Metastatic Gallbladder Carcinoma to Pleura with Gallbladder Tuberculosis - Case Report with Literature Review.

IF 0.8 Q3 MEDICINE, GENERAL & INTERNAL
Anjum Ara, Mohammad Saleem, Kafil Akhtar
{"title":"Metastatic Gallbladder Carcinoma to Pleura with Gallbladder Tuberculosis - Case Report with Literature Review.","authors":"Anjum Ara, Mohammad Saleem, Kafil Akhtar","doi":"10.4103/ijabmr.ijabmr_412_24","DOIUrl":null,"url":null,"abstract":"<p><p>Gallbladder carcinoma (GBC) is the most common malignant tumor of the biliary system and presents with frequent locoregional lymphadenopathy and distant metastasis. Gallbladder tuberculosis (GT) is rare abdominal tuberculosis (TB). GBC and GT mimic each other. The clinical examinations and radiographic investigations sometimes fail to exhibit the difference between these two which are confirmed only after postoperative histopathological assessment. Herein, we report a patient of GBC with coexistent GT with pleural metastasis and pleural effusion. We emphasize the importance of differential diagnosis of the two conditions, with similar signs and symptoms. The pleura is an extremely rare site of spread of GBC as seen in our patient.</p>","PeriodicalId":13727,"journal":{"name":"International Journal of Applied and Basic Medical Research","volume":"15 2","pages":"125-127"},"PeriodicalIF":0.8000,"publicationDate":"2025-04-01","publicationTypes":"Journal Article","fieldsOfStudy":null,"isOpenAccess":false,"openAccessPdf":"https://www.ncbi.nlm.nih.gov/pmc/articles/PMC12058042/pdf/","citationCount":"0","resultStr":null,"platform":"Semanticscholar","paperid":null,"PeriodicalName":"International Journal of Applied and Basic Medical Research","FirstCategoryId":"1085","ListUrlMain":"https://doi.org/10.4103/ijabmr.ijabmr_412_24","RegionNum":0,"RegionCategory":null,"ArticlePicture":[],"TitleCN":null,"AbstractTextCN":null,"PMCID":null,"EPubDate":"2025/4/7 0:00:00","PubModel":"Epub","JCR":"Q3","JCRName":"MEDICINE, GENERAL & INTERNAL","Score":null,"Total":0}
引用次数: 0

Abstract

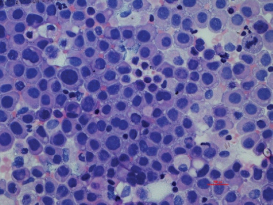
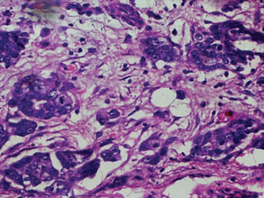
Gallbladder carcinoma (GBC) is the most common malignant tumor of the biliary system and presents with frequent locoregional lymphadenopathy and distant metastasis. Gallbladder tuberculosis (GT) is rare abdominal tuberculosis (TB). GBC and GT mimic each other. The clinical examinations and radiographic investigations sometimes fail to exhibit the difference between these two which are confirmed only after postoperative histopathological assessment. Herein, we report a patient of GBC with coexistent GT with pleural metastasis and pleural effusion. We emphasize the importance of differential diagnosis of the two conditions, with similar signs and symptoms. The pleura is an extremely rare site of spread of GBC as seen in our patient.

Abstract Image

Abstract Image

Abstract Image

胆囊癌转移至胸膜并胆囊结核1例并文献复习。
胆囊癌(GBC)是胆道系统最常见的恶性肿瘤,常表现为局部淋巴结病变和远处转移。胆囊结核是一种罕见的腹部结核。GBC和GT相互模仿。临床检查和影像学检查有时不能显示两者之间的差异,只有在术后组织病理学评估后才能证实。在此,我们报告一例GBC合并GT并胸膜转移及胸腔积液的病例。我们强调鉴别诊断两种情况的重要性,具有相似的体征和症状。胸膜是一个极其罕见的GBC扩散的地方,正如我们的病人所见。
本文章由计算机程序翻译,如有差异,请以英文原文为准。
求助全文
约1分钟内获得全文 求助全文
来源期刊
自引率
0.00%
发文量
46
×
引用
GB/T 7714-2015
复制
MLA
复制
APA
复制
导出至
BibTeX EndNote RefMan NoteFirst NoteExpress
×
提示
您的信息不完整,为了账户安全,请先补充。
现在去补充
×
提示
您因"违规操作"
具体请查看互助需知
我知道了
×
提示
确定
请完成安全验证×
copy
已复制链接
快去分享给好友吧!
我知道了
右上角分享
点击右上角分享
0
联系我们:info@booksci.cn Book学术提供免费学术资源搜索服务,方便国内外学者检索中英文文献。致力于提供最便捷和优质的服务体验。 Copyright © 2023 布克学术 All rights reserved.
京ICP备2023020795号-1
ghs 京公网安备 11010802042870号
Book学术文献互助
Book学术文献互助群
群 号:604180095
Book学术官方微信