Gastrointestinal Bleeding Unmasking Gastric Metastases From a Primary Breast Malignancy: A Case Report.

IF 0.5 Q4 GASTROENTEROLOGY & HEPATOLOGY
Case Reports in Gastrointestinal Medicine Pub Date : 2025-05-03 eCollection Date: 2025-01-01 DOI:10.1155/crgm/2763114
Thilini Delungahawatta, Richard Hum, Stephanie M Woo, Rashmi Samdani, Mark J Real
{"title":"Gastrointestinal Bleeding Unmasking Gastric Metastases From a Primary Breast Malignancy: A Case Report.","authors":"Thilini Delungahawatta, Richard Hum, Stephanie M Woo, Rashmi Samdani, Mark J Real","doi":"10.1155/crgm/2763114","DOIUrl":null,"url":null,"abstract":"<p><p>Metastases to the gastrointestinal tract from primary breast malignancies are rare. Acute gastrointestinal bleeding in patients with history of breast cancer, however, should raise clinical suspicion and warrant further investigation for metastatic disease involving the gastrointestinal tract. We report a case of a 74-year-old female with metastatic breast cancer and provoked thromboembolic events on anticoagulation, who was found to have poorly cohesive gastric carcinoma with immunohistochemistry consistent with primary breast malignancy, after presenting with new-onset melena. Use of anticoagulation may have exacerbated bleeding prompting endoscopic examination. Biopsy and histologic assessment are needed for definitive diagnosis and timely management.</p>","PeriodicalId":45645,"journal":{"name":"Case Reports in Gastrointestinal Medicine","volume":"2025 ","pages":"2763114"},"PeriodicalIF":0.5000,"publicationDate":"2025-05-03","publicationTypes":"Journal Article","fieldsOfStudy":null,"isOpenAccess":false,"openAccessPdf":"https://www.ncbi.nlm.nih.gov/pmc/articles/PMC12065968/pdf/","citationCount":"0","resultStr":null,"platform":"Semanticscholar","paperid":null,"PeriodicalName":"Case Reports in Gastrointestinal Medicine","FirstCategoryId":"1085","ListUrlMain":"https://doi.org/10.1155/crgm/2763114","RegionNum":0,"RegionCategory":null,"ArticlePicture":[],"TitleCN":null,"AbstractTextCN":null,"PMCID":null,"EPubDate":"2025/1/1 0:00:00","PubModel":"eCollection","JCR":"Q4","JCRName":"GASTROENTEROLOGY & HEPATOLOGY","Score":null,"Total":0}
引用次数: 0

Abstract

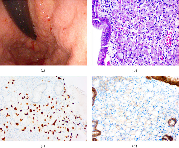
Metastases to the gastrointestinal tract from primary breast malignancies are rare. Acute gastrointestinal bleeding in patients with history of breast cancer, however, should raise clinical suspicion and warrant further investigation for metastatic disease involving the gastrointestinal tract. We report a case of a 74-year-old female with metastatic breast cancer and provoked thromboembolic events on anticoagulation, who was found to have poorly cohesive gastric carcinoma with immunohistochemistry consistent with primary breast malignancy, after presenting with new-onset melena. Use of anticoagulation may have exacerbated bleeding prompting endoscopic examination. Biopsy and histologic assessment are needed for definitive diagnosis and timely management.

Abstract Image

胃肠出血揭示原发性乳腺恶性肿瘤胃转移:1例报告。
原发性乳腺恶性肿瘤转移到胃肠道是罕见的。然而,有乳腺癌病史的患者的急性消化道出血应引起临床怀疑,并应进一步调查是否有胃肠道转移性疾病。我们报告一例74岁的女性转移性乳腺癌患者,抗凝治疗引发血栓栓塞事件,她在出现新发黑黑后,被发现患有黏结性差的胃癌,免疫组织化学与原发性乳腺恶性肿瘤一致。使用抗凝剂可能加剧出血,促使内镜检查。活检和组织学评估是明确诊断和及时处理的必要条件。
本文章由计算机程序翻译,如有差异,请以英文原文为准。
求助全文
约1分钟内获得全文 求助全文
来源期刊
Case Reports in Gastrointestinal Medicine
Case Reports in Gastrointestinal Medicine GASTROENTEROLOGY & HEPATOLOGY-
自引率
0.00%
发文量
33
审稿时长
14 weeks
×
引用
GB/T 7714-2015
复制
MLA
复制
APA
复制
导出至
BibTeX EndNote RefMan NoteFirst NoteExpress
×
提示
您的信息不完整,为了账户安全,请先补充。
现在去补充
×
提示
您因"违规操作"
具体请查看互助需知
我知道了
×
提示
确定
请完成安全验证×
copy
已复制链接
快去分享给好友吧!
我知道了
右上角分享
点击右上角分享
0
联系我们:info@booksci.cn Book学术提供免费学术资源搜索服务,方便国内外学者检索中英文文献。致力于提供最便捷和优质的服务体验。 Copyright © 2023 布克学术 All rights reserved.
京ICP备2023020795号-1
ghs 京公网安备 11010802042870号
Book学术文献互助
Book学术文献互助群
群 号:604180095
Book学术官方微信