A rare case of hairy leukoplakia in a young immunocompetent patient.

Q2 Dentistry
Ludimila Lemes Moura, Victor Villatoro Carrapato, Marcia Mirolde Magno de Carvalho Santos, Paulo Sérgio da Silva Santos
{"title":"A rare case of hairy leukoplakia in a young immunocompetent patient.","authors":"Ludimila Lemes Moura, Victor Villatoro Carrapato, Marcia Mirolde Magno de Carvalho Santos, Paulo Sérgio da Silva Santos","doi":"10.4317/jced.62391","DOIUrl":null,"url":null,"abstract":"<p><p>We present a case of oral hairy leukoplakia (OHL) in a male, 21-year-old immunocompetent patient. The patient had white, asymptomatic plaques located bilaterally on the tongue margin. The patient noticed the signs days after burning his tongue with hot food, which triggered the investigation. The case was treated initially as candidiasis and frictional keratosis. Exfoliative cytology indicated the presence of actinomycetes in the lesions, and a blood count suggested mild leukopenia (3,910/mm³; reference value 4,500 - 11,000/mm³). Photodynamic therapy and antiseptic mouthwash were used, with no improvement in the condition. The diagnosis of OHL had concluded after an incisional biopsy and immunohistochemical examination for anti-EBV. The patient's blood and serological tests showed no noteworthy changes. Cases of hairy leukoplakia in immunocompetent patients had founded in the literature and suggest that when this occurs, patients often have some comorbidity, such as hypertension, or use medications such as antihypertensives and steroid inhalers. However, the patient in the present case did not any of these conditions, which made the diagnosis challenging. In any case, it is always important to investigate the medical history and immune status of a patient diagnosed with OHL. <b>Key words:</b>Oral hairy leukoplakia, Epstein-Barr virus, Immunocompetent.</p>","PeriodicalId":15376,"journal":{"name":"Journal of Clinical and Experimental Dentistry","volume":"17 3","pages":"e354-e357"},"PeriodicalIF":0.0000,"publicationDate":"2025-03-01","publicationTypes":"Journal Article","fieldsOfStudy":null,"isOpenAccess":false,"openAccessPdf":"https://www.ncbi.nlm.nih.gov/pmc/articles/PMC11994199/pdf/","citationCount":"0","resultStr":null,"platform":"Semanticscholar","paperid":null,"PeriodicalName":"Journal of Clinical and Experimental Dentistry","FirstCategoryId":"1085","ListUrlMain":"https://doi.org/10.4317/jced.62391","RegionNum":0,"RegionCategory":null,"ArticlePicture":[],"TitleCN":null,"AbstractTextCN":null,"PMCID":null,"EPubDate":"","PubModel":"","JCR":"Q2","JCRName":"Dentistry","Score":null,"Total":0}
引用次数: 0

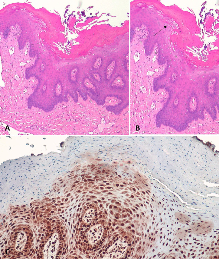
Abstract

We present a case of oral hairy leukoplakia (OHL) in a male, 21-year-old immunocompetent patient. The patient had white, asymptomatic plaques located bilaterally on the tongue margin. The patient noticed the signs days after burning his tongue with hot food, which triggered the investigation. The case was treated initially as candidiasis and frictional keratosis. Exfoliative cytology indicated the presence of actinomycetes in the lesions, and a blood count suggested mild leukopenia (3,910/mm³; reference value 4,500 - 11,000/mm³). Photodynamic therapy and antiseptic mouthwash were used, with no improvement in the condition. The diagnosis of OHL had concluded after an incisional biopsy and immunohistochemical examination for anti-EBV. The patient's blood and serological tests showed no noteworthy changes. Cases of hairy leukoplakia in immunocompetent patients had founded in the literature and suggest that when this occurs, patients often have some comorbidity, such as hypertension, or use medications such as antihypertensives and steroid inhalers. However, the patient in the present case did not any of these conditions, which made the diagnosis challenging. In any case, it is always important to investigate the medical history and immune status of a patient diagnosed with OHL. Key words:Oral hairy leukoplakia, Epstein-Barr virus, Immunocompetent.

Abstract Image

Abstract Image

罕见的毛状白斑的病例在一个年轻的免疫能力的病人。
我们报告一例口腔毛状白斑(OHL)在一个男性,21岁的免疫功能正常的病人。患者舌缘两侧有白色无症状斑块。这名患者在被热食物烫伤舌头几天后发现了这些症状,从而引发了调查。该病例最初治疗为念珠菌病和摩擦角化病。剥脱细胞学检查提示病变中有放线菌,血球计数提示轻度白细胞减少(3910 /mm³;参考值4500 ~ 11000 /mm³)。采用光动力疗法及抗菌漱口水治疗,无明显改善。OHL的诊断是在切口活检和免疫组织化学检查抗ebv后得出的。患者的血液和血清学检查未见明显变化。在免疫功能正常的患者中发现了毛状白斑的病例,并表明当这种情况发生时,患者通常有一些合并症,如高血压,或使用抗高血压药物和类固醇吸入器等药物。然而,在本病例中,患者没有任何这些条件,这使得诊断具有挑战性。在任何情况下,调查诊断为OHL的患者的病史和免疫状况总是很重要的。关键词:口腔毛状白斑,eb病毒,免疫活性
本文章由计算机程序翻译,如有差异,请以英文原文为准。
求助全文
约1分钟内获得全文 求助全文
来源期刊
CiteScore
2.70
自引率
0.00%
发文量
118
期刊介绍: Indexed in PUBMED, PubMed Central® (PMC) since 2012 and SCOPUSJournal of Clinical and Experimental Dentistry is an Open Access (free access on-line) - http://www.medicinaoral.com/odo/indice.htm. The aim of the Journal of Clinical and Experimental Dentistry is: - Periodontology - Community and Preventive Dentistry - Esthetic Dentistry - Biomaterials and Bioengineering in Dentistry - Operative Dentistry and Endodontics - Prosthetic Dentistry - Orthodontics - Oral Medicine and Pathology - Odontostomatology for the disabled or special patients - Oral Surgery
×
引用
GB/T 7714-2015
复制
MLA
复制
APA
复制
导出至
BibTeX EndNote RefMan NoteFirst NoteExpress
×
提示
您的信息不完整,为了账户安全,请先补充。
现在去补充
×
提示
您因"违规操作"
具体请查看互助需知
我知道了
×
提示
确定
请完成安全验证×
copy
已复制链接
快去分享给好友吧!
我知道了
右上角分享
点击右上角分享
0
联系我们:info@booksci.cn Book学术提供免费学术资源搜索服务,方便国内外学者检索中英文文献。致力于提供最便捷和优质的服务体验。 Copyright © 2023 布克学术 All rights reserved.
京ICP备2023020795号-1
ghs 京公网安备 11010802042870号
Book学术文献互助
Book学术文献互助群
群 号:604180095
Book学术官方微信