Intestinal Vicarious Contrast Medium Excretion on Delayed Computed Tomography in Dogs with Protein-Losing Enteropathy.

IF 1.5 2区 农林科学 Q2 VETERINARY SCIENCES
Yujin Lee, Hojung Choi, Young-Won Lee, Kija Lee, Sooyoung Choi
{"title":"Intestinal Vicarious Contrast Medium Excretion on Delayed Computed Tomography in Dogs with Protein-Losing Enteropathy.","authors":"Yujin Lee, Hojung Choi, Young-Won Lee, Kija Lee, Sooyoung Choi","doi":"10.1111/vru.70039","DOIUrl":null,"url":null,"abstract":"<p><p>The intestinal vicarious contrast medium excretion (VCME) can occur in dogs with protein-losing enteropathy (PLE), and studies for intestinal VCME in dogs are lacking. This retrospective case-control study aimed to assess whether intestinal VCME could be observed on delayed CT in dogs with and without PLE. Thirty dogs who underwent abdominal delayed CT in the 10 min-delayed phase following the injection of contrast medium were enrolled. Six dogs were classified into the group with enteropathy based on imaging findings or abnormal results from cytology or histology. The six dogs had concurrent hypoalbuminemia and were diagnosed with presumed PLE. Five of the six dogs in the group with enteropathy had intestinal VCME. In the 24 dogs of the group without enteropathy, intestinal VCME was not detected on delayed CT, and VCME to the cisterna chyli was observed in one dog. The frequency of intestinal VCME was significantly higher in the group with enteropathy than in the group without enteropathy (p < .001). The presence of intestinal VCME on the delayed CT can be observed in dogs with PLE, and it can be used as noninvasive additional supportive evidence of canine PLE prior to histopathologic evaluation.</p>","PeriodicalId":23581,"journal":{"name":"Veterinary Radiology & Ultrasound","volume":"66 3","pages":"e70039"},"PeriodicalIF":1.5000,"publicationDate":"2025-05-01","publicationTypes":"Journal Article","fieldsOfStudy":null,"isOpenAccess":false,"openAccessPdf":"https://www.ncbi.nlm.nih.gov/pmc/articles/PMC12059201/pdf/","citationCount":"0","resultStr":null,"platform":"Semanticscholar","paperid":null,"PeriodicalName":"Veterinary Radiology & Ultrasound","FirstCategoryId":"97","ListUrlMain":"https://doi.org/10.1111/vru.70039","RegionNum":2,"RegionCategory":"农林科学","ArticlePicture":[],"TitleCN":null,"AbstractTextCN":null,"PMCID":null,"EPubDate":"","PubModel":"","JCR":"Q2","JCRName":"VETERINARY SCIENCES","Score":null,"Total":0}
引用次数: 0

Abstract

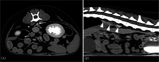
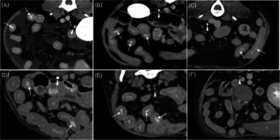
The intestinal vicarious contrast medium excretion (VCME) can occur in dogs with protein-losing enteropathy (PLE), and studies for intestinal VCME in dogs are lacking. This retrospective case-control study aimed to assess whether intestinal VCME could be observed on delayed CT in dogs with and without PLE. Thirty dogs who underwent abdominal delayed CT in the 10 min-delayed phase following the injection of contrast medium were enrolled. Six dogs were classified into the group with enteropathy based on imaging findings or abnormal results from cytology or histology. The six dogs had concurrent hypoalbuminemia and were diagnosed with presumed PLE. Five of the six dogs in the group with enteropathy had intestinal VCME. In the 24 dogs of the group without enteropathy, intestinal VCME was not detected on delayed CT, and VCME to the cisterna chyli was observed in one dog. The frequency of intestinal VCME was significantly higher in the group with enteropathy than in the group without enteropathy (p < .001). The presence of intestinal VCME on the delayed CT can be observed in dogs with PLE, and it can be used as noninvasive additional supportive evidence of canine PLE prior to histopathologic evaluation.

Abstract Image

Abstract Image

肠替代造影剂排泄对失蛋白性肠病犬的延迟计算机断层扫描。
肠内替代造影剂排泄(VCME)可发生在失蛋白性肠病(PLE)犬中,目前缺乏对犬肠内替代造影剂排泄的研究。本回顾性病例对照研究旨在评估是否可以在有和没有PLE的狗的延迟CT上观察到肠道VCME。30只犬在注射造影剂后的10 min延迟期接受腹部延迟CT检查。根据影像学表现或细胞学或组织学异常结果将6只狗分为肠病组。这6只狗同时患有低白蛋白血症,并被诊断为假定的PLE。肠病组的6只狗中有5只出现了肠道VCME。无肠病组24只犬,延迟CT未检出肠道VCME, 1只犬见乳糜池VCME。肠病组VCME发生频率明显高于无肠病组(p
本文章由计算机程序翻译,如有差异,请以英文原文为准。
求助全文
约1分钟内获得全文 求助全文
来源期刊
Veterinary Radiology & Ultrasound
Veterinary Radiology & Ultrasound 农林科学-兽医学
CiteScore
2.40
自引率
17.60%
发文量
133
审稿时长
8-16 weeks
期刊介绍: Veterinary Radiology & Ultrasound is a bimonthly, international, peer-reviewed, research journal devoted to the fields of veterinary diagnostic imaging and radiation oncology. Established in 1958, it is owned by the American College of Veterinary Radiology and is also the official journal for six affiliate veterinary organizations. Veterinary Radiology & Ultrasound is represented on the International Committee of Medical Journal Editors, World Association of Medical Editors, and Committee on Publication Ethics. The mission of Veterinary Radiology & Ultrasound is to serve as a leading resource for high quality articles that advance scientific knowledge and standards of clinical practice in the areas of veterinary diagnostic radiology, computed tomography, magnetic resonance imaging, ultrasonography, nuclear imaging, radiation oncology, and interventional radiology. Manuscript types include original investigations, imaging diagnosis reports, review articles, editorials and letters to the Editor. Acceptance criteria include originality, significance, quality, reader interest, composition and adherence to author guidelines.
×
引用
GB/T 7714-2015
复制
MLA
复制
APA
复制
导出至
BibTeX EndNote RefMan NoteFirst NoteExpress
×
提示
您的信息不完整,为了账户安全,请先补充。
现在去补充
×
提示
您因"违规操作"
具体请查看互助需知
我知道了
×
提示
确定
请完成安全验证×
copy
已复制链接
快去分享给好友吧!
我知道了
右上角分享
点击右上角分享
0
联系我们:info@booksci.cn Book学术提供免费学术资源搜索服务,方便国内外学者检索中英文文献。致力于提供最便捷和优质的服务体验。 Copyright © 2023 布克学术 All rights reserved.
京ICP备2023020795号-1
ghs 京公网安备 11010802042870号
Book学术文献互助
Book学术文献互助群
群 号:604180095
Book学术官方微信