Renal Cell Carcinoma Masquerading as Pyonephrosis - A Case Report of A Rare Presentation.

IF 1.9 Q3 ONCOLOGY
Journal of Kidney Cancer and VHL Pub Date : 2025-04-03 eCollection Date: 2025-01-01 DOI:10.15586/jkc.v12i2.330
Vishnu Pratap, Prakash Pawar, Ajit Sawant
{"title":"Renal Cell Carcinoma Masquerading as Pyonephrosis - A Case Report of A Rare Presentation.","authors":"Vishnu Pratap, Prakash Pawar, Ajit Sawant","doi":"10.15586/jkc.v12i2.330","DOIUrl":null,"url":null,"abstract":"<p><p>We describe here an atypical case of pyonephrosis which on further evaluation turned out to be a renal cell carcinoma (RCC). The clinical presentation of the patient was that of an infective etiology. However, the renal mass associated with renal vein thrombus and lung metastasis was later diagnosed based on the clinical deterioration of the patient even after insertion of percutaneous nephrostomy. In this case, an underlying renal cancer was probably complicated secondarily leading to pyonephrosis which was the initial presenting manifestation which led to a delay in diagnosis. Pyonephrosis is usually associated with Xanthogranulomatous pyelonephritis. Association of RCC with pyonephrosis is extremely rare and hence seldom reported. Our patient later on underwent radical nephrectomy and the histopathology report was suggestive of RCC. We have described here the clinical manifestations and diagnostic issues of such a case. This case provides evidence that RCC should be kept as one of the differentials in such patients.</p>","PeriodicalId":44291,"journal":{"name":"Journal of Kidney Cancer and VHL","volume":"12 2","pages":"1-4"},"PeriodicalIF":1.9000,"publicationDate":"2025-04-03","publicationTypes":"Journal Article","fieldsOfStudy":null,"isOpenAccess":false,"openAccessPdf":"https://www.ncbi.nlm.nih.gov/pmc/articles/PMC11976670/pdf/","citationCount":"0","resultStr":null,"platform":"Semanticscholar","paperid":null,"PeriodicalName":"Journal of Kidney Cancer and VHL","FirstCategoryId":"1085","ListUrlMain":"https://doi.org/10.15586/jkc.v12i2.330","RegionNum":0,"RegionCategory":null,"ArticlePicture":[],"TitleCN":null,"AbstractTextCN":null,"PMCID":null,"EPubDate":"2025/1/1 0:00:00","PubModel":"eCollection","JCR":"Q3","JCRName":"ONCOLOGY","Score":null,"Total":0}
引用次数: 0

Abstract

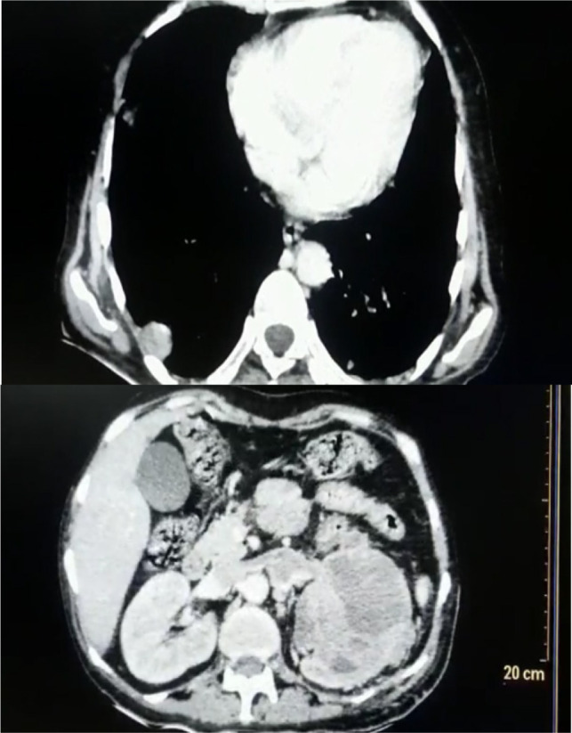
We describe here an atypical case of pyonephrosis which on further evaluation turned out to be a renal cell carcinoma (RCC). The clinical presentation of the patient was that of an infective etiology. However, the renal mass associated with renal vein thrombus and lung metastasis was later diagnosed based on the clinical deterioration of the patient even after insertion of percutaneous nephrostomy. In this case, an underlying renal cancer was probably complicated secondarily leading to pyonephrosis which was the initial presenting manifestation which led to a delay in diagnosis. Pyonephrosis is usually associated with Xanthogranulomatous pyelonephritis. Association of RCC with pyonephrosis is extremely rare and hence seldom reported. Our patient later on underwent radical nephrectomy and the histopathology report was suggestive of RCC. We have described here the clinical manifestations and diagnostic issues of such a case. This case provides evidence that RCC should be kept as one of the differentials in such patients.

Abstract Image

Abstract Image

Abstract Image

肾细胞癌伪装成肾盂肾脏病-一例罕见的表现报告。
我们在此报告一个不典型的肾盂肾炎病例,经进一步评估证实为肾细胞癌。该患者的临床表现为感染性病因。然而,肾肿块合并肾静脉血栓和肺转移,即使在经皮肾造口术后,仍根据患者的临床恶化情况诊断。在这个病例中,潜在的肾癌可能继发复杂,导致肾盂肾炎,这是最初的表现,导致诊断延误。肾盂肾炎通常伴有黄色肉芽肿性肾盂肾炎。肾小细胞癌与肾盂肾脏病的关联极为罕见,因此很少报道。我们的病人后来接受了根治性肾切除术,组织病理学报告提示肾细胞癌。我们在这里描述了这种情况的临床表现和诊断问题。本病例提供的证据表明,在这类患者中,应将RCC作为鉴别之一。
本文章由计算机程序翻译,如有差异,请以英文原文为准。
求助全文
约1分钟内获得全文 求助全文
来源期刊
自引率
6.20%
发文量
22
审稿时长
4 weeks
×
引用
GB/T 7714-2015
复制
MLA
复制
APA
复制
导出至
BibTeX EndNote RefMan NoteFirst NoteExpress
×
提示
您的信息不完整,为了账户安全,请先补充。
现在去补充
×
提示
您因"违规操作"
具体请查看互助需知
我知道了
×
提示
确定
请完成安全验证×
copy
已复制链接
快去分享给好友吧!
我知道了
右上角分享
点击右上角分享
0
联系我们:info@booksci.cn Book学术提供免费学术资源搜索服务,方便国内外学者检索中英文文献。致力于提供最便捷和优质的服务体验。 Copyright © 2023 布克学术 All rights reserved.
京ICP备2023020795号-1
ghs 京公网安备 11010802042870号
Book学术文献互助
Book学术文献互助群
群 号:604180095
Book学术官方微信