Sarcoidosis Presenting as a Giant Pulmonary Bulla With Concurrent COVID-19 Infection.

IF 0.8 Q3 MEDICINE, GENERAL & INTERNAL
Sathish Krishnan, Anam Naumaan, Venu Pararath Gopalakrishnan
{"title":"Sarcoidosis Presenting as a Giant Pulmonary Bulla With Concurrent COVID-19 Infection.","authors":"Sathish Krishnan, Anam Naumaan, Venu Pararath Gopalakrishnan","doi":"10.1177/23247096251340738","DOIUrl":null,"url":null,"abstract":"<p><p>Sarcoidosis is a systemic granulomatous disease that predominantly affects the lungs. However, its presentation as a giant pulmonary bulla is exceptionally rare. Its association with COVID-19 has raised new concerns regarding disease exacerbation and misdiagnosis. We report a case of a 38-year-old man who developed a large left lower lobe bulla in the context of recent COVID-19 infection. Initial misinterpretation of the bulla as loculated pneumothorax nearly led to an unnecessary chest tube placement. A subsequent thoracotomy with lobectomy revealed nonnecrotizing granulomas, confirming sarcoidosis. The patient showed spontaneous remission without requiring treatment. This case highlights the importance of multidisciplinary discussions in atypical lung presentations to prevent mismanagement.</p>","PeriodicalId":16198,"journal":{"name":"Journal of investigative medicine high impact case reports","volume":"13 ","pages":"23247096251340738"},"PeriodicalIF":0.8000,"publicationDate":"2025-01-01","publicationTypes":"Journal Article","fieldsOfStudy":null,"isOpenAccess":false,"openAccessPdf":"https://www.ncbi.nlm.nih.gov/pmc/articles/PMC12062588/pdf/","citationCount":"0","resultStr":null,"platform":"Semanticscholar","paperid":null,"PeriodicalName":"Journal of investigative medicine high impact case reports","FirstCategoryId":"1085","ListUrlMain":"https://doi.org/10.1177/23247096251340738","RegionNum":0,"RegionCategory":null,"ArticlePicture":[],"TitleCN":null,"AbstractTextCN":null,"PMCID":null,"EPubDate":"2025/5/8 0:00:00","PubModel":"Epub","JCR":"Q3","JCRName":"MEDICINE, GENERAL & INTERNAL","Score":null,"Total":0}
引用次数: 0

Abstract

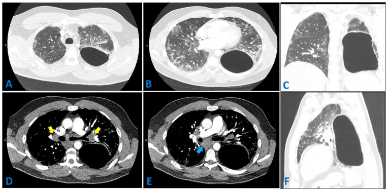
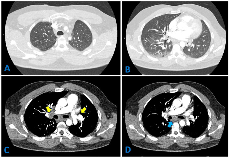
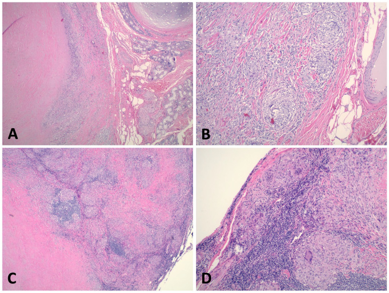
Sarcoidosis is a systemic granulomatous disease that predominantly affects the lungs. However, its presentation as a giant pulmonary bulla is exceptionally rare. Its association with COVID-19 has raised new concerns regarding disease exacerbation and misdiagnosis. We report a case of a 38-year-old man who developed a large left lower lobe bulla in the context of recent COVID-19 infection. Initial misinterpretation of the bulla as loculated pneumothorax nearly led to an unnecessary chest tube placement. A subsequent thoracotomy with lobectomy revealed nonnecrotizing granulomas, confirming sarcoidosis. The patient showed spontaneous remission without requiring treatment. This case highlights the importance of multidisciplinary discussions in atypical lung presentations to prevent mismanagement.

Abstract Image

Abstract Image

Abstract Image

结节病表现为巨大肺大泡并并发COVID-19感染。
结节病是一种系统性肉芽肿性疾病,主要影响肺部。然而,其表现为巨大的肺大泡是非常罕见的。它与COVID-19的关联引发了对疾病加剧和误诊的新担忧。我们报告了一例38岁的男性,他在最近感染COVID-19的情况下出现了一个大的左下叶大泡。最初将大疱性气胸误诊为定位性气胸,几乎导致不必要的胸管置入。随后的开胸和肺叶切除术显示非坏死性肉芽肿,证实结节病。患者无需治疗即可自行缓解。本病例强调了在非典型肺表现中多学科讨论的重要性,以防止管理不善。
本文章由计算机程序翻译,如有差异,请以英文原文为准。
求助全文
约1分钟内获得全文 求助全文
来源期刊
CiteScore
1.90
自引率
0.00%
发文量
165
审稿时长
12 weeks
期刊介绍: The AFMR is committed to enhancing the training and career development of our members and to furthering its mission to facilitate the conduct of research to improve medical care. Case reports represent an important avenue for trainees (interns, residents, and fellows) and early-stage faculty to demonstrate productive, scholarly activity.
×
引用
GB/T 7714-2015
复制
MLA
复制
APA
复制
导出至
BibTeX EndNote RefMan NoteFirst NoteExpress
×
提示
您的信息不完整,为了账户安全,请先补充。
现在去补充
×
提示
您因"违规操作"
具体请查看互助需知
我知道了
×
提示
确定
请完成安全验证×
copy
已复制链接
快去分享给好友吧!
我知道了
右上角分享
点击右上角分享
0
联系我们:info@booksci.cn Book学术提供免费学术资源搜索服务,方便国内外学者检索中英文文献。致力于提供最便捷和优质的服务体验。 Copyright © 2023 布克学术 All rights reserved.
京ICP备2023020795号-1
ghs 京公网安备 11010802042870号
Book学术文献互助
Book学术文献互助群
群 号:604180095
Book学术官方微信