Geographic atrophy in Asia.

IF 2.4 3区 医学 Q2 OPHTHALMOLOGY
Chui Ming Gemmy Cheung, Youxin Chen, Frank G Holz, Akitaka Tsujikawa, SriniVas Sadda
{"title":"Geographic atrophy in Asia.","authors":"Chui Ming Gemmy Cheung, Youxin Chen, Frank G Holz, Akitaka Tsujikawa, SriniVas Sadda","doi":"10.1007/s00417-025-06817-6","DOIUrl":null,"url":null,"abstract":"<p><strong>Purpose: </strong>Geographic atrophy (GA) is a late-stage manifestation of age-related macular degeneration associated with vision loss. Differences between Asian and non-Asian populations with GA have been reported. It is essential to understand these differences because they may reflect variations in the natural history of the disease and its underlying pathophysiology, impacting resultant future treatment strategies and clinical trial designs.</p><p><strong>Methods: </strong>A non-systematic search for articles published up to November 22, 2023 was performed using PubMed. Reference lists from included articles were reviewed and relevant articles manually selected and included, as well as read for background information about the topic. Only articles in English were considered for inclusion in this narrative review.</p><p><strong>Results: </strong>Although the overall prevalence of GA appears to be low across Asia and shows a male predominance, regional variability is evident. Compared with White and other non-Asian populations, Asian populations typically have more distinct but fewer drusen overall (regardless of type), smaller GA lesion size at presentation, a thicker choroid, and lower rates of bilaterality. In both Asian and non-Asian populations, certain characteristics of GA may be associated with an increased risk of fast disease progression.</p><p><strong>Conclusion: </strong>The characteristics of GA in Asian populations show some similarities as well as relevant differences compared with those in White and other non-Asian populations. A better understanding of the characteristics associated with GA subphenotypes and predictors of progression will help to optimize management strategies for Asian patients with GA and improve study designs for future interventional trials.</p>","PeriodicalId":12795,"journal":{"name":"Graefe’s Archive for Clinical and Experimental Ophthalmology","volume":" ","pages":"2081-2099"},"PeriodicalIF":2.4000,"publicationDate":"2025-08-01","publicationTypes":"Journal Article","fieldsOfStudy":null,"isOpenAccess":false,"openAccessPdf":"https://www.ncbi.nlm.nih.gov/pmc/articles/PMC12414024/pdf/","citationCount":"0","resultStr":null,"platform":"Semanticscholar","paperid":null,"PeriodicalName":"Graefe’s Archive for Clinical and Experimental Ophthalmology","FirstCategoryId":"3","ListUrlMain":"https://doi.org/10.1007/s00417-025-06817-6","RegionNum":3,"RegionCategory":"医学","ArticlePicture":[],"TitleCN":null,"AbstractTextCN":null,"PMCID":null,"EPubDate":"2025/4/16 0:00:00","PubModel":"Epub","JCR":"Q2","JCRName":"OPHTHALMOLOGY","Score":null,"Total":0}
引用次数: 0

Abstract

Purpose: Geographic atrophy (GA) is a late-stage manifestation of age-related macular degeneration associated with vision loss. Differences between Asian and non-Asian populations with GA have been reported. It is essential to understand these differences because they may reflect variations in the natural history of the disease and its underlying pathophysiology, impacting resultant future treatment strategies and clinical trial designs.

Methods: A non-systematic search for articles published up to November 22, 2023 was performed using PubMed. Reference lists from included articles were reviewed and relevant articles manually selected and included, as well as read for background information about the topic. Only articles in English were considered for inclusion in this narrative review.

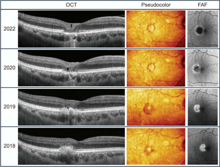
Results: Although the overall prevalence of GA appears to be low across Asia and shows a male predominance, regional variability is evident. Compared with White and other non-Asian populations, Asian populations typically have more distinct but fewer drusen overall (regardless of type), smaller GA lesion size at presentation, a thicker choroid, and lower rates of bilaterality. In both Asian and non-Asian populations, certain characteristics of GA may be associated with an increased risk of fast disease progression.

Conclusion: The characteristics of GA in Asian populations show some similarities as well as relevant differences compared with those in White and other non-Asian populations. A better understanding of the characteristics associated with GA subphenotypes and predictors of progression will help to optimize management strategies for Asian patients with GA and improve study designs for future interventional trials.

Abstract Image

Abstract Image

Abstract Image

亚洲的地理萎缩。
目的:地理萎缩(GA)是与视力丧失相关的老年性黄斑变性的一种晚期表现。亚洲和非亚洲人群GA的差异已有报道。了解这些差异是至关重要的,因为它们可能反映了疾病的自然史及其潜在病理生理学的变化,从而影响未来的治疗策略和临床试验设计。方法:使用PubMed对截至2023年11月22日发表的文章进行非系统检索。我们审查了所收录文章的参考文献列表,并手动选择和收录了相关文章,并阅读了有关该主题的背景信息。只有英文文章被考虑纳入这篇叙述性评论。结果:虽然GA的总体患病率在亚洲似乎较低,并显示出男性优势,但区域差异是明显的。与白人和其他非亚洲人群相比,亚洲人群通常有更明显但更少的结节(无论类型),GA病变体积更小,脉络膜更厚,双侧发生率更低。在亚洲和非亚洲人群中,GA的某些特征可能与疾病快速进展的风险增加有关。结论:与白人及其他非亚洲人群相比,亚洲人群GA特征既有相似之处,也有相关差异。更好地了解与GA亚表型相关的特征和进展预测因素将有助于优化亚洲GA患者的管理策略,并改善未来干预性试验的研究设计。
本文章由计算机程序翻译,如有差异,请以英文原文为准。
求助全文
约1分钟内获得全文 求助全文
来源期刊
CiteScore
5.40
自引率
7.40%
发文量
398
审稿时长
3 months
期刊介绍: Graefe''s Archive for Clinical and Experimental Ophthalmology is a distinguished international journal that presents original clinical reports and clini-cally relevant experimental studies. Founded in 1854 by Albrecht von Graefe to serve as a source of useful clinical information and a stimulus for discussion, the journal has published articles by leading ophthalmologists and vision research scientists for more than a century. With peer review by an international Editorial Board and prompt English-language publication, Graefe''s Archive provides rapid dissemination of clinical and clinically related experimental information.
×
引用
GB/T 7714-2015
复制
MLA
复制
APA
复制
导出至
BibTeX EndNote RefMan NoteFirst NoteExpress
×
提示
您的信息不完整,为了账户安全,请先补充。
现在去补充
×
提示
您因"违规操作"
具体请查看互助需知
我知道了
×
提示
确定
请完成安全验证×
copy
已复制链接
快去分享给好友吧!
我知道了
右上角分享
点击右上角分享
0
联系我们:info@booksci.cn Book学术提供免费学术资源搜索服务,方便国内外学者检索中英文文献。致力于提供最便捷和优质的服务体验。 Copyright © 2023 布克学术 All rights reserved.
京ICP备2023020795号-1
ghs 京公网安备 11010802042870号
Book学术文献互助
Book学术文献互助群
群 号:604180095
Book学术官方微信