Evaluation of Immunohistochemical Expression of Beta-catenin and E-cadherin as Epithelial-Mesenchymal Transition Markers in Colorectal Carcinoma - An Analytical Retrospective Study in a Tertiary Care Center.

IF 0.8 Q3 MEDICINE, GENERAL & INTERNAL
Ramya Katta, Sindhura Nugala, Madhavi Kolakonda, Aparna Chinnam
{"title":"Evaluation of Immunohistochemical Expression of Beta-catenin and E-cadherin as Epithelial-Mesenchymal Transition Markers in Colorectal Carcinoma - An Analytical Retrospective Study in a Tertiary Care Center.","authors":"Ramya Katta, Sindhura Nugala, Madhavi Kolakonda, Aparna Chinnam","doi":"10.4103/ijabmr.ijabmr_535_24","DOIUrl":null,"url":null,"abstract":"<p><strong>Context: </strong>Colorectal carcinoma is a major health concern globally, with varying prognostic outcomes influenced by molecular markers. E-cadherin and beta-catenin are proteins involved in cellular adhesion and signaling pathways, and their aberrant expression has been implicated in tumor progression and metastasis.</p><p><strong>Aims: </strong>This study aims to evaluate the association between abnormal immunohistochemical expression of E-cadherin and beta-catenin with various clinicopathological parameters in colorectal carcinomas.</p><p><strong>Setting and design: </strong>A retrospective cross-sectional 3-year analytical study.</p><p><strong>Materials and methods: </strong>A total of 52 colorectal carcinoma tissue samples were analyzed using immunohistochemistry to assess the expression levels of E-cadherin and beta-catenin. Clinicopathological parameters including age, gender, tumor location, tumor differentiation, depth of invasion, perineural invasion, lymphovascular invasion, and nodal involvement were assessed and correlated with protein expression patterns.</p><p><strong>Statistical analysis: </strong>SPSS version 24 was used for calculating <i>P</i> values using the Chi-squared test.</p><p><strong>Results: </strong>Aberrant expression of E-cadherin and beta-catenin was observed in a significant proportion of the tumors. Poorly differentiated tumors showed a marked loss of E-cadherin and abnormal beta-catenin localization. In addition, increased lymphovascular and nodal involvement were significantly associated with these aberrant expression patterns.</p><p><strong>Conclusion: </strong>The findings suggest that abnormal expression of E-cadherin and beta-catenin is linked to poor tumor differentiation and higher rates of lymphovascular and nodal involvement. These markers may serve as potential biomarkers for assessing prognosis in colorectal carcinoma patients.</p>","PeriodicalId":13727,"journal":{"name":"International Journal of Applied and Basic Medical Research","volume":"15 2","pages":"98-103"},"PeriodicalIF":0.8000,"publicationDate":"2025-04-01","publicationTypes":"Journal Article","fieldsOfStudy":null,"isOpenAccess":false,"openAccessPdf":"https://www.ncbi.nlm.nih.gov/pmc/articles/PMC12058043/pdf/","citationCount":"0","resultStr":null,"platform":"Semanticscholar","paperid":null,"PeriodicalName":"International Journal of Applied and Basic Medical Research","FirstCategoryId":"1085","ListUrlMain":"https://doi.org/10.4103/ijabmr.ijabmr_535_24","RegionNum":0,"RegionCategory":null,"ArticlePicture":[],"TitleCN":null,"AbstractTextCN":null,"PMCID":null,"EPubDate":"2025/4/7 0:00:00","PubModel":"Epub","JCR":"Q3","JCRName":"MEDICINE, GENERAL & INTERNAL","Score":null,"Total":0}
引用次数: 0

Abstract

Context: Colorectal carcinoma is a major health concern globally, with varying prognostic outcomes influenced by molecular markers. E-cadherin and beta-catenin are proteins involved in cellular adhesion and signaling pathways, and their aberrant expression has been implicated in tumor progression and metastasis.

Aims: This study aims to evaluate the association between abnormal immunohistochemical expression of E-cadherin and beta-catenin with various clinicopathological parameters in colorectal carcinomas.

Setting and design: A retrospective cross-sectional 3-year analytical study.

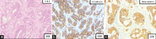
Materials and methods: A total of 52 colorectal carcinoma tissue samples were analyzed using immunohistochemistry to assess the expression levels of E-cadherin and beta-catenin. Clinicopathological parameters including age, gender, tumor location, tumor differentiation, depth of invasion, perineural invasion, lymphovascular invasion, and nodal involvement were assessed and correlated with protein expression patterns.

Statistical analysis: SPSS version 24 was used for calculating P values using the Chi-squared test.

Results: Aberrant expression of E-cadherin and beta-catenin was observed in a significant proportion of the tumors. Poorly differentiated tumors showed a marked loss of E-cadherin and abnormal beta-catenin localization. In addition, increased lymphovascular and nodal involvement were significantly associated with these aberrant expression patterns.

Conclusion: The findings suggest that abnormal expression of E-cadherin and beta-catenin is linked to poor tumor differentiation and higher rates of lymphovascular and nodal involvement. These markers may serve as potential biomarkers for assessing prognosis in colorectal carcinoma patients.

Abstract Image

Abstract Image

Abstract Image

评价结直肠癌中β -连环蛋白和e -钙粘蛋白作为上皮-间质转化标志物的免疫组织化学表达-三级保健中心的回顾性分析研究
背景:结直肠癌是全球主要的健康问题,其预后结果受分子标志物的影响不同。E-cadherin和β -catenin是参与细胞粘附和信号通路的蛋白质,它们的异常表达与肿瘤的进展和转移有关。目的:本研究旨在探讨E-cadherin和β -catenin在结直肠癌中免疫组化表达异常与各种临床病理参数的关系。设定与设计:一项为期3年的回顾性横断面分析研究。材料与方法:采用免疫组化方法分析52例结直肠癌组织样本,检测E-cadherin和β -catenin的表达水平。评估临床病理参数,包括年龄、性别、肿瘤位置、肿瘤分化、浸润深度、神经周围浸润、淋巴血管浸润和淋巴结累及,并与蛋白表达模式相关。统计分析:采用SPSS 24版,采用卡方检验计算P值。结果:E-cadherin和β -catenin在肿瘤中异常表达。低分化肿瘤表现为E-cadherin的明显缺失和β -连环蛋白的异常定位。此外,增加的淋巴血管和淋巴结受累与这些异常表达模式显著相关。结论:E-cadherin和β -catenin的异常表达与肿瘤分化不良、淋巴血管和淋巴结受累率升高有关。这些标志物可作为评估结直肠癌患者预后的潜在生物标志物。
本文章由计算机程序翻译,如有差异,请以英文原文为准。
求助全文
约1分钟内获得全文 求助全文
来源期刊
自引率
0.00%
发文量
46
×
引用
GB/T 7714-2015
复制
MLA
复制
APA
复制
导出至
BibTeX EndNote RefMan NoteFirst NoteExpress
×
提示
您的信息不完整,为了账户安全,请先补充。
现在去补充
×
提示
您因"违规操作"
具体请查看互助需知
我知道了
×
提示
确定
请完成安全验证×
copy
已复制链接
快去分享给好友吧!
我知道了
右上角分享
点击右上角分享
0
联系我们:info@booksci.cn Book学术提供免费学术资源搜索服务,方便国内外学者检索中英文文献。致力于提供最便捷和优质的服务体验。 Copyright © 2023 布克学术 All rights reserved.
京ICP备2023020795号-1
ghs 京公网安备 11010802042870号
Book学术文献互助
Book学术文献互助群
群 号:604180095
Book学术官方微信