Canine laryngotracheal plasma cell tumors: Ten cases and literature review.

IF 1.7 2区 农林科学 Q2 PATHOLOGY
Veterinary Pathology Pub Date : 2025-09-01 Epub Date: 2025-04-11 DOI:10.1177/03009858251331115
Kathleen R Mulka, Deborah Gillette, Amy C Durham, Elizabeth A Mauldin
{"title":"Canine laryngotracheal plasma cell tumors: Ten cases and literature review.","authors":"Kathleen R Mulka, Deborah Gillette, Amy C Durham, Elizabeth A Mauldin","doi":"10.1177/03009858251331115","DOIUrl":null,"url":null,"abstract":"<p><p>Canine extramedullary plasma cell tumors (EMPs) most commonly arise in the skin, oral cavity, rectum, and colon. This retrospective study describes the histopathological and immunohistochemical characteristics and associated clinical signs and outcomes of laryngeal and tracheal EMPs in dogs. Five tracheal and 5 laryngeal EMPs were diagnosed at the Penn Vet Diagnostic Laboratory. Clinical information was obtained via submission forms and follow-up questionnaires. All dogs were male (9 castrated), 7 to 15 years old, and of different breeds. Neoplasms were composed of well-differentiated (n = 6) or moderately differentiated (n = 4) neoplastic plasma cells arranged in sheets, cords, and packets. All neoplasms labeled positively for MUM-1, negatively for PAX5, and were variably CD20- and CD79b-positive. There was no recurrence or disease progression 2 months to 7 years post biopsy in 6/9 cases. Results suggest that surgical resection can result in positive outcomes. Further studies are needed to identify factors leading to progression of this disease.</p>","PeriodicalId":23513,"journal":{"name":"Veterinary Pathology","volume":" ","pages":"692-696"},"PeriodicalIF":1.7000,"publicationDate":"2025-09-01","publicationTypes":"Journal Article","fieldsOfStudy":null,"isOpenAccess":false,"openAccessPdf":"https://www.ncbi.nlm.nih.gov/pmc/articles/PMC12314212/pdf/","citationCount":"0","resultStr":null,"platform":"Semanticscholar","paperid":null,"PeriodicalName":"Veterinary Pathology","FirstCategoryId":"97","ListUrlMain":"https://doi.org/10.1177/03009858251331115","RegionNum":2,"RegionCategory":"农林科学","ArticlePicture":[],"TitleCN":null,"AbstractTextCN":null,"PMCID":null,"EPubDate":"2025/4/11 0:00:00","PubModel":"Epub","JCR":"Q2","JCRName":"PATHOLOGY","Score":null,"Total":0}
引用次数: 0

Abstract

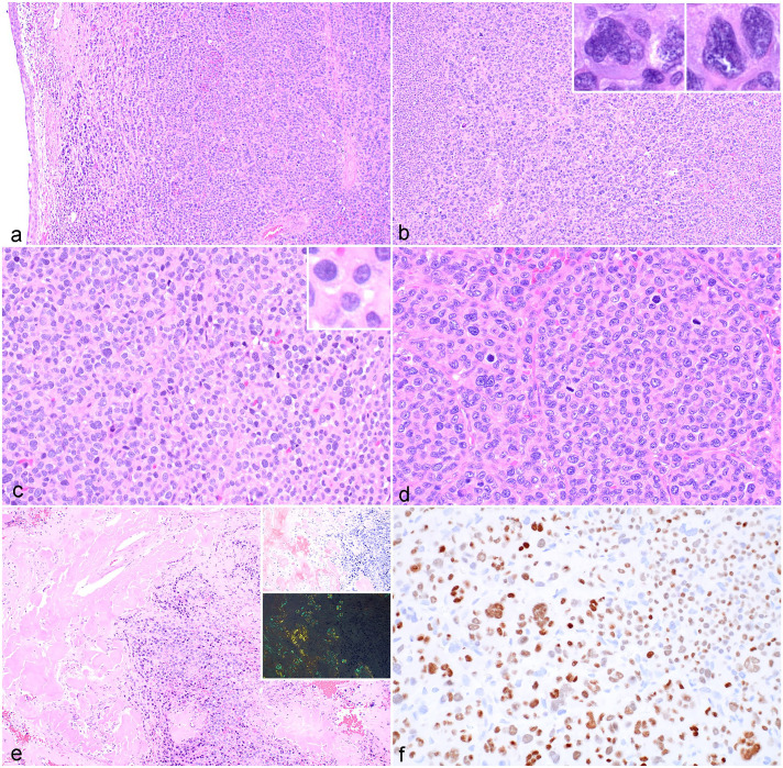
Canine extramedullary plasma cell tumors (EMPs) most commonly arise in the skin, oral cavity, rectum, and colon. This retrospective study describes the histopathological and immunohistochemical characteristics and associated clinical signs and outcomes of laryngeal and tracheal EMPs in dogs. Five tracheal and 5 laryngeal EMPs were diagnosed at the Penn Vet Diagnostic Laboratory. Clinical information was obtained via submission forms and follow-up questionnaires. All dogs were male (9 castrated), 7 to 15 years old, and of different breeds. Neoplasms were composed of well-differentiated (n = 6) or moderately differentiated (n = 4) neoplastic plasma cells arranged in sheets, cords, and packets. All neoplasms labeled positively for MUM-1, negatively for PAX5, and were variably CD20- and CD79b-positive. There was no recurrence or disease progression 2 months to 7 years post biopsy in 6/9 cases. Results suggest that surgical resection can result in positive outcomes. Further studies are needed to identify factors leading to progression of this disease.

Abstract Image

Abstract Image

犬喉气管浆细胞瘤10例并文献复习。
犬髓外浆细胞瘤(EMPs)最常见于皮肤、口腔、直肠和结肠。本回顾性研究描述了犬喉部和气管emp的组织病理学和免疫组织化学特征以及相关临床症状和结果。在宾州兽医诊断实验室诊断出5例气管emp和5例喉部emp。通过提交表格和随访问卷获得临床信息。所有狗均为雄性(9只被阉割),年龄在7至15岁之间,品种不同。肿瘤由高分化(n = 6)或中分化(n = 4)肿瘤浆细胞组成,呈片状、索状和包状排列。所有肿瘤的MUM-1标记为阳性,PAX5标记为阴性,CD20-和cd79b标记为阳性。6/9例活检后2个月至7年无复发或疾病进展。结果表明,手术切除可获得积极的结果。需要进一步的研究来确定导致这种疾病进展的因素。
本文章由计算机程序翻译,如有差异,请以英文原文为准。
求助全文
约1分钟内获得全文 求助全文
来源期刊
Veterinary Pathology
Veterinary Pathology 农林科学-病理学
CiteScore
4.70
自引率
8.30%
发文量
99
审稿时长
2 months
期刊介绍: Veterinary Pathology (VET) is the premier international publication of basic and applied research involving domestic, laboratory, wildlife, marine and zoo animals, and poultry. Bridging the divide between natural and experimental diseases, the journal details the diagnostic investigations of diseases of animals; reports experimental studies on mechanisms of specific processes; provides unique insights into animal models of human disease; and presents studies on environmental and pharmaceutical hazards.
×
引用
GB/T 7714-2015
复制
MLA
复制
APA
复制
导出至
BibTeX EndNote RefMan NoteFirst NoteExpress
×
提示
您的信息不完整,为了账户安全,请先补充。
现在去补充
×
提示
您因"违规操作"
具体请查看互助需知
我知道了
×
提示
确定
请完成安全验证×
copy
已复制链接
快去分享给好友吧!
我知道了
右上角分享
点击右上角分享
0
联系我们:info@booksci.cn Book学术提供免费学术资源搜索服务,方便国内外学者检索中英文文献。致力于提供最便捷和优质的服务体验。 Copyright © 2023 布克学术 All rights reserved.
京ICP备2023020795号-1
ghs 京公网安备 11010802042870号
Book学术文献互助
Book学术文献互助群
群 号:604180095
Book学术官方微信