The Frequency of CYP2C19*2 Gene Polymorphisms in Burkina Faso Patients Treated with Clopidogrel.

IF 2.6 Q2 GENETICS & HEREDITY
Application of Clinical Genetics Pub Date : 2025-05-01 eCollection Date: 2025-01-01 DOI:10.2147/TACG.S509095
Yves Donald Kagambèga, Abdoul Karim Ouattara, Teega-Wendé Clarisse Ouédraogo, Lassina Traoré, Nobila Valentin Yaméogo, Jacques Simpore
{"title":"The Frequency of <i>CYP2C19*2</i> Gene Polymorphisms in Burkina Faso Patients Treated with Clopidogrel.","authors":"Yves Donald Kagambèga, Abdoul Karim Ouattara, Teega-Wendé Clarisse Ouédraogo, Lassina Traoré, Nobila Valentin Yaméogo, Jacques Simpore","doi":"10.2147/TACG.S509095","DOIUrl":null,"url":null,"abstract":"<p><strong>Purpose: </strong>The hepatic cytochrome P450 2C19 (CYP2C19) superfamily plays a crucial role in converting clopidogrel into its active form. Polymorphisms in <i>CYP2C19</i> significantly contribute to the interindividual variability observed, often resulting in persistent thromboembolic complications. This study aimed to assess the frequency of the <i>CYP2C19*2</i> (<i>rs4244285</i>, 681 G>A1) polymorphism among patients with cardiovascular diseases undergoing clopidogrel therapy.</p><p><strong>Patients and methods: </strong>This cross-sectional study recruited a total of seventy-three (73) patients from the Cardiology Department of the Centre Hospitalier Universitaire Yalgado Ouédraogo (CHU-YO) between January and June 2023. DNA was extracted from blood samples for <i>CYP2C19*2</i> genotyping using PCR-RFLP.</p><p><strong>Results: </strong>Genetic analysis revealed frequencies of 65.8% for the wild-type CYP2C19*1/*1, 28.8% for the heterozygous CYP2C19*1/*2, and 2.7% for the homozygous variant CYP2C19*2/*2. The distribution of the genotypic frequencies was consistent with Hardy-Weinberg equilibrium (p> 0.05). The overall frequency of the <i>CYP2C19*2</i> allele in the study population was 16.4%, with 12.5% observed in females and 19.5% in males.</p><p><strong>Conclusion: </strong>This study provides valuable insights into the frequency of the CYP2C19*2 polymorphism among cardiovascular patients in Burkina Faso, contributing to the limited data available on <i>CYP2C19</i> polymorphisms in sub-Saharan Africa. The presence of loss-of-function alleles suggests a potential risk for reduced drug efficacy in a subset of individuals. As one of the pioneering studies in the region, these findings emphasize the importance of further research to understand the clinical implications of <i>CYP2C19</i> polymorphisms.</p>","PeriodicalId":39131,"journal":{"name":"Application of Clinical Genetics","volume":"18 ","pages":"55-61"},"PeriodicalIF":2.6000,"publicationDate":"2025-05-01","publicationTypes":"Journal Article","fieldsOfStudy":null,"isOpenAccess":false,"openAccessPdf":"https://www.ncbi.nlm.nih.gov/pmc/articles/PMC12052008/pdf/","citationCount":"0","resultStr":null,"platform":"Semanticscholar","paperid":null,"PeriodicalName":"Application of Clinical Genetics","FirstCategoryId":"1085","ListUrlMain":"https://doi.org/10.2147/TACG.S509095","RegionNum":0,"RegionCategory":null,"ArticlePicture":[],"TitleCN":null,"AbstractTextCN":null,"PMCID":null,"EPubDate":"2025/1/1 0:00:00","PubModel":"eCollection","JCR":"Q2","JCRName":"GENETICS & HEREDITY","Score":null,"Total":0}
引用次数: 0

Abstract

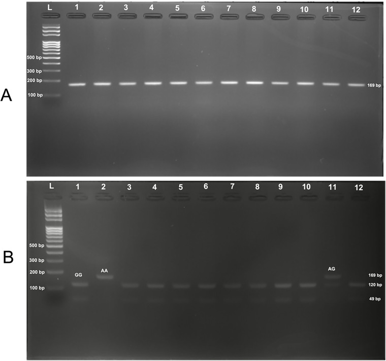
Purpose: The hepatic cytochrome P450 2C19 (CYP2C19) superfamily plays a crucial role in converting clopidogrel into its active form. Polymorphisms in CYP2C19 significantly contribute to the interindividual variability observed, often resulting in persistent thromboembolic complications. This study aimed to assess the frequency of the CYP2C19*2 (rs4244285, 681 G>A1) polymorphism among patients with cardiovascular diseases undergoing clopidogrel therapy.

Patients and methods: This cross-sectional study recruited a total of seventy-three (73) patients from the Cardiology Department of the Centre Hospitalier Universitaire Yalgado Ouédraogo (CHU-YO) between January and June 2023. DNA was extracted from blood samples for CYP2C19*2 genotyping using PCR-RFLP.

Results: Genetic analysis revealed frequencies of 65.8% for the wild-type CYP2C19*1/*1, 28.8% for the heterozygous CYP2C19*1/*2, and 2.7% for the homozygous variant CYP2C19*2/*2. The distribution of the genotypic frequencies was consistent with Hardy-Weinberg equilibrium (p> 0.05). The overall frequency of the CYP2C19*2 allele in the study population was 16.4%, with 12.5% observed in females and 19.5% in males.

Conclusion: This study provides valuable insights into the frequency of the CYP2C19*2 polymorphism among cardiovascular patients in Burkina Faso, contributing to the limited data available on CYP2C19 polymorphisms in sub-Saharan Africa. The presence of loss-of-function alleles suggests a potential risk for reduced drug efficacy in a subset of individuals. As one of the pioneering studies in the region, these findings emphasize the importance of further research to understand the clinical implications of CYP2C19 polymorphisms.

Abstract Image

布基纳法索氯吡格雷治疗患者CYP2C19*2基因多态性频率
目的:肝细胞色素P450 2C19 (CYP2C19)超家族在氯吡格雷转化为活性形式的过程中起关键作用。CYP2C19基因的多态性显著导致观察到的个体间变异,常常导致持续的血栓栓塞并发症。本研究旨在评估接受氯吡格雷治疗的心血管疾病患者CYP2C19*2 (rs4244285, 681 G>A1)多态性的频率。患者和方法:这项横断面研究在2023年1月至6月期间从Yalgado ousamdrogo大学中心医院心脏病科(CHU-YO)共招募了73名患者。从血样中提取DNA,采用PCR-RFLP进行CYP2C19*2基因分型。结果:野生型CYP2C19*1/*1遗传频率为65.8%,杂合型CYP2C19*1/*2遗传频率为28.8%,纯合型CYP2C19*2/*2遗传频率为2.7%。基因型频率分布符合Hardy-Weinberg平衡(p < 0.05)。CYP2C19*2等位基因在研究人群中的总频率为16.4%,其中女性为12.5%,男性为19.5%。结论:本研究为布基纳法索心血管患者CYP2C19*2多态性的频率提供了有价值的见解,有助于改善撒哈拉以南非洲地区CYP2C19多态性的有限数据。功能缺失等位基因的存在表明,在一部分个体中存在降低药物疗效的潜在风险。作为该地区的开创性研究之一,这些发现强调了进一步研究以了解CYP2C19多态性的临床意义的重要性。
本文章由计算机程序翻译,如有差异,请以英文原文为准。
求助全文
约1分钟内获得全文 求助全文
来源期刊
Application of Clinical Genetics
Application of Clinical Genetics Biochemistry, Genetics and Molecular Biology-Genetics
CiteScore
5.40
自引率
0.00%
发文量
20
审稿时长
16 weeks
×
引用
GB/T 7714-2015
复制
MLA
复制
APA
复制
导出至
BibTeX EndNote RefMan NoteFirst NoteExpress
×
提示
您的信息不完整,为了账户安全,请先补充。
现在去补充
×
提示
您因"违规操作"
具体请查看互助需知
我知道了
×
提示
确定
请完成安全验证×
copy
已复制链接
快去分享给好友吧!
我知道了
右上角分享
点击右上角分享
0
联系我们:info@booksci.cn Book学术提供免费学术资源搜索服务,方便国内外学者检索中英文文献。致力于提供最便捷和优质的服务体验。 Copyright © 2023 布克学术 All rights reserved.
京ICP备2023020795号-1
ghs 京公网安备 11010802042870号
Book学术文献互助
Book学术文献互助群
群 号:604180095
Book学术官方微信