Bio-obturation: A Novel Approach in Root Canal Treatment Using Endodontic Biomaterials.

Q3 Dentistry
Iranian Endodontic Journal Pub Date : 2025-01-01 Epub Date: 2025-02-19 DOI:10.22037/iej.v20i1.47630
Saeed Asgary
{"title":"Bio-obturation: A Novel Approach in Root Canal Treatment Using Endodontic Biomaterials.","authors":"Saeed Asgary","doi":"10.22037/iej.v20i1.47630","DOIUrl":null,"url":null,"abstract":"<p><p>Bio-obturation is an innovative approach in root canal therapy that effectively addresses complex clinical challenges using bioactive endodontic materials. This report highlights 14 diverse cases where bio-obturation was employed to manage complications such as internal and external resorption, root perforations, draining sinus tracts, mechanical obstructions, and trauma-related injuries. The outcomes demonstrate notable healing and resolution of various tooth related pathologies in failed primary root canal treatments. Root perforations and canal blockages were successfully sealed, restoring the integrity of the root canal system and ensuring continued tooth function and retention. Bio-obturation facilitated stabilization and regeneration of periradicular and supporting tissues in trauma cases, including avulsed teeth and inflammatory root resorption. Cases involving open apices, dens invaginatus, and complex root canal anatomy also showed favorable results. Overall, bio-obturation offers a transformative alternative to conventional root canal filling by promoting enhanced biological sealing and improved periradicular healing, thus increasing the probability of sustainable long-term clinical success. While calcium-enriched mixture cement served as the bioactive material in these cases, this approach may also be effectively implemented using other advanced calcium silicate-based biomaterials, broadening its applicability in challenging endodontic scenarios.</p>","PeriodicalId":14534,"journal":{"name":"Iranian Endodontic Journal","volume":"20 1","pages":"e15"},"PeriodicalIF":0.0000,"publicationDate":"2025-01-01","publicationTypes":"Journal Article","fieldsOfStudy":null,"isOpenAccess":false,"openAccessPdf":"https://www.ncbi.nlm.nih.gov/pmc/articles/PMC11980999/pdf/","citationCount":"0","resultStr":null,"platform":"Semanticscholar","paperid":null,"PeriodicalName":"Iranian Endodontic Journal","FirstCategoryId":"1085","ListUrlMain":"https://doi.org/10.22037/iej.v20i1.47630","RegionNum":0,"RegionCategory":null,"ArticlePicture":[],"TitleCN":null,"AbstractTextCN":null,"PMCID":null,"EPubDate":"2025/2/19 0:00:00","PubModel":"Epub","JCR":"Q3","JCRName":"Dentistry","Score":null,"Total":0}
引用次数: 0

Abstract

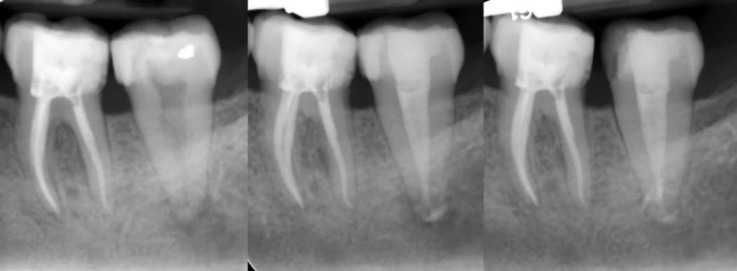
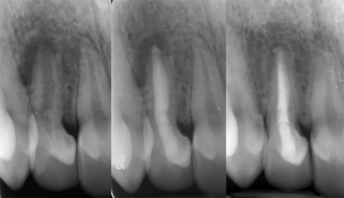
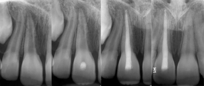
Bio-obturation is an innovative approach in root canal therapy that effectively addresses complex clinical challenges using bioactive endodontic materials. This report highlights 14 diverse cases where bio-obturation was employed to manage complications such as internal and external resorption, root perforations, draining sinus tracts, mechanical obstructions, and trauma-related injuries. The outcomes demonstrate notable healing and resolution of various tooth related pathologies in failed primary root canal treatments. Root perforations and canal blockages were successfully sealed, restoring the integrity of the root canal system and ensuring continued tooth function and retention. Bio-obturation facilitated stabilization and regeneration of periradicular and supporting tissues in trauma cases, including avulsed teeth and inflammatory root resorption. Cases involving open apices, dens invaginatus, and complex root canal anatomy also showed favorable results. Overall, bio-obturation offers a transformative alternative to conventional root canal filling by promoting enhanced biological sealing and improved periradicular healing, thus increasing the probability of sustainable long-term clinical success. While calcium-enriched mixture cement served as the bioactive material in these cases, this approach may also be effectively implemented using other advanced calcium silicate-based biomaterials, broadening its applicability in challenging endodontic scenarios.

Abstract Image

Abstract Image

Abstract Image

生物封闭:一种使用根管生物材料治疗根管的新方法。
生物封闭是一种创新的根管治疗方法,它有效地解决了使用生物活性根管材料的复杂临床挑战。本报告重点介绍了14例采用生物封闭术治疗并发症的病例,这些并发症包括内外吸收、牙根穿孔、窦道引流、机械阻塞和创伤相关损伤。结果表明,在失败的主要根管治疗中,各种牙齿相关病变的愈合和消退显著。根管穿孔和根管堵塞被成功封闭,恢复了根管系统的完整性,确保了牙齿的持续功能和固位。生物封闭有助于创伤病例根周和支持组织的稳定和再生,包括牙齿撕脱和炎症性牙根吸收。涉及开放根尖、牙槽内陷和复杂根管解剖的病例也显示出良好的结果。总的来说,生物封闭是传统根管充填的一种变革性替代方法,它促进了生物密封和根周愈合,从而增加了可持续的长期临床成功的可能性。虽然在这些情况下,富钙混合水泥作为生物活性材料,但这种方法也可以使用其他先进的硅酸钙基生物材料有效地实施,扩大其在具有挑战性的牙髓治疗场景中的适用性。
本文章由计算机程序翻译,如有差异,请以英文原文为准。
求助全文
约1分钟内获得全文 求助全文
来源期刊
Iranian Endodontic Journal
Iranian Endodontic Journal Dentistry-Dentistry (all)
CiteScore
1.30
自引率
0.00%
发文量
0
审稿时长
12 weeks
期刊介绍: The Iranian Endodontic Journal (IEJ) is an international peer-reviewed biomedical publication, the aim of which is to provide a scientific medium of communication for researchers throughout the globe. IEJ aims to publish the highest quality articles, both clinical and scientific, on all aspects of Endodontics. The journal is an official Journal of the Iranian Center for Endodontic Research (ICER) and the Iranian Association of Endodontists (IAE). The Journal welcomes articles related to the scientific or applied aspects of endodontics e.g. original researches, systematic reviews, meta-analyses, review articles, clinical trials, case series/reports, hypotheses, letters to the editor, etc. From the beginning (i.e. since 2006), the IEJ was the first open access endodontic journal in the world, which gave readers free and instant access to published articles and enabling them faster discovery of the latest endodontic research.
×
引用
GB/T 7714-2015
复制
MLA
复制
APA
复制
导出至
BibTeX EndNote RefMan NoteFirst NoteExpress
×
提示
您的信息不完整,为了账户安全,请先补充。
现在去补充
×
提示
您因"违规操作"
具体请查看互助需知
我知道了
×
提示
确定
请完成安全验证×
copy
已复制链接
快去分享给好友吧!
我知道了
右上角分享
点击右上角分享
0
联系我们:info@booksci.cn Book学术提供免费学术资源搜索服务,方便国内外学者检索中英文文献。致力于提供最便捷和优质的服务体验。 Copyright © 2023 布克学术 All rights reserved.
京ICP备2023020795号-1
ghs 京公网安备 11010802042870号
Book学术文献互助
Book学术文献互助群
群 号:604180095
Book学术官方微信