Korean Guidelines for Diagnosis and Management of Idiopathic Nonspecific Interstitial Pneumonia.

IF 3 Q2 RESPIRATORY SYSTEM
Tuberculosis and Respiratory Diseases Pub Date : 2025-04-01 Epub Date: 2025-01-06 DOI:10.4046/trd.2024.0168
Yong Suk Jo, Hyun-Kyung Lee, Sun Hyo Park, Joon Sung Joh, Hye Jin Jang, Jong Sun Park
{"title":"Korean Guidelines for Diagnosis and Management of Idiopathic Nonspecific Interstitial Pneumonia.","authors":"Yong Suk Jo, Hyun-Kyung Lee, Sun Hyo Park, Joon Sung Joh, Hye Jin Jang, Jong Sun Park","doi":"10.4046/trd.2024.0168","DOIUrl":null,"url":null,"abstract":"<p><p>Idiopathic nonspecific interstitial pneumonia (iNSIP) is recognized as a distinct entity among various types of idiopathic interstitial pneumonias. It is identified histologically by the nonspecific interstitial pneumonia pattern. A diagnosis of iNSIP is feasible once secondary causes or underlying diseases are ruled out. Usually presenting with respiratory symptoms such as shortness of breath and cough, iNSIP has a subacute or chronic course. It predominantly affects females aged 50 to 60 years who are non-smokers. Key imaging findings on chest high-resolution computed tomography include bilateral reticular opacities in lower lungs, traction bronchiectasis, reduced lung volumes and, ground-glass opacities. Abnormalities are typically diffuse across both lungs with subpleural distributions. Treatment often involves systemic steroids, either alone or in combination with other immunosuppressants, although evidence supporting effectiveness of these treatments is limited. Prognosis is generally more favorable for iNSIP than for idiopathic pulmonary fibrosis, with many studies reporting a 5-year survival rate above 70%. Antifibrotic agents should be considered in a condition, termed progressive pulmonary fibrosis, where pulmonary fibrosis progressively worsens.</p>","PeriodicalId":23368,"journal":{"name":"Tuberculosis and Respiratory Diseases","volume":"88 2","pages":"237-246"},"PeriodicalIF":3.0000,"publicationDate":"2025-04-01","publicationTypes":"Journal Article","fieldsOfStudy":null,"isOpenAccess":false,"openAccessPdf":"https://www.ncbi.nlm.nih.gov/pmc/articles/PMC12010711/pdf/","citationCount":"0","resultStr":null,"platform":"Semanticscholar","paperid":null,"PeriodicalName":"Tuberculosis and Respiratory Diseases","FirstCategoryId":"1085","ListUrlMain":"https://doi.org/10.4046/trd.2024.0168","RegionNum":0,"RegionCategory":null,"ArticlePicture":[],"TitleCN":null,"AbstractTextCN":null,"PMCID":null,"EPubDate":"2025/1/6 0:00:00","PubModel":"Epub","JCR":"Q2","JCRName":"RESPIRATORY SYSTEM","Score":null,"Total":0}
引用次数: 0

Abstract

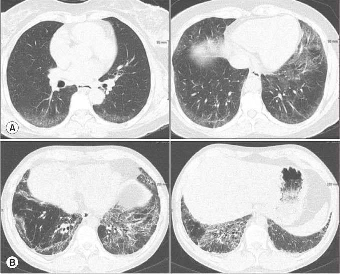
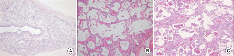
Idiopathic nonspecific interstitial pneumonia (iNSIP) is recognized as a distinct entity among various types of idiopathic interstitial pneumonias. It is identified histologically by the nonspecific interstitial pneumonia pattern. A diagnosis of iNSIP is feasible once secondary causes or underlying diseases are ruled out. Usually presenting with respiratory symptoms such as shortness of breath and cough, iNSIP has a subacute or chronic course. It predominantly affects females aged 50 to 60 years who are non-smokers. Key imaging findings on chest high-resolution computed tomography include bilateral reticular opacities in lower lungs, traction bronchiectasis, reduced lung volumes and, ground-glass opacities. Abnormalities are typically diffuse across both lungs with subpleural distributions. Treatment often involves systemic steroids, either alone or in combination with other immunosuppressants, although evidence supporting effectiveness of these treatments is limited. Prognosis is generally more favorable for iNSIP than for idiopathic pulmonary fibrosis, with many studies reporting a 5-year survival rate above 70%. Antifibrotic agents should be considered in a condition, termed progressive pulmonary fibrosis, where pulmonary fibrosis progressively worsens.

Abstract Image

Abstract Image

韩国特发性非特异性间质性肺炎诊断和治疗指南。
特发性非特异性间质性肺炎(iNSIP)在各种类型的特发性间质性肺炎中被认为是一个独特的实体。它在组织学上由非特异性间质性肺炎模式确定。一旦排除了继发原因或潜在疾病,诊断iNSIP是可行的。iNSIP通常表现为呼吸短促和咳嗽等呼吸道症状,病程为亚急性或慢性。它主要影响50至60岁不吸烟的女性。胸部高分辨率计算机断层扫描的主要影像学表现包括双侧下肺网状混浊,牵引性支气管扩张,肺体积缩小和磨玻璃混浊。异常典型为双肺弥漫性,胸膜下分布。治疗通常涉及全身性类固醇,无论是单独使用还是与其他免疫抑制剂联合使用,尽管支持这些治疗方法有效性的证据有限。与特发性肺纤维化相比,iNSIP的预后通常更有利,许多研究报告5年生存率超过70%。在肺纤维化逐渐恶化的情况下,应考虑使用抗纤维化药物。
本文章由计算机程序翻译,如有差异,请以英文原文为准。
求助全文
约1分钟内获得全文 求助全文
来源期刊
CiteScore
5.30
自引率
0.00%
发文量
42
审稿时长
12 weeks
×
引用
GB/T 7714-2015
复制
MLA
复制
APA
复制
导出至
BibTeX EndNote RefMan NoteFirst NoteExpress
×
提示
您的信息不完整,为了账户安全,请先补充。
现在去补充
×
提示
您因"违规操作"
具体请查看互助需知
我知道了
×
提示
确定
请完成安全验证×
copy
已复制链接
快去分享给好友吧!
我知道了
右上角分享
点击右上角分享
0
联系我们:info@booksci.cn Book学术提供免费学术资源搜索服务,方便国内外学者检索中英文文献。致力于提供最便捷和优质的服务体验。 Copyright © 2023 布克学术 All rights reserved.
京ICP备2023020795号-1
ghs 京公网安备 11010802042870号
Book学术文献互助
Book学术文献互助群
群 号:604180095
Book学术官方微信