Frequently Asked Questions on Imaging in Chimeric Antigen Receptor T-Cell Therapy Clinical Trials.

IF 5.3 2区 医学 Q1 RADIOLOGY, NUCLEAR MEDICINE & MEDICAL IMAGING
Sang Eun Won, Eun Sung Lee, Chong Hyun Suh, Sinae Kim, Hyo Jung Park, Kyung Won Kim, Jeffrey P Guenette
{"title":"Frequently Asked Questions on Imaging in Chimeric Antigen Receptor T-Cell Therapy Clinical Trials.","authors":"Sang Eun Won, Eun Sung Lee, Chong Hyun Suh, Sinae Kim, Hyo Jung Park, Kyung Won Kim, Jeffrey P Guenette","doi":"10.3348/kjr.2024.1126","DOIUrl":null,"url":null,"abstract":"<p><p>Clinical trials for chimeric antigen receptor (CAR) T-cell therapy are in the early stages but are expected to progress alongside new treatment approaches. This suggests that imaging will play an important role in monitoring disease progression, treatment response, and treatment-related side effects. There are, however, challenges that remain unresolved, regarding imaging in CAR T-cell therapy. We herein discuss the role of imaging, focusing on how tumor response evaluation varies according to cancer type and target antigens in CAR T-cell therapy. CAR T-cell therapy often produces rapid and significant responses, and imaging is vital for identifying side effects such as cytokine release syndrome and neurotoxicity. Radiologists should be aware of drug mechanisms, response assessments, and associated toxicities to effectively support these therapies. Additionally, this article highlights the importance of the Lugano criteria, which is essential for standardized assessment of treatment response, particularly in lymphoma therapies, and also explores other factors influencing imaging-based evaluation, including emerging methodologies and their potential to improve the accuracy and consistency of response assessments.</p>","PeriodicalId":17881,"journal":{"name":"Korean Journal of Radiology","volume":"26 5","pages":"471-484"},"PeriodicalIF":5.3000,"publicationDate":"2025-05-01","publicationTypes":"Journal Article","fieldsOfStudy":null,"isOpenAccess":false,"openAccessPdf":"https://www.ncbi.nlm.nih.gov/pmc/articles/PMC12055261/pdf/","citationCount":"0","resultStr":null,"platform":"Semanticscholar","paperid":null,"PeriodicalName":"Korean Journal of Radiology","FirstCategoryId":"3","ListUrlMain":"https://doi.org/10.3348/kjr.2024.1126","RegionNum":2,"RegionCategory":"医学","ArticlePicture":[],"TitleCN":null,"AbstractTextCN":null,"PMCID":null,"EPubDate":"","PubModel":"","JCR":"Q1","JCRName":"RADIOLOGY, NUCLEAR MEDICINE & MEDICAL IMAGING","Score":null,"Total":0}
引用次数: 0

Abstract

Clinical trials for chimeric antigen receptor (CAR) T-cell therapy are in the early stages but are expected to progress alongside new treatment approaches. This suggests that imaging will play an important role in monitoring disease progression, treatment response, and treatment-related side effects. There are, however, challenges that remain unresolved, regarding imaging in CAR T-cell therapy. We herein discuss the role of imaging, focusing on how tumor response evaluation varies according to cancer type and target antigens in CAR T-cell therapy. CAR T-cell therapy often produces rapid and significant responses, and imaging is vital for identifying side effects such as cytokine release syndrome and neurotoxicity. Radiologists should be aware of drug mechanisms, response assessments, and associated toxicities to effectively support these therapies. Additionally, this article highlights the importance of the Lugano criteria, which is essential for standardized assessment of treatment response, particularly in lymphoma therapies, and also explores other factors influencing imaging-based evaluation, including emerging methodologies and their potential to improve the accuracy and consistency of response assessments.

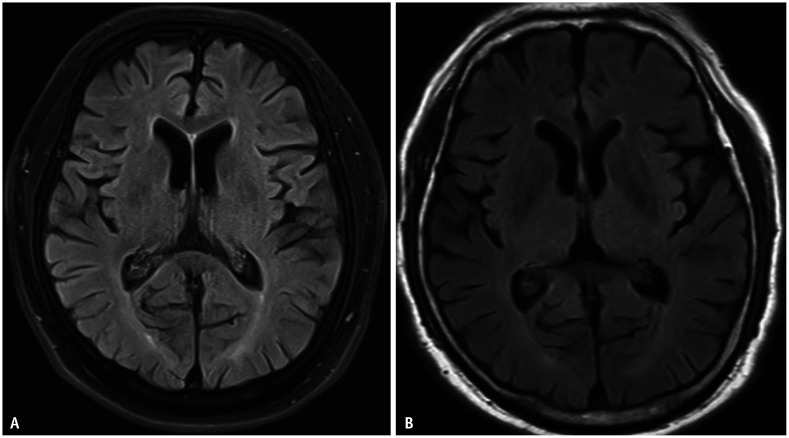
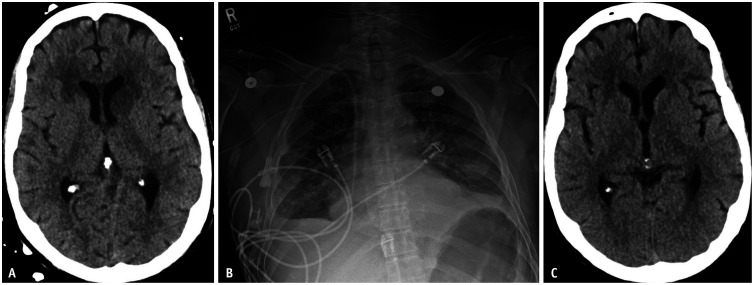
Abstract Image

Abstract Image

Abstract Image

嵌合抗原受体t细胞治疗临床试验中成像的常见问题。
嵌合抗原受体(CAR) t细胞疗法的临床试验尚处于早期阶段,但有望随着新治疗方法的出现而取得进展。这表明成像将在监测疾病进展、治疗反应和治疗相关副作用方面发挥重要作用。然而,在CAR - t细胞治疗的成像方面,仍存在未解决的挑战。我们在此讨论了成像的作用,重点是肿瘤反应评估如何根据CAR - t细胞治疗中的癌症类型和靶抗原而变化。CAR - t细胞疗法通常会产生快速而显著的反应,成像对于识别诸如细胞因子释放综合征和神经毒性等副作用至关重要。放射科医生应该了解药物机制、反应评估和相关的毒性,以有效地支持这些治疗。此外,本文强调了Lugano标准的重要性,这对于治疗反应的标准化评估至关重要,特别是在淋巴瘤治疗中,并探讨了影响基于成像的评估的其他因素,包括新兴方法及其提高反应评估准确性和一致性的潜力。
本文章由计算机程序翻译,如有差异,请以英文原文为准。
求助全文
约1分钟内获得全文 求助全文
来源期刊
Korean Journal of Radiology
Korean Journal of Radiology 医学-核医学
CiteScore
10.60
自引率
12.50%
发文量
141
审稿时长
1.3 months
期刊介绍: The inaugural issue of the Korean J Radiol came out in March 2000. Our journal aims to produce and propagate knowledge on radiologic imaging and related sciences. A unique feature of the articles published in the Journal will be their reflection of global trends in radiology combined with an East-Asian perspective. Geographic differences in disease prevalence will be reflected in the contents of papers, and this will serve to enrich our body of knowledge. World''s outstanding radiologists from many countries are serving as editorial board of our journal.
×
引用
GB/T 7714-2015
复制
MLA
复制
APA
复制
导出至
BibTeX EndNote RefMan NoteFirst NoteExpress
×
提示
您的信息不完整,为了账户安全,请先补充。
现在去补充
×
提示
您因"违规操作"
具体请查看互助需知
我知道了
×
提示
确定
请完成安全验证×
copy
已复制链接
快去分享给好友吧!
我知道了
右上角分享
点击右上角分享
0
联系我们:info@booksci.cn Book学术提供免费学术资源搜索服务,方便国内外学者检索中英文文献。致力于提供最便捷和优质的服务体验。 Copyright © 2023 布克学术 All rights reserved.
京ICP备2023020795号-1
ghs 京公网安备 11010802042870号
Book学术文献互助
Book学术文献互助群
群 号:604180095
Book学术官方微信