Fusobacterium Species in Osteoarticular Infections in Childhood-A Systematic Review with Data Synthesis and a Case Series in the Acetabular and Hip Joint Regions.

IF 2.4 Q2 INFECTIOUS DISEASES
Heide Delbrück, Silvia Schröder, Tom Stapper, Sabine Schacht, Angeliki Pappa, Frank Hildebrand, Miriam Katharina Hertwig
{"title":"<i>Fusobacterium</i> Species in Osteoarticular Infections in Childhood-A Systematic Review with Data Synthesis and a Case Series in the Acetabular and Hip Joint Regions.","authors":"Heide Delbrück, Silvia Schröder, Tom Stapper, Sabine Schacht, Angeliki Pappa, Frank Hildebrand, Miriam Katharina Hertwig","doi":"10.3390/idr17020030","DOIUrl":null,"url":null,"abstract":"<p><p><b>Background</b>: In paediatric osteoarticular infections, microorganism detection is unsuccessful in up to 55% of cases, which is not satisfactory for targeted antibiotic therapy. In particular, anaerobic fusobacteria may be underdiagnosed owing to a lack of knowledge about their properties. <b>Methods</b>: Based on three of our own cases and a systematic literature review regarding paediatric osteoarticular fusobacterial infections, we extracted characteristic variables and synthesised them in terms of frequencies and mean comparisons. We followed the CARE and PRISMA guidelines. <b>Results</b>: In our three patients with hip area infections (aged 11, 12, and 16 years; two males and one female; two with <i>Fusobacterium nucleatum</i> [FNU] and one with <i>Fusobacterium necrophorum</i> [FNE]), we only detected FNU with PCR. The patient with an FNE infection showed a septic and protracted course with six surgical interventions and secondary coxarthrosis during the follow-up. The FNU infections were milder and healed without sequelae. In the literature, there are no articles with more than 3 cases; overall, we identified 38 case reports and 3 case series with a total of 45 patients. Across all synthesised cases (73% boys), the age was 9.2 ± 4.1 years. Most patients (42%) were affected by hip joint arthritis, with or without accompanying acetabular or femoral osteomyelitis, followed by knee joint arthritis, with or without osteomyelitis, in 24% of patients. In 49% of cases, there was an ear, nose, and throat focus. Depending on the affected structure, arthrotomy (33%), arthroscopy (11%), bone (24%), and soft tissue (9%) debridement were performed, with 34% of the procedures having to be performed several times. Penicillins, metronidazole, and clindamycin were the most used antibiotics. In 32 cases (71%), the authors reported healing without sequelae. <b>Conclusions</b>: When samples are collected in the operating theatre for paediatric osteoarticular infections, orthopaedic surgeons should also ensure correct anaerobic sampling and consider the possibility of performing PCR. A typical child with an osteoarticular fusobacterial infection is a boy of approximately 10 years of age with an infection in the hip area and a previous infection in the ENT area.</p>","PeriodicalId":13579,"journal":{"name":"Infectious Disease Reports","volume":"17 2","pages":""},"PeriodicalIF":2.4000,"publicationDate":"2025-04-10","publicationTypes":"Journal Article","fieldsOfStudy":null,"isOpenAccess":false,"openAccessPdf":"https://www.ncbi.nlm.nih.gov/pmc/articles/PMC12026919/pdf/","citationCount":"0","resultStr":null,"platform":"Semanticscholar","paperid":null,"PeriodicalName":"Infectious Disease Reports","FirstCategoryId":"1085","ListUrlMain":"https://doi.org/10.3390/idr17020030","RegionNum":0,"RegionCategory":null,"ArticlePicture":[],"TitleCN":null,"AbstractTextCN":null,"PMCID":null,"EPubDate":"","PubModel":"","JCR":"Q2","JCRName":"INFECTIOUS DISEASES","Score":null,"Total":0}
引用次数: 0

Abstract

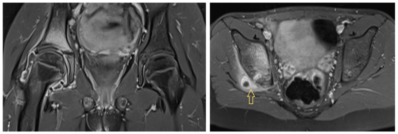
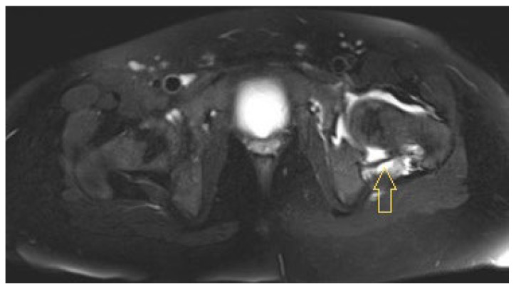
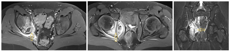
Background: In paediatric osteoarticular infections, microorganism detection is unsuccessful in up to 55% of cases, which is not satisfactory for targeted antibiotic therapy. In particular, anaerobic fusobacteria may be underdiagnosed owing to a lack of knowledge about their properties. Methods: Based on three of our own cases and a systematic literature review regarding paediatric osteoarticular fusobacterial infections, we extracted characteristic variables and synthesised them in terms of frequencies and mean comparisons. We followed the CARE and PRISMA guidelines. Results: In our three patients with hip area infections (aged 11, 12, and 16 years; two males and one female; two with Fusobacterium nucleatum [FNU] and one with Fusobacterium necrophorum [FNE]), we only detected FNU with PCR. The patient with an FNE infection showed a septic and protracted course with six surgical interventions and secondary coxarthrosis during the follow-up. The FNU infections were milder and healed without sequelae. In the literature, there are no articles with more than 3 cases; overall, we identified 38 case reports and 3 case series with a total of 45 patients. Across all synthesised cases (73% boys), the age was 9.2 ± 4.1 years. Most patients (42%) were affected by hip joint arthritis, with or without accompanying acetabular or femoral osteomyelitis, followed by knee joint arthritis, with or without osteomyelitis, in 24% of patients. In 49% of cases, there was an ear, nose, and throat focus. Depending on the affected structure, arthrotomy (33%), arthroscopy (11%), bone (24%), and soft tissue (9%) debridement were performed, with 34% of the procedures having to be performed several times. Penicillins, metronidazole, and clindamycin were the most used antibiotics. In 32 cases (71%), the authors reported healing without sequelae. Conclusions: When samples are collected in the operating theatre for paediatric osteoarticular infections, orthopaedic surgeons should also ensure correct anaerobic sampling and consider the possibility of performing PCR. A typical child with an osteoarticular fusobacterial infection is a boy of approximately 10 years of age with an infection in the hip area and a previous infection in the ENT area.

Abstract Image

Abstract Image

Abstract Image

儿童骨关节感染中的梭杆菌种类-髋臼和髋关节区域的数据综合和病例系列的系统综述。
背景:在儿童骨关节感染中,高达55%的病例微生物检测不成功,这对靶向抗生素治疗不满意。特别是,由于缺乏对厌氧梭杆菌特性的了解,可能会被误诊。方法:基于我们自己的三个病例和关于儿童骨关节梭菌感染的系统文献综述,我们提取特征变量,并根据频率和平均比较综合它们。我们遵循CARE和PRISMA指南。结果:我们的3例髋部感染患者(年龄分别为11岁、12岁和16岁;两男一女;2例为核梭杆菌(FNU), 1例为坏死梭杆菌(FNE),仅用PCR检测FNU。在随访期间,FNE感染患者表现为脓毒症和延长的过程,进行了六次手术干预和继发性关节融合。FNU感染较轻,愈合无后遗症。文献中没有超过3例的文章;总的来说,我们确定了38例病例报告和3例病例系列,共45例患者。在所有合成病例中(73%为男孩),年龄为9.2±4.1岁。大多数患者(42%)患有髋关节关节炎,伴或不伴髋臼或股骨骨髓炎,其次是膝关节关节炎,伴或不伴骨髓炎,24%的患者。在49%的病例中,有耳、鼻、喉灶。根据受影响的结构,进行关节切开术(33%)、关节镜检查(11%)、骨清创(24%)和软组织清创(9%),其中34%的手术必须进行多次。青霉素、甲硝唑和克林霉素是使用最多的抗生素。在32例(71%)中,作者报告愈合无后遗症。结论:骨科医生在手术室采集小儿骨关节感染标本时,也应确保正确的厌氧取样,并考虑进行PCR的可能性。典型的骨关节梭菌感染儿童是大约10岁的男孩,髋部感染,耳鼻喉部感染。
本文章由计算机程序翻译,如有差异,请以英文原文为准。
求助全文
约1分钟内获得全文 求助全文
来源期刊
Infectious Disease Reports
Infectious Disease Reports INFECTIOUS DISEASES-
CiteScore
5.10
自引率
0.00%
发文量
82
审稿时长
11 weeks
×
引用
GB/T 7714-2015
复制
MLA
复制
APA
复制
导出至
BibTeX EndNote RefMan NoteFirst NoteExpress
×
提示
您的信息不完整,为了账户安全,请先补充。
现在去补充
×
提示
您因"违规操作"
具体请查看互助需知
我知道了
×
提示
确定
请完成安全验证×
copy
已复制链接
快去分享给好友吧!
我知道了
右上角分享
点击右上角分享
0
联系我们:info@booksci.cn Book学术提供免费学术资源搜索服务,方便国内外学者检索中英文文献。致力于提供最便捷和优质的服务体验。 Copyright © 2023 布克学术 All rights reserved.
京ICP备2023020795号-1
ghs 京公网安备 11010802042870号
Book学术文献互助
Book学术文献互助群
群 号:604180095
Book学术官方微信