Advanced Endodontic Techniques for Treating Root Perforation in a Hypertaurodont Molar: A Case Report.

Q3 Dentistry
Iranian Endodontic Journal Pub Date : 2025-01-01 Epub Date: 2025-01-29 DOI:10.22037/iej.v20i1.46431
Ali Chamani, Maryam Forghani, Mina Zarei, Pouria Soltaninezhad
{"title":"Advanced Endodontic Techniques for Treating Root Perforation in a Hypertaurodont Molar: A Case Report.","authors":"Ali Chamani, Maryam Forghani, Mina Zarei, Pouria Soltaninezhad","doi":"10.22037/iej.v20i1.46431","DOIUrl":null,"url":null,"abstract":"<p><p>Taurodontism is a dental anomaly characterized by an enlarged pulp chamber and apically displaced pulpal floor. This disorder poses significant challenges in endodontic treatment, especially when perforations occur. The present case study details the endodontic retreatment of a hypertaurodont maxillary second molar in a 36-year-old female patient with a mesial canal perforation. The procedure employed a dental operating microscope for enhanced visualization and precision. Canals were prepared using a crown-down technique, with the perforation site managed using MTA and bioceramic material applied via the second mesiobuccal canal. The remaining canals were obturated using gutta-percha and bioceramic sealer. At the 1-year follow-up, the tooth was functional and asymptomatic, with radiographic evidence of a normal periodontal ligament space. This case demonstrates the efficacy of contemporary endodontic techniques, including bioceramic materials and advanced magnification, in managing the unique challenges posed by taurodontism.</p>","PeriodicalId":14534,"journal":{"name":"Iranian Endodontic Journal","volume":"20 1","pages":"e14"},"PeriodicalIF":0.0000,"publicationDate":"2025-01-01","publicationTypes":"Journal Article","fieldsOfStudy":null,"isOpenAccess":false,"openAccessPdf":"https://www.ncbi.nlm.nih.gov/pmc/articles/PMC11981002/pdf/","citationCount":"0","resultStr":null,"platform":"Semanticscholar","paperid":null,"PeriodicalName":"Iranian Endodontic Journal","FirstCategoryId":"1085","ListUrlMain":"https://doi.org/10.22037/iej.v20i1.46431","RegionNum":0,"RegionCategory":null,"ArticlePicture":[],"TitleCN":null,"AbstractTextCN":null,"PMCID":null,"EPubDate":"2025/1/29 0:00:00","PubModel":"Epub","JCR":"Q3","JCRName":"Dentistry","Score":null,"Total":0}
引用次数: 0

Abstract

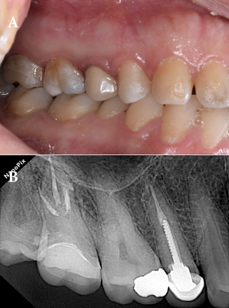
Taurodontism is a dental anomaly characterized by an enlarged pulp chamber and apically displaced pulpal floor. This disorder poses significant challenges in endodontic treatment, especially when perforations occur. The present case study details the endodontic retreatment of a hypertaurodont maxillary second molar in a 36-year-old female patient with a mesial canal perforation. The procedure employed a dental operating microscope for enhanced visualization and precision. Canals were prepared using a crown-down technique, with the perforation site managed using MTA and bioceramic material applied via the second mesiobuccal canal. The remaining canals were obturated using gutta-percha and bioceramic sealer. At the 1-year follow-up, the tooth was functional and asymptomatic, with radiographic evidence of a normal periodontal ligament space. This case demonstrates the efficacy of contemporary endodontic techniques, including bioceramic materials and advanced magnification, in managing the unique challenges posed by taurodontism.

Abstract Image

Abstract Image

Abstract Image

先进的根管技术治疗高牛头牙磨牙根穿孔1例报告。
紧齿畸形是一种牙齿异常,其特征是牙髓腔增大,牙髓底顶端移位。这种疾病对牙髓治疗提出了重大挑战,特别是当发生穿孔时。本病例研究详细介绍了一名36岁女性患者的上颌第二磨牙高牛头牙的根管再治疗。该程序采用牙科手术显微镜,以提高可视化和精度。采用冠下技术制备根管,穿孔部位使用MTA和生物陶瓷材料通过第二中颊根管进行处理。使用杜仲胶和生物陶瓷密封剂封闭剩余的管道。在1年的随访中,牙齿功能正常,无症状,影像学证据显示牙周韧带间隙正常。本病例展示了当代牙髓技术的有效性,包括生物陶瓷材料和先进的放大技术,在处理紧牙症带来的独特挑战方面。
本文章由计算机程序翻译,如有差异,请以英文原文为准。
求助全文
约1分钟内获得全文 求助全文
来源期刊
Iranian Endodontic Journal
Iranian Endodontic Journal Dentistry-Dentistry (all)
CiteScore
1.30
自引率
0.00%
发文量
0
审稿时长
12 weeks
期刊介绍: The Iranian Endodontic Journal (IEJ) is an international peer-reviewed biomedical publication, the aim of which is to provide a scientific medium of communication for researchers throughout the globe. IEJ aims to publish the highest quality articles, both clinical and scientific, on all aspects of Endodontics. The journal is an official Journal of the Iranian Center for Endodontic Research (ICER) and the Iranian Association of Endodontists (IAE). The Journal welcomes articles related to the scientific or applied aspects of endodontics e.g. original researches, systematic reviews, meta-analyses, review articles, clinical trials, case series/reports, hypotheses, letters to the editor, etc. From the beginning (i.e. since 2006), the IEJ was the first open access endodontic journal in the world, which gave readers free and instant access to published articles and enabling them faster discovery of the latest endodontic research.
×
引用
GB/T 7714-2015
复制
MLA
复制
APA
复制
导出至
BibTeX EndNote RefMan NoteFirst NoteExpress
×
提示
您的信息不完整,为了账户安全,请先补充。
现在去补充
×
提示
您因"违规操作"
具体请查看互助需知
我知道了
×
提示
确定
请完成安全验证×
copy
已复制链接
快去分享给好友吧!
我知道了
右上角分享
点击右上角分享
0
联系我们:info@booksci.cn Book学术提供免费学术资源搜索服务,方便国内外学者检索中英文文献。致力于提供最便捷和优质的服务体验。 Copyright © 2023 布克学术 All rights reserved.
京ICP备2023020795号-1
ghs 京公网安备 11010802042870号
Book学术文献互助
Book学术文献互助群
群 号:604180095
Book学术官方微信