A Rare Case of Tuberculosis Masquerading as Collapsing Glomerulopathy.

IF 0.8 Q4 UROLOGY & NEPHROLOGY
Indian Journal of Nephrology Pub Date : 2025-05-01 Epub Date: 2024-06-17 DOI:10.25259/ijn_443_23
Vishnu Keerthana Kotha, Vijay Chander Bukka, M Niranjan, Ankit Tiwari, Siddharth Herur, G Swarnalatha
{"title":"A Rare Case of Tuberculosis Masquerading as Collapsing Glomerulopathy.","authors":"Vishnu Keerthana Kotha, Vijay Chander Bukka, M Niranjan, Ankit Tiwari, Siddharth Herur, G Swarnalatha","doi":"10.25259/ijn_443_23","DOIUrl":null,"url":null,"abstract":"<p><p>Collapsing glomerulopathy (CG), usually presents with renal dysfunction, hypertension and proteinuria. The etiology is uncertain, yet a number of associations, including many viral infections commonly have been reported. Tuberculosis (TB), one of the most common infections, is not known to cause CG. We report a case of severe renal dysfunction requiring dialysis who had collapsing glomerulopathy on biopsy and evidence of active pulmonary tuberculosis. Anti-tubercular therapy alone resulted in improvement in kidney function.</p>","PeriodicalId":13359,"journal":{"name":"Indian Journal of Nephrology","volume":"35 3","pages":"434-436"},"PeriodicalIF":0.8000,"publicationDate":"2025-05-01","publicationTypes":"Journal Article","fieldsOfStudy":null,"isOpenAccess":false,"openAccessPdf":"https://www.ncbi.nlm.nih.gov/pmc/articles/PMC12065584/pdf/","citationCount":"0","resultStr":null,"platform":"Semanticscholar","paperid":null,"PeriodicalName":"Indian Journal of Nephrology","FirstCategoryId":"1085","ListUrlMain":"https://doi.org/10.25259/ijn_443_23","RegionNum":0,"RegionCategory":null,"ArticlePicture":[],"TitleCN":null,"AbstractTextCN":null,"PMCID":null,"EPubDate":"2024/6/17 0:00:00","PubModel":"Epub","JCR":"Q4","JCRName":"UROLOGY & NEPHROLOGY","Score":null,"Total":0}
引用次数: 0

Abstract

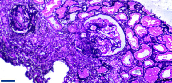
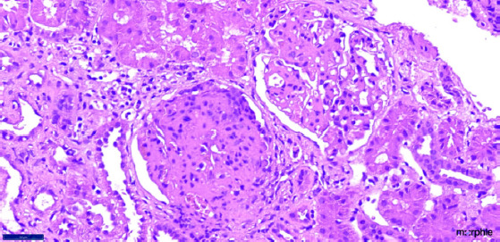
Collapsing glomerulopathy (CG), usually presents with renal dysfunction, hypertension and proteinuria. The etiology is uncertain, yet a number of associations, including many viral infections commonly have been reported. Tuberculosis (TB), one of the most common infections, is not known to cause CG. We report a case of severe renal dysfunction requiring dialysis who had collapsing glomerulopathy on biopsy and evidence of active pulmonary tuberculosis. Anti-tubercular therapy alone resulted in improvement in kidney function.

Abstract Image

Abstract Image

肺结核伪装成萎陷性肾小球病1例。
塌陷性肾小球病(CG),通常表现为肾功能不全、高血压和蛋白尿。病因尚不确定,但有许多关联,包括许多病毒感染已被报道。结核病(TB)是最常见的感染之一,目前还不知道会导致CG。我们报告一个需要透析的严重肾功能不全的病例,他在活检上有塌陷的肾小球病变和活动性肺结核的证据。单独抗结核治疗可改善肾功能。
本文章由计算机程序翻译,如有差异,请以英文原文为准。
求助全文
约1分钟内获得全文 求助全文
来源期刊
Indian Journal of Nephrology
Indian Journal of Nephrology UROLOGY & NEPHROLOGY-
CiteScore
1.40
自引率
0.00%
发文量
128
审稿时长
24 weeks
×
引用
GB/T 7714-2015
复制
MLA
复制
APA
复制
导出至
BibTeX EndNote RefMan NoteFirst NoteExpress
×
提示
您的信息不完整,为了账户安全,请先补充。
现在去补充
×
提示
您因"违规操作"
具体请查看互助需知
我知道了
×
提示
确定
请完成安全验证×
copy
已复制链接
快去分享给好友吧!
我知道了
右上角分享
点击右上角分享
0
联系我们:info@booksci.cn Book学术提供免费学术资源搜索服务,方便国内外学者检索中英文文献。致力于提供最便捷和优质的服务体验。 Copyright © 2023 布克学术 All rights reserved.
京ICP备2023020795号-1
ghs 京公网安备 11010802042870号
Book学术文献互助
Book学术文献互助群
群 号:604180095
Book学术官方微信