Delayed-Onset Hemothorax Following Cough-Induced Rib Fracture.

Q4 Medicine
Case Reports in Pulmonology Pub Date : 2025-04-03 eCollection Date: 2025-01-01 DOI:10.1155/crpu/7977884
Katrina Villegas Md, Arielle Aiken Md, Mohammed Halabiya Md, Mourad Ismail Md
{"title":"Delayed-Onset Hemothorax Following Cough-Induced Rib Fracture.","authors":"Katrina Villegas Md, Arielle Aiken Md, Mohammed Halabiya Md, Mourad Ismail Md","doi":"10.1155/crpu/7977884","DOIUrl":null,"url":null,"abstract":"<p><p>Hemothorax, the accumulation of blood in the pleural space, is most frequently linked to chest trauma but can occasionally result from nontraumatic causes such as persistent or forceful coughing. Cough-induced rib fractures are rare, with an even less frequent association with hemothorax. We describe a case involving a 57-year-old male who presented with a worsening cough and left-sided pleuritic chest pain despite prior antibiotic and symptomatic treatment. Initial imaging revealed a minimally displaced 10th rib fracture, left-sided atelectasis, and trace pleural effusion. During his hospital stay, he developed acute respiratory distress and increased chest pain, with repeat imaging revealing a large left-sided hemothorax. Chest tube placement drained 1100 mL of blood, supporting the diagnosis of hemothorax, as evidenced by clinical presentation and imaging, despite the absence of fluid analysis. The patient's condition improved following the intervention, and he was discharged in stable condition without recurrence of hemothorax on follow-up imaging. This case highlights the rare association between cough-induced traumatic rib fractures and delayed development of hemothorax. While rib fractures typically result from blunt trauma, they can also occur from stress or repetitive coughing. Complications such as hemothorax are uncommon but potentially life-threatening. The interval development of hemothorax, as seen in this patient, underscores the importance of serial monitoring in cases of rib fractures with ongoing symptoms. Clinicians should maintain a high index of suspicion for hemothorax in patients presenting with rib fractures and persistent cough, particularly in the context of worsening respiratory symptoms or pleuritic chest pain. Early recognition and timely intervention are critical to optimizing outcomes and mitigating the risks of rapid clinical deterioration.</p>","PeriodicalId":52364,"journal":{"name":"Case Reports in Pulmonology","volume":"2025 ","pages":"7977884"},"PeriodicalIF":0.0000,"publicationDate":"2025-04-03","publicationTypes":"Journal Article","fieldsOfStudy":null,"isOpenAccess":false,"openAccessPdf":"https://www.ncbi.nlm.nih.gov/pmc/articles/PMC11991826/pdf/","citationCount":"0","resultStr":null,"platform":"Semanticscholar","paperid":null,"PeriodicalName":"Case Reports in Pulmonology","FirstCategoryId":"1085","ListUrlMain":"https://doi.org/10.1155/crpu/7977884","RegionNum":0,"RegionCategory":null,"ArticlePicture":[],"TitleCN":null,"AbstractTextCN":null,"PMCID":null,"EPubDate":"2025/1/1 0:00:00","PubModel":"eCollection","JCR":"Q4","JCRName":"Medicine","Score":null,"Total":0}
引用次数: 0

Abstract

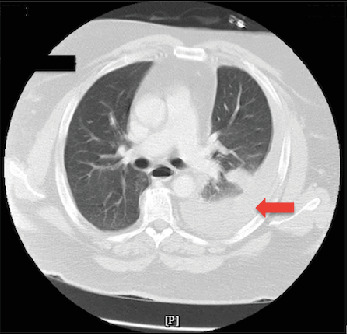
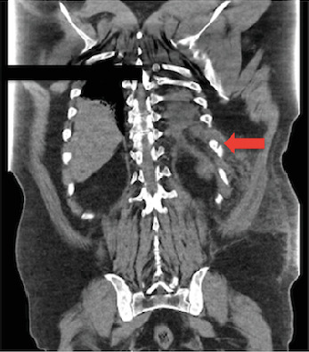
Hemothorax, the accumulation of blood in the pleural space, is most frequently linked to chest trauma but can occasionally result from nontraumatic causes such as persistent or forceful coughing. Cough-induced rib fractures are rare, with an even less frequent association with hemothorax. We describe a case involving a 57-year-old male who presented with a worsening cough and left-sided pleuritic chest pain despite prior antibiotic and symptomatic treatment. Initial imaging revealed a minimally displaced 10th rib fracture, left-sided atelectasis, and trace pleural effusion. During his hospital stay, he developed acute respiratory distress and increased chest pain, with repeat imaging revealing a large left-sided hemothorax. Chest tube placement drained 1100 mL of blood, supporting the diagnosis of hemothorax, as evidenced by clinical presentation and imaging, despite the absence of fluid analysis. The patient's condition improved following the intervention, and he was discharged in stable condition without recurrence of hemothorax on follow-up imaging. This case highlights the rare association between cough-induced traumatic rib fractures and delayed development of hemothorax. While rib fractures typically result from blunt trauma, they can also occur from stress or repetitive coughing. Complications such as hemothorax are uncommon but potentially life-threatening. The interval development of hemothorax, as seen in this patient, underscores the importance of serial monitoring in cases of rib fractures with ongoing symptoms. Clinicians should maintain a high index of suspicion for hemothorax in patients presenting with rib fractures and persistent cough, particularly in the context of worsening respiratory symptoms or pleuritic chest pain. Early recognition and timely intervention are critical to optimizing outcomes and mitigating the risks of rapid clinical deterioration.

Abstract Image

Abstract Image

咳嗽致肋骨骨折后迟发性血胸。
血胸,即血液在胸膜间隙的积聚,最常与胸部创伤有关,但偶尔也可能由非创伤性原因引起,如持续或强烈的咳嗽。咳嗽引起的肋骨骨折是罕见的,与血胸的联系更少。我们描述一个病例涉及一个57岁的男性谁提出了恶化的咳嗽和左侧胸膜炎胸痛,尽管先前的抗生素和对症治疗。初步影像学显示轻度移位的第10肋骨骨折,左侧肺不张和微量胸腔积液。住院期间,患者出现急性呼吸窘迫,胸痛加重,反复显像显示左侧大量血胸。胸腔置管引流1100ml血液,临床表现和影像学证实了血胸的诊断,尽管没有液体分析。干预后患者病情好转,出院时病情稳定,随访影像学无血胸复发。本病例强调了咳嗽引起的外伤性肋骨骨折与迟发性血胸之间的罕见联系。虽然肋骨骨折通常由钝性创伤引起,但也可能由压力或反复咳嗽引起。血胸等并发症并不常见,但可能危及生命。如本例患者所见,血胸的间隔性发展强调了对有持续症状的肋骨骨折病例进行连续监测的重要性。临床医生应高度怀疑出现肋骨骨折和持续咳嗽的患者是否有血胸,特别是在呼吸道症状恶化或胸膜炎性胸痛的情况下。早期识别和及时干预对于优化结果和减轻快速临床恶化的风险至关重要。
本文章由计算机程序翻译,如有差异,请以英文原文为准。
求助全文
约1分钟内获得全文 求助全文
来源期刊
Case Reports in Pulmonology
Case Reports in Pulmonology Medicine-Pulmonary and Respiratory Medicine
CiteScore
1.80
自引率
0.00%
发文量
23
审稿时长
13 weeks
×
引用
GB/T 7714-2015
复制
MLA
复制
APA
复制
导出至
BibTeX EndNote RefMan NoteFirst NoteExpress
×
提示
您的信息不完整,为了账户安全,请先补充。
现在去补充
×
提示
您因"违规操作"
具体请查看互助需知
我知道了
×
提示
确定
请完成安全验证×
copy
已复制链接
快去分享给好友吧!
我知道了
右上角分享
点击右上角分享
0
联系我们:info@booksci.cn Book学术提供免费学术资源搜索服务,方便国内外学者检索中英文文献。致力于提供最便捷和优质的服务体验。 Copyright © 2023 布克学术 All rights reserved.
京ICP备2023020795号-1
ghs 京公网安备 11010802042870号
Book学术文献互助
Book学术文献互助群
群 号:604180095
Book学术官方微信