if necessary. Studies that are preliminary, of weak originality or merely descriptive as well as negative results are not appropriate for the journal. Papers considered for publication must be unpublished work (except in an abstract form) that is not under consideration for publication anywhere else, and all co-authors should have agreed to the submission. Manuscripts should be written in English.
×
引用
GB/T 7714-2015
复制
MLA
复制
APA
复制
导出至
BibTeX EndNote RefMan NoteFirst NoteExpress
×
提示
您的信息不完整,为了账户安全,请先补充。
现在去补充
×
提示
您因"违规操作"
具体请查看互助需知
我知道了
×
提示
确定
请完成安全验证×
copy
已复制链接
快去分享给好友吧!
我知道了
右上角分享
点击右上角分享
0
联系我们:info@booksci.cn Book学术提供免费学术资源搜索服务,方便国内外学者检索中英文文献。致力于提供最便捷和优质的服务体验。 Copyright © 2023 布克学术 All rights reserved.
京ICP备2023020795号-1
ghs 京公网安备 11010802042870号
Book学术文献互助
Book学术文献互助群
群 号:604180095
Book学术官方微信