Impact of immobilization period and anterior capsular injury on flexion contracture in distal humerus coronal shear fractures.

IF 1.7 Q2 ORTHOPEDICS
Clinics in Shoulder and Elbow Pub Date : 2025-06-01 Epub Date: 2025-05-08 DOI:10.5397/cise.2024.00955
Ji-Ho Lee, Christopher W Jenkins, Gyeong Cheon Park, Kee-Baek Ahn, In Hyeok Rhyou
{"title":"Impact of immobilization period and anterior capsular injury on flexion contracture in distal humerus coronal shear fractures.","authors":"Ji-Ho Lee, Christopher W Jenkins, Gyeong Cheon Park, Kee-Baek Ahn, In Hyeok Rhyou","doi":"10.5397/cise.2024.00955","DOIUrl":null,"url":null,"abstract":"<p><strong>Background: </strong>Simple elbow dislocations exhibit residual flexion contracture after long-term immobilization. However, the factors affecting flexion contracture after fixation of distal humerus coronal shear (DHCS) fracture remain unclear.</p><p><strong>Methods: </strong>This study enrolled 21 elbows in DHCS fracture (group A) from 2007 to 2017 and 30 elbows in elbow dislocation (group B) in 2020, all of whom attended a single trauma center. Group A was divided by immobilization period into less than 3 weeks (A1) and more than 3 weeks (A2). Injury patterns of the anterior capsule were divided into proximal stripping, middle displaced, and distal avulsion on magnetic resonance imaging (MRI) scans. Range of motion and functional outcomes were compared between groups A1 and A2.</p><p><strong>Results: </strong>All patients in group A exhibited proximal stripping of the anterior capsule, while group B showed middle displaced (37%) and distal avulsion (63%) injuries (P<0.001). The mean flexion contracture was 2° in A1 and 8° in A2 (P=0.139), demonstrating no significant difference by immobilization duration. Similarly, the groups had no significant differences in Mayo Elbow Performance Score (MEPS) or Disabilities of the Arm, Shoulder and Hand (DASH) scores.</p><p><strong>Conclusions: </strong>Flexion contracture following elbow trauma appears to be more closely related to the pattern of anterior capsule injury than the duration of immobilization. Early identification of anterior capsule injury patterns via MRI could inform treatment decisions, particularly in cases where stable surgical fixation is challenging. Prolonged immobilization may be a viable adjuvant treatment option in such cases. Level of evidence: III.</p>","PeriodicalId":33981,"journal":{"name":"Clinics in Shoulder and Elbow","volume":" ","pages":"187-195"},"PeriodicalIF":1.7000,"publicationDate":"2025-06-01","publicationTypes":"Journal Article","fieldsOfStudy":null,"isOpenAccess":false,"openAccessPdf":"https://www.ncbi.nlm.nih.gov/pmc/articles/PMC12151643/pdf/","citationCount":"0","resultStr":null,"platform":"Semanticscholar","paperid":null,"PeriodicalName":"Clinics in Shoulder and Elbow","FirstCategoryId":"1085","ListUrlMain":"https://doi.org/10.5397/cise.2024.00955","RegionNum":0,"RegionCategory":null,"ArticlePicture":[],"TitleCN":null,"AbstractTextCN":null,"PMCID":null,"EPubDate":"2025/5/8 0:00:00","PubModel":"Epub","JCR":"Q2","JCRName":"ORTHOPEDICS","Score":null,"Total":0}
引用次数: 0

Abstract

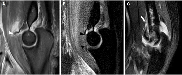
Background: Simple elbow dislocations exhibit residual flexion contracture after long-term immobilization. However, the factors affecting flexion contracture after fixation of distal humerus coronal shear (DHCS) fracture remain unclear.

Methods: This study enrolled 21 elbows in DHCS fracture (group A) from 2007 to 2017 and 30 elbows in elbow dislocation (group B) in 2020, all of whom attended a single trauma center. Group A was divided by immobilization period into less than 3 weeks (A1) and more than 3 weeks (A2). Injury patterns of the anterior capsule were divided into proximal stripping, middle displaced, and distal avulsion on magnetic resonance imaging (MRI) scans. Range of motion and functional outcomes were compared between groups A1 and A2.

Results: All patients in group A exhibited proximal stripping of the anterior capsule, while group B showed middle displaced (37%) and distal avulsion (63%) injuries (P<0.001). The mean flexion contracture was 2° in A1 and 8° in A2 (P=0.139), demonstrating no significant difference by immobilization duration. Similarly, the groups had no significant differences in Mayo Elbow Performance Score (MEPS) or Disabilities of the Arm, Shoulder and Hand (DASH) scores.

Conclusions: Flexion contracture following elbow trauma appears to be more closely related to the pattern of anterior capsule injury than the duration of immobilization. Early identification of anterior capsule injury patterns via MRI could inform treatment decisions, particularly in cases where stable surgical fixation is challenging. Prolonged immobilization may be a viable adjuvant treatment option in such cases. Level of evidence: III.

Abstract Image

Abstract Image

固定时间和前囊损伤对肱骨远端冠状面剪力骨折屈曲挛缩的影响。
背景:单纯性肘关节脱位在长期固定后表现为残余屈曲挛缩。然而,影响肱骨远端冠状面剪切骨折(DHCS)固定后屈曲挛缩的因素尚不清楚。方法:本研究纳入2007 - 2017年DHCS骨折患者21例(A组)和2020年肘关节脱位患者30例(B组),均在同一创伤中心就诊。A组按固定时间分为小于3周(A1)和大于3周(A2)。在磁共振成像(MRI)扫描上,前囊损伤类型分为近端剥离、中间移位和远端撕脱。比较A1组和A2组的活动范围和功能结局。结果:A组所有患者均表现为前囊近端剥离,而B组均表现为中端移位(37%)和远端撕脱(63%)损伤。结论:肘关节创伤后屈曲挛缩与前囊损伤模式的关系比固定时间的关系更密切。通过MRI早期识别前囊损伤模式可以为治疗决策提供信息,特别是在稳定手术固定具有挑战性的情况下。在这种情况下,长期固定可能是一种可行的辅助治疗选择。证据水平:III。
本文章由计算机程序翻译,如有差异,请以英文原文为准。
求助全文
约1分钟内获得全文 求助全文
来源期刊
CiteScore
0.30
自引率
0.00%
发文量
55
审稿时长
15 weeks
×
引用
GB/T 7714-2015
复制
MLA
复制
APA
复制
导出至
BibTeX EndNote RefMan NoteFirst NoteExpress
×
提示
您的信息不完整,为了账户安全,请先补充。
现在去补充
×
提示
您因"违规操作"
具体请查看互助需知
我知道了
×
提示
确定
请完成安全验证×
copy
已复制链接
快去分享给好友吧!
我知道了
右上角分享
点击右上角分享
0
联系我们:info@booksci.cn Book学术提供免费学术资源搜索服务,方便国内外学者检索中英文文献。致力于提供最便捷和优质的服务体验。 Copyright © 2023 布克学术 All rights reserved.
京ICP备2023020795号-1
ghs 京公网安备 11010802042870号
Book学术文献互助
Book学术文献互助群
群 号:604180095
Book学术官方微信