An unusual thrombus in a patient with arrhythmogenic cardiomyopathy.

IF 0.7 Q3 CARDIAC & CARDIOVASCULAR SYSTEMS
Journal of Cardiovascular and Thoracic Research Pub Date : 2025-03-18 eCollection Date: 2025-03-01 DOI:10.34172/jcvtr.025.33140
Sezgin Atmaca, Arda Guler, İrem Türkmen, Sinem Aydın, Songul Ustundag, Gamze Babur Guler
{"title":"An unusual thrombus in a patient with arrhythmogenic cardiomyopathy.","authors":"Sezgin Atmaca, Arda Guler, İrem Türkmen, Sinem Aydın, Songul Ustundag, Gamze Babur Guler","doi":"10.34172/jcvtr.025.33140","DOIUrl":null,"url":null,"abstract":"<p><p>Herein we present a case of a right ventricular (RV) thrombus in a patient with arrhythmogenic cardiomyopathy (ACM). The 24-year old female patient was diagnosed with ACM after echocardiography, genetic test and cardiac magnetic resonance imaging. Interestingly, at echocardiography, an unusal thrombus formation was detected at RV lateral wall. Also, CMR confirmed the thrombus and oral anticoagulant therapy was started. During the patient's follow-ups, it was observed that the imaging consistent with the reported thrombus disappeared after effective anticoagulant treatment. After the diagnosis was confirmed with genetic tests, an implantable cardioverter-defibrillator (ICD) was implanted in the patient with a high sudden cardiac death (SCD) risk score. Even in arrhythmogenic right ventricular cardiomyopathy patients thrombi are rarely reported. However, the development of imaging techniques may enable more frequent detection and effective treatment of thrombi in these patients.</p>","PeriodicalId":15207,"journal":{"name":"Journal of Cardiovascular and Thoracic Research","volume":"17 1","pages":"66-69"},"PeriodicalIF":0.7000,"publicationDate":"2025-03-18","publicationTypes":"Journal Article","fieldsOfStudy":null,"isOpenAccess":false,"openAccessPdf":"https://www.ncbi.nlm.nih.gov/pmc/articles/PMC12068800/pdf/","citationCount":"0","resultStr":null,"platform":"Semanticscholar","paperid":null,"PeriodicalName":"Journal of Cardiovascular and Thoracic Research","FirstCategoryId":"1085","ListUrlMain":"https://doi.org/10.34172/jcvtr.025.33140","RegionNum":0,"RegionCategory":null,"ArticlePicture":[],"TitleCN":null,"AbstractTextCN":null,"PMCID":null,"EPubDate":"2025/3/1 0:00:00","PubModel":"eCollection","JCR":"Q3","JCRName":"CARDIAC & CARDIOVASCULAR SYSTEMS","Score":null,"Total":0}
引用次数: 0

Abstract

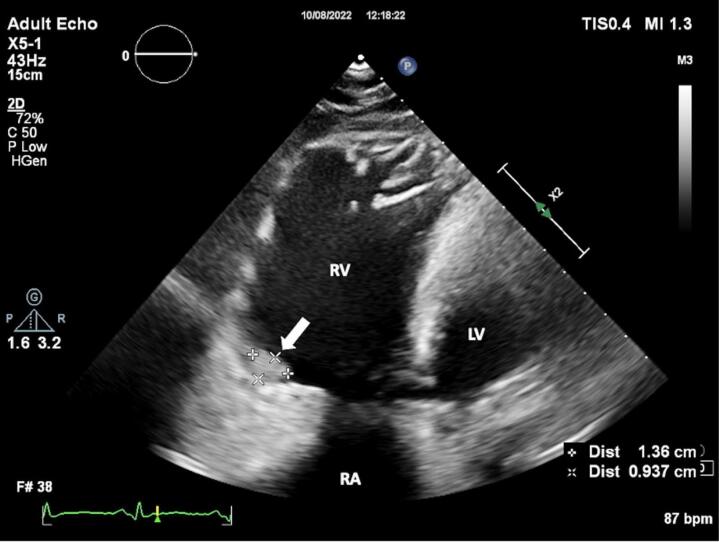
Herein we present a case of a right ventricular (RV) thrombus in a patient with arrhythmogenic cardiomyopathy (ACM). The 24-year old female patient was diagnosed with ACM after echocardiography, genetic test and cardiac magnetic resonance imaging. Interestingly, at echocardiography, an unusal thrombus formation was detected at RV lateral wall. Also, CMR confirmed the thrombus and oral anticoagulant therapy was started. During the patient's follow-ups, it was observed that the imaging consistent with the reported thrombus disappeared after effective anticoagulant treatment. After the diagnosis was confirmed with genetic tests, an implantable cardioverter-defibrillator (ICD) was implanted in the patient with a high sudden cardiac death (SCD) risk score. Even in arrhythmogenic right ventricular cardiomyopathy patients thrombi are rarely reported. However, the development of imaging techniques may enable more frequent detection and effective treatment of thrombi in these patients.

Abstract Image

Abstract Image

Abstract Image

心律失常性心肌病患者的不寻常血栓。
在这里,我们提出一个病例右心室(RV)血栓的病人与心律失常性心肌病(ACM)。24岁女性患者经超声心动图、基因检测和心脏磁共振成像诊断为ACM。有趣的是,在超声心动图上,在右心室侧壁发现了一个不寻常的血栓形成。此外,CMR证实血栓和口服抗凝治疗已经开始。在患者的随访中,我们观察到,在有效的抗凝治疗后,与报告的血栓一致的图像消失了。在基因检测确诊后,对心源性猝死(SCD)风险评分较高的患者植入植入式心律转复除颤器(ICD)。即使在致心律失常的右室心肌病患者中,血栓也很少被报道。然而,成像技术的发展可能使这些患者更频繁地检测和有效地治疗血栓。
本文章由计算机程序翻译,如有差异,请以英文原文为准。
求助全文
约1分钟内获得全文 求助全文
来源期刊
Journal of Cardiovascular and Thoracic Research
Journal of Cardiovascular and Thoracic Research CARDIAC & CARDIOVASCULAR SYSTEMS-
CiteScore
2.00
自引率
0.00%
发文量
22
审稿时长
7 weeks
×
引用
GB/T 7714-2015
复制
MLA
复制
APA
复制
导出至
BibTeX EndNote RefMan NoteFirst NoteExpress
×
提示
您的信息不完整,为了账户安全,请先补充。
现在去补充
×
提示
您因"违规操作"
具体请查看互助需知
我知道了
×
提示
确定
请完成安全验证×
copy
已复制链接
快去分享给好友吧!
我知道了
右上角分享
点击右上角分享
0
联系我们:info@booksci.cn Book学术提供免费学术资源搜索服务,方便国内外学者检索中英文文献。致力于提供最便捷和优质的服务体验。 Copyright © 2023 布克学术 All rights reserved.
京ICP备2023020795号-1
ghs 京公网安备 11010802042870号
Book学术文献互助
Book学术文献互助群
群 号:604180095
Book学术官方微信