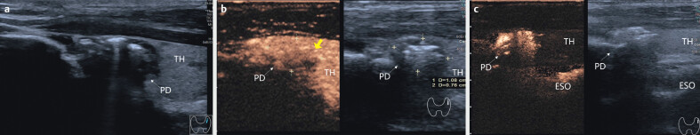
Oral Contrast-enhanced Ultrasonography Diagnosis of Pharyngoesophageal Diverticulum Resembling Thyroid Nodules or Lymph Nodes: Case Series.

IF 1.6 Q3 RADIOLOGY, NUCLEAR MEDICINE & MEDICAL IMAGING
Ultrasound International Open Pub Date : 2025-04-14 eCollection Date: 2025-01-01 DOI:10.1055/a-2525-5961
Wanbing Qiu, Qianyi Dou, Lu-Yao Zhou, Jia Luo, Fushun Pan, Wei Wang, Yan-Ling Zheng, Xiao-Yan Xie, Jinyu Liang
{"title":"Oral Contrast-enhanced Ultrasonography Diagnosis of Pharyngoesophageal Diverticulum Resembling Thyroid Nodules or Lymph Nodes: Case Series.","authors":"Wanbing Qiu, Qianyi Dou, Lu-Yao Zhou, Jia Luo, Fushun Pan, Wei Wang, Yan-Ling Zheng, Xiao-Yan Xie, Jinyu Liang","doi":"10.1055/a-2525-5961","DOIUrl":null,"url":null,"abstract":"","PeriodicalId":44852,"journal":{"name":"Ultrasound International Open","volume":"11 ","pages":"a25255961"},"PeriodicalIF":1.6000,"publicationDate":"2025-04-14","publicationTypes":"Journal Article","fieldsOfStudy":null,"isOpenAccess":false,"openAccessPdf":"https://www.ncbi.nlm.nih.gov/pmc/articles/PMC12039950/pdf/","citationCount":"0","resultStr":null,"platform":"Semanticscholar","paperid":null,"PeriodicalName":"Ultrasound International Open","FirstCategoryId":"1085","ListUrlMain":"https://doi.org/10.1055/a-2525-5961","RegionNum":0,"RegionCategory":null,"ArticlePicture":[],"TitleCN":null,"AbstractTextCN":null,"PMCID":null,"EPubDate":"2025/1/1 0:00:00","PubModel":"eCollection","JCR":"Q3","JCRName":"RADIOLOGY, NUCLEAR MEDICINE & MEDICAL IMAGING","Score":null,"Total":0}
引用次数: 0

Abstract Image

Abstract Image

Abstract Image

口腔超声造影诊断类似甲状腺结节或淋巴结的咽食管憩室:病例系列。
本文章由计算机程序翻译,如有差异,请以英文原文为准。
求助全文
约1分钟内获得全文 求助全文
来源期刊
Ultrasound International Open
Ultrasound International Open RADIOLOGY, NUCLEAR MEDICINE & MEDICAL IMAGING-
CiteScore
3.00
自引率
0.00%
发文量
7
审稿时长
12 weeks
×
引用
GB/T 7714-2015
复制
MLA
复制
APA
复制
导出至
BibTeX EndNote RefMan NoteFirst NoteExpress
×
提示
您的信息不完整,为了账户安全,请先补充。
现在去补充
×
提示
您因"违规操作"
具体请查看互助需知
我知道了
×
提示
确定
请完成安全验证×
copy
已复制链接
快去分享给好友吧!
我知道了
右上角分享
点击右上角分享
0
联系我们:info@booksci.cn Book学术提供免费学术资源搜索服务,方便国内外学者检索中英文文献。致力于提供最便捷和优质的服务体验。 Copyright © 2023 布克学术 All rights reserved.
京ICP备2023020795号-1
ghs 京公网安备 11010802042870号
Book学术文献互助
Book学术文献互助群
群 号:604180095
Book学术官方微信