MMP-9 metalloproteinase and its regulator are not associated with mid-term CT residual abnormalities in patients with COVID-19 pneumonia.

IF 1 Q4 RADIOLOGY, NUCLEAR MEDICINE & MEDICAL IMAGING
Acta radiologica open Pub Date : 2025-04-16 eCollection Date: 2025-04-01 DOI:10.1177/20584601251330563
Monica Mattone, Giorgio Maria Masci, Nicholas Landini, Maria Antonella Zingaropoli, Carlo Catalano, Maria Rosa Ciardi, Valeria Panebianco
{"title":"MMP-9 metalloproteinase and its regulator are not associated with mid-term CT residual abnormalities in patients with COVID-19 pneumonia.","authors":"Monica Mattone, Giorgio Maria Masci, Nicholas Landini, Maria Antonella Zingaropoli, Carlo Catalano, Maria Rosa Ciardi, Valeria Panebianco","doi":"10.1177/20584601251330563","DOIUrl":null,"url":null,"abstract":"<p><strong>Background: </strong>COVID-19 patients may have residual pulmonary alterations after the acute disease, with fibrotic-like alterations. Since metalloproteinases (MMP) and their regulators may be involved in inflammation and abnormal repair processing, we aimed to investigate the correlations between MMP-9, a tissue inhibitor of metalloproteinases (TIMP-1) and chest CT abnormalities in acute phase and mid-term follow-up.</p><p><strong>Methods: </strong>COVID-19 patients with plasma analyses and CT scans performed at acute onset and 3 months after discharge (T post) were evaluated. MMP-9, TIMP-1, and MMP-9/TIMP-1 ratio were analyzed. CT extents of COVID-19 pneumonia and fibrotic-like alterations were visually scored (score range 0-25). Spearman rank correlation analysis (<i>p</i>-value <.05) was computed between acute and mid-term plasma analyses and CT scores.</p><p><strong>Results: </strong>39 patients were enrolled. At hospital admission, MMP-9, TIMP-1, and MMP-9/TIMP-1 had a median of 240.5 ng/mL, 258.8 ng/mL, and 0.9. The median CT global and fibrotic-like scores were 9 and 6. At T post, MMP-9 and TIMP-1 were not statistically different (<i>p</i>-value <.05). There was a reduction of CT global score (<i>p</i>-value = .00007). A significant correlation was found between MMP-9 and CT global score at hospital admission (ρ = 0.456, <i>p</i>-value = .003) and between MMP-9/TIMP-1 ratio and CT global score at hospital admission (ρ = 0.406, <i>p</i>-value = .009). No other significant correlations were found between plasma enzymes and CT alterations, both in acute and mid-term follow-up.</p><p><strong>Conclusion: </strong>MMP-9 plasma levels and MMP-9/TIMP-1 ratio correlate with lung involvement during the acute phase. None of the levels of MMP-9, TIMP-1, and MMP-9/TIMP-1 ratio may be adopted as predictors of residual pulmonary alterations in mid-term follow-up.</p>","PeriodicalId":72063,"journal":{"name":"Acta radiologica open","volume":"14 4","pages":"20584601251330563"},"PeriodicalIF":1.0000,"publicationDate":"2025-04-16","publicationTypes":"Journal Article","fieldsOfStudy":null,"isOpenAccess":false,"openAccessPdf":"https://www.ncbi.nlm.nih.gov/pmc/articles/PMC12033756/pdf/","citationCount":"0","resultStr":null,"platform":"Semanticscholar","paperid":null,"PeriodicalName":"Acta radiologica open","FirstCategoryId":"1085","ListUrlMain":"https://doi.org/10.1177/20584601251330563","RegionNum":0,"RegionCategory":null,"ArticlePicture":[],"TitleCN":null,"AbstractTextCN":null,"PMCID":null,"EPubDate":"2025/4/1 0:00:00","PubModel":"eCollection","JCR":"Q4","JCRName":"RADIOLOGY, NUCLEAR MEDICINE & MEDICAL IMAGING","Score":null,"Total":0}
引用次数: 0

Abstract

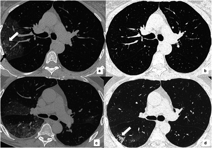
Background: COVID-19 patients may have residual pulmonary alterations after the acute disease, with fibrotic-like alterations. Since metalloproteinases (MMP) and their regulators may be involved in inflammation and abnormal repair processing, we aimed to investigate the correlations between MMP-9, a tissue inhibitor of metalloproteinases (TIMP-1) and chest CT abnormalities in acute phase and mid-term follow-up.

Methods: COVID-19 patients with plasma analyses and CT scans performed at acute onset and 3 months after discharge (T post) were evaluated. MMP-9, TIMP-1, and MMP-9/TIMP-1 ratio were analyzed. CT extents of COVID-19 pneumonia and fibrotic-like alterations were visually scored (score range 0-25). Spearman rank correlation analysis (p-value <.05) was computed between acute and mid-term plasma analyses and CT scores.

Results: 39 patients were enrolled. At hospital admission, MMP-9, TIMP-1, and MMP-9/TIMP-1 had a median of 240.5 ng/mL, 258.8 ng/mL, and 0.9. The median CT global and fibrotic-like scores were 9 and 6. At T post, MMP-9 and TIMP-1 were not statistically different (p-value <.05). There was a reduction of CT global score (p-value = .00007). A significant correlation was found between MMP-9 and CT global score at hospital admission (ρ = 0.456, p-value = .003) and between MMP-9/TIMP-1 ratio and CT global score at hospital admission (ρ = 0.406, p-value = .009). No other significant correlations were found between plasma enzymes and CT alterations, both in acute and mid-term follow-up.

Conclusion: MMP-9 plasma levels and MMP-9/TIMP-1 ratio correlate with lung involvement during the acute phase. None of the levels of MMP-9, TIMP-1, and MMP-9/TIMP-1 ratio may be adopted as predictors of residual pulmonary alterations in mid-term follow-up.

Abstract Image

Abstract Image

Abstract Image

MMP-9金属蛋白酶及其调节因子与COVID-19肺炎患者中期CT残留异常无关
背景:COVID-19患者急性发病后可能存在残留的肺改变,表现为纤维样改变。由于金属蛋白酶(MMP)及其调节因子可能参与炎症和异常修复过程,我们旨在探讨金属蛋白酶组织抑制剂(TIMP-1) MMP-9与急性期和中期随访胸部CT异常的相关性。方法:对新冠肺炎患者急性发病及出院后3个月进行血浆分析和CT扫描。分析MMP-9、TIMP-1及MMP-9/TIMP-1比值。视觉评分COVID-19肺炎和纤维样改变的CT程度(评分范围0-25)。Spearman秩相关分析(p值)结果:39例患者入组。入院时,MMP-9、TIMP-1和MMP-9/TIMP-1的中位数分别为240.5 ng/mL、258.8 ng/mL和0.9。CT整体评分和纤维样评分中位数分别为9分和6分。在T后,MMP-9和TIMP-1无统计学差异(p-value p-value = 0.007)。入院时MMP-9与CT整体评分之间存在显著相关性(ρ = 0.456, p值= 0.003),入院时MMP-9/TIMP-1比值与CT整体评分之间存在显著相关性(ρ = 0.406, p值= 0.009)。在急性和中期随访中,血浆酶与CT改变之间未发现其他显著相关性。结论:血浆MMP-9水平及MMP-9/TIMP-1比值与急性期肺受累相关。中期随访时,MMP-9、TIMP-1及MMP-9/TIMP-1比值均不能作为残留肺改变的预测指标。
本文章由计算机程序翻译,如有差异,请以英文原文为准。
求助全文
约1分钟内获得全文 求助全文
来源期刊
自引率
0.00%
发文量
0
审稿时长
12 weeks
×
引用
GB/T 7714-2015
复制
MLA
复制
APA
复制
导出至
BibTeX EndNote RefMan NoteFirst NoteExpress
×
提示
您的信息不完整,为了账户安全,请先补充。
现在去补充
×
提示
您因"违规操作"
具体请查看互助需知
我知道了
×
提示
确定
请完成安全验证×
copy
已复制链接
快去分享给好友吧!
我知道了
右上角分享
点击右上角分享
0
联系我们:info@booksci.cn Book学术提供免费学术资源搜索服务,方便国内外学者检索中英文文献。致力于提供最便捷和优质的服务体验。 Copyright © 2023 布克学术 All rights reserved.
京ICP备2023020795号-1
ghs 京公网安备 11010802042870号
Book学术文献互助
Book学术文献互助群
群 号:604180095
Book学术官方微信