A Rare Case of Scleroderma Renal Crisis.

IF 0.8 Q3 MEDICINE, GENERAL & INTERNAL
Ariel Ahl, Harendra Ipalawatte, Saif Ghias, Arian Gower
{"title":"A Rare Case of Scleroderma Renal Crisis.","authors":"Ariel Ahl, Harendra Ipalawatte, Saif Ghias, Arian Gower","doi":"10.1177/23247096251336565","DOIUrl":null,"url":null,"abstract":"<p><p>Scleroderma renal crisis is a rare, life-threatening complication of systemic sclerosis. It is characterized by pronounced hypertension, acute kidney injury, and thrombotic microangiopathy. Although its prevalence has decreased over the last decade, and death rates have declined since the introduction of treatment with Angiotensin converting enzyme (ACE)-inhibitors, it remains a challenge due to lack of prevention and rapid progression despite intervention in those who develop renal crisis. We present a 46-year-old female with history of rheumatoid arthritis and scleroderma who presented to the Emergency Department (ED) with complaints of a severe headache associated with nausea and vomiting that started earlier in the day. Patient presented with a blood pressure of 180/103 that did not improve with use of anti-hypertensive medications. Labs were remarkable for anemia and decreased renal function. A CT of the abdomen and pelvis without contrast demonstrated distention of distal esophagus with possible underlying esophageal dysmotility due to degree of distention and dependent areas of tractional bronchiectasis in the bilateral lower lobes that can be seen in the setting of early interstitial lung disease. Treatment with an ACE-inhibitor was initiated, with improvement in blood pressure and resolution of headache. This case demonstrates another rare case and illustrates the importance of rapid recognition and treatment.</p>","PeriodicalId":16198,"journal":{"name":"Journal of investigative medicine high impact case reports","volume":"13 ","pages":"23247096251336565"},"PeriodicalIF":0.8000,"publicationDate":"2025-01-01","publicationTypes":"Journal Article","fieldsOfStudy":null,"isOpenAccess":false,"openAccessPdf":"https://www.ncbi.nlm.nih.gov/pmc/articles/PMC12035258/pdf/","citationCount":"0","resultStr":null,"platform":"Semanticscholar","paperid":null,"PeriodicalName":"Journal of investigative medicine high impact case reports","FirstCategoryId":"1085","ListUrlMain":"https://doi.org/10.1177/23247096251336565","RegionNum":0,"RegionCategory":null,"ArticlePicture":[],"TitleCN":null,"AbstractTextCN":null,"PMCID":null,"EPubDate":"2025/4/25 0:00:00","PubModel":"Epub","JCR":"Q3","JCRName":"MEDICINE, GENERAL & INTERNAL","Score":null,"Total":0}
引用次数: 0

Abstract

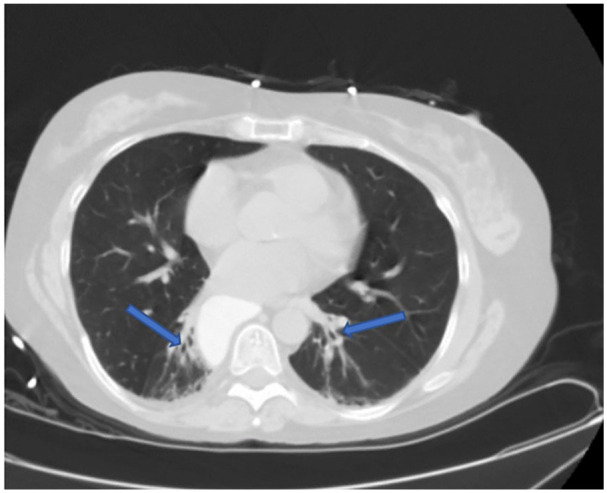
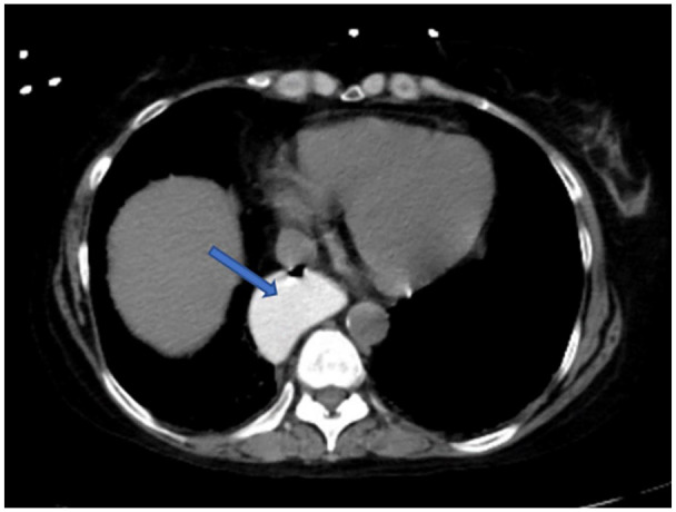
Scleroderma renal crisis is a rare, life-threatening complication of systemic sclerosis. It is characterized by pronounced hypertension, acute kidney injury, and thrombotic microangiopathy. Although its prevalence has decreased over the last decade, and death rates have declined since the introduction of treatment with Angiotensin converting enzyme (ACE)-inhibitors, it remains a challenge due to lack of prevention and rapid progression despite intervention in those who develop renal crisis. We present a 46-year-old female with history of rheumatoid arthritis and scleroderma who presented to the Emergency Department (ED) with complaints of a severe headache associated with nausea and vomiting that started earlier in the day. Patient presented with a blood pressure of 180/103 that did not improve with use of anti-hypertensive medications. Labs were remarkable for anemia and decreased renal function. A CT of the abdomen and pelvis without contrast demonstrated distention of distal esophagus with possible underlying esophageal dysmotility due to degree of distention and dependent areas of tractional bronchiectasis in the bilateral lower lobes that can be seen in the setting of early interstitial lung disease. Treatment with an ACE-inhibitor was initiated, with improvement in blood pressure and resolution of headache. This case demonstrates another rare case and illustrates the importance of rapid recognition and treatment.

Abstract Image

Abstract Image

Abstract Image

罕见硬皮病肾危象1例。
硬皮病肾危象是一种罕见的危及生命的系统性硬化症并发症。它的特点是明显的高血压、急性肾损伤和血栓性微血管病变。尽管其患病率在过去十年中有所下降,并且自引入血管紧张素转换酶(ACE)抑制剂治疗以来死亡率有所下降,但由于缺乏预防措施和对肾危像患者进行干预后的快速进展,它仍然是一个挑战。我们报告一名46岁的女性,有类风湿关节炎和硬皮病的病史,她在急诊科(ED)就诊,主诉为严重的头痛,并伴有恶心和呕吐,这种头痛开始于当天早些时候。患者的血压为180/103,使用抗高血压药物后没有改善。实验室有明显的贫血和肾功能下降。腹部和骨盆CT未加对比显示食管远端扩张,由于扩张程度可能存在潜在的食管运动障碍,双侧下叶牵引性支气管扩张的依赖区可以在早期间质性肺病的背景下看到。开始使用ace抑制剂治疗,血压改善,头痛缓解。这个病例是另一个罕见的病例,说明了快速识别和治疗的重要性。
本文章由计算机程序翻译,如有差异,请以英文原文为准。
求助全文
约1分钟内获得全文 求助全文
来源期刊
CiteScore
1.90
自引率
0.00%
发文量
165
审稿时长
12 weeks
期刊介绍: The AFMR is committed to enhancing the training and career development of our members and to furthering its mission to facilitate the conduct of research to improve medical care. Case reports represent an important avenue for trainees (interns, residents, and fellows) and early-stage faculty to demonstrate productive, scholarly activity.
×
引用
GB/T 7714-2015
复制
MLA
复制
APA
复制
导出至
BibTeX EndNote RefMan NoteFirst NoteExpress
×
提示
您的信息不完整,为了账户安全,请先补充。
现在去补充
×
提示
您因"违规操作"
具体请查看互助需知
我知道了
×
提示
确定
请完成安全验证×
copy
已复制链接
快去分享给好友吧!
我知道了
右上角分享
点击右上角分享
0
联系我们:info@booksci.cn Book学术提供免费学术资源搜索服务,方便国内外学者检索中英文文献。致力于提供最便捷和优质的服务体验。 Copyright © 2023 布克学术 All rights reserved.
京ICP备2023020795号-1
ghs 京公网安备 11010802042870号
Book学术文献互助
Book学术文献互助群
群 号:604180095
Book学术官方微信