Mismatch repair deficiency and its relationship with histopathological features in gastric cancer patients.

IF 0.9 4区 医学 Q4 MEDICINE, RESEARCH & EXPERIMENTAL
Thi Hong Chuyen Nguyen, Tran Bao Song Nguyen, Thanh Phuc Nguyen, Thi Minh Thi Ha, Nguyen Cuong Pham, Thi Thu Giang Nguyen, Minh Tri Phan, Thanh Huy Le, Thanh Thanh Ha, Tran Thuc Huan Nguyen, Cong Thuan Dang
{"title":"Mismatch repair deficiency and its relationship with histopathological features in gastric cancer patients.","authors":"Thi Hong Chuyen Nguyen, Tran Bao Song Nguyen, Thanh Phuc Nguyen, Thi Minh Thi Ha, Nguyen Cuong Pham, Thi Thu Giang Nguyen, Minh Tri Phan, Thanh Huy Le, Thanh Thanh Ha, Tran Thuc Huan Nguyen, Cong Thuan Dang","doi":"10.18999/nagjms.87.1.93","DOIUrl":null,"url":null,"abstract":"<p><p>Gastric cancer is a common malignancy disease with a poor prognosis. Deficient mismatch repair is a prognostic and predictive marker of response to systemic therapies. However, deficient mismatch repair frequency and the relationship between this status and microscopic characteristics are inconsistent across nations. We aimed to determine the rate of deficient mismatch repair and its association with histopathological features in gastric cancer patients. A cross-sectional study was conducted on 226 gastric cancer patients treated at Hue University of Medicine and Pharmacy Hospital and Hue Central Hospital from June 2020 to January 2024. Mismatch repair protein expression was evaluated using immunohistochemical staining, and any absence of mismatch repair proteins was regarded as deficient mismatch repair. The deficient mismatch repair rate was 12.8%. Deficient mismatch repair appeared to be more frequent in the intestinal subtype of Lauren classification odds ratio (OR) = 4.767 (95% confidence interval [CI], 1.086-20.921; p = 0.039), tubular/papillary adenocarcinoma (OR = 5.25; 95% CI, 1.185-23.251; p = 0.029), mucinous adenocarcinoma (OR = 6.19; 95% CI, 1.113-34.445; p = 0.037), and differentiated type (OR = 3.24; 95% CI, 1.324-7.931; p = 0.01). No statistically significant association was detected with histopathological features according to the Tumor Location-Modified Lauren classification and mucinous secreting morphology. Deficient mismatch repair status was unusual in gastric cancer. The degree of cell differentiation and microscopic characteristics based on the World Health Organization and Lauren classification could all impact the predictive power for microsatellite-instable status.</p>","PeriodicalId":49014,"journal":{"name":"Nagoya Journal of Medical Science","volume":"87 1","pages":"93-104"},"PeriodicalIF":0.9000,"publicationDate":"2025-02-01","publicationTypes":"Journal Article","fieldsOfStudy":null,"isOpenAccess":false,"openAccessPdf":"https://www.ncbi.nlm.nih.gov/pmc/articles/PMC12003992/pdf/","citationCount":"0","resultStr":null,"platform":"Semanticscholar","paperid":null,"PeriodicalName":"Nagoya Journal of Medical Science","FirstCategoryId":"3","ListUrlMain":"https://doi.org/10.18999/nagjms.87.1.93","RegionNum":4,"RegionCategory":"医学","ArticlePicture":[],"TitleCN":null,"AbstractTextCN":null,"PMCID":null,"EPubDate":"","PubModel":"","JCR":"Q4","JCRName":"MEDICINE, RESEARCH & EXPERIMENTAL","Score":null,"Total":0}
引用次数: 0

Abstract

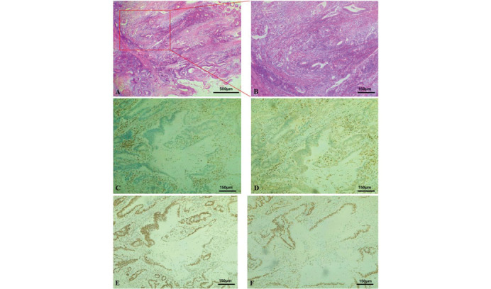
Gastric cancer is a common malignancy disease with a poor prognosis. Deficient mismatch repair is a prognostic and predictive marker of response to systemic therapies. However, deficient mismatch repair frequency and the relationship between this status and microscopic characteristics are inconsistent across nations. We aimed to determine the rate of deficient mismatch repair and its association with histopathological features in gastric cancer patients. A cross-sectional study was conducted on 226 gastric cancer patients treated at Hue University of Medicine and Pharmacy Hospital and Hue Central Hospital from June 2020 to January 2024. Mismatch repair protein expression was evaluated using immunohistochemical staining, and any absence of mismatch repair proteins was regarded as deficient mismatch repair. The deficient mismatch repair rate was 12.8%. Deficient mismatch repair appeared to be more frequent in the intestinal subtype of Lauren classification odds ratio (OR) = 4.767 (95% confidence interval [CI], 1.086-20.921; p = 0.039), tubular/papillary adenocarcinoma (OR = 5.25; 95% CI, 1.185-23.251; p = 0.029), mucinous adenocarcinoma (OR = 6.19; 95% CI, 1.113-34.445; p = 0.037), and differentiated type (OR = 3.24; 95% CI, 1.324-7.931; p = 0.01). No statistically significant association was detected with histopathological features according to the Tumor Location-Modified Lauren classification and mucinous secreting morphology. Deficient mismatch repair status was unusual in gastric cancer. The degree of cell differentiation and microscopic characteristics based on the World Health Organization and Lauren classification could all impact the predictive power for microsatellite-instable status.

Abstract Image

Abstract Image

胃癌患者错配修复缺陷及其与组织病理学特征的关系。
胃癌是一种常见的恶性肿瘤,预后较差。缺陷错配修复是对全身治疗反应的预后和预测标志。然而,缺陷错配修复频率以及这种状态与微观特征之间的关系在各国之间并不一致。我们旨在确定胃癌患者的错配修复缺陷率及其与组织病理学特征的关系。对2020年6月至2024年1月在顺化医药大学医院和顺化中心医院接受治疗的226例胃癌患者进行了横断面研究。错配修复蛋白的表达通过免疫组化染色进行评估,错配修复蛋白的缺失被视为错配修复缺陷。缺陷错配修复率为12.8%。缺陷错配修复在Lauren分类的肠道亚型中更为常见优势比(OR) = 4.767(95%可信区间[CI], 1.086-20.921;p = 0.039),管状/乳头状腺癌(OR = 5.25;95% ci, 1.185-23.251;p = 0.029),粘液腺癌(OR = 6.19;95% ci, 1.113-34.445;p = 0.037),分化型(OR = 3.24;95% ci, 1.324-7.931;P = 0.01)。根据肿瘤定位-修改的Lauren分类和粘液分泌形态,未发现与组织病理学特征有统计学意义的关联。错配修复缺陷在胃癌中并不常见。基于世界卫生组织和Lauren分类的细胞分化程度和微观特征都可能影响对微卫星不稳定状态的预测能力。
本文章由计算机程序翻译,如有差异,请以英文原文为准。
求助全文
约1分钟内获得全文 求助全文
来源期刊
Nagoya Journal of Medical Science
Nagoya Journal of Medical Science MEDICINE, RESEARCH & EXPERIMENTAL-
CiteScore
1.30
自引率
0.00%
发文量
65
审稿时长
>12 weeks
期刊介绍: The Journal publishes original papers in the areas of medical science and its related fields. Reviews, symposium reports, short communications, notes, case reports, hypothesis papers, medical image at a glance, video and announcements are also accepted. Manuscripts should be in English. It is recommended that an English check of the manuscript by a competent and knowledgeable native speaker be completed before submission.
×
引用
GB/T 7714-2015
复制
MLA
复制
APA
复制
导出至
BibTeX EndNote RefMan NoteFirst NoteExpress
×
提示
您的信息不完整,为了账户安全,请先补充。
现在去补充
×
提示
您因"违规操作"
具体请查看互助需知
我知道了
×
提示
确定
请完成安全验证×
copy
已复制链接
快去分享给好友吧!
我知道了
右上角分享
点击右上角分享
0
联系我们:info@booksci.cn Book学术提供免费学术资源搜索服务,方便国内外学者检索中英文文献。致力于提供最便捷和优质的服务体验。 Copyright © 2023 布克学术 All rights reserved.
京ICP备2023020795号-1
ghs 京公网安备 11010802042870号
Book学术文献互助
Book学术文献互助群
群 号:604180095
Book学术官方微信