Revision Surgery for Failed Polyvinyl Alcohol Hydrogel Implant in the First MTP Joint: A Case Report and Comprehensive Review.

Foot & Ankle Orthopaedics Pub Date : 2025-04-11 eCollection Date: 2025-04-01 DOI:10.1177/24730114251330300
Thelma R Jimenez Mosquea, Christopher A Colasanti, Hugo A Ubillus, Raymond J Walls
{"title":"Revision Surgery for Failed Polyvinyl Alcohol Hydrogel Implant in the First MTP Joint: A Case Report and Comprehensive Review.","authors":"Thelma R Jimenez Mosquea, Christopher A Colasanti, Hugo A Ubillus, Raymond J Walls","doi":"10.1177/24730114251330300","DOIUrl":null,"url":null,"abstract":"<p><strong>Background: </strong>Hallux rigidus is a degenerative condition of the first metatarsophalangeal (MTP) joint that can significantly impair function and quality of life. The introduction of polyvinyl alcohol (PVA) hydrogel implants, such as Cartiva, offered an alternative to arthrodesis by preserving joint motion. However, failures of these implants, often resulting in bone loss and joint instability, present a challenge for revision surgery.</p><p><strong>Methods: </strong>We report the case of a 43-year-old woman with persistent pain and functional limitations after a failed PVA hydrogel implant in the first MTP joint. The revision surgery involved a biologic resurfacing using the Osteochondral Autograft Transfer System (OATS) with a graft harvested from the ipsilateral femoral condyle, complemented by interpositional arthroplasty with a dermal graft and a proximal phalanx closing wedge osteotomy to correct residual hallux valgus.</p><p><strong>Results: </strong>At the 3-year follow-up, the patient-reported complete resolution of pain and returned to full activity with improved range of motion (40 degrees dorsiflexion, 15 degrees plantarflexion). Radiographic evaluation demonstrated graft incorporation and restoration of joint space, confirming the success of the procedure.</p><p><strong>Conclusion: </strong>This case highlights the potential of OATS combined with interpositional arthroplasty as a viable option for revision surgery in complex cases of failed synthetic cartilage implants in hallux rigidus. By addressing bone loss and preserving joint function, this approach provides a patient-specific alternative to traditional arthrodesis. Further studies are warranted to establish the long-term efficacy of this technique in similar cases.</p><p><strong>Level of evidence: </strong>Level V, case report.</p>","PeriodicalId":12429,"journal":{"name":"Foot & Ankle Orthopaedics","volume":"10 2","pages":"24730114251330300"},"PeriodicalIF":0.0000,"publicationDate":"2025-04-11","publicationTypes":"Journal Article","fieldsOfStudy":null,"isOpenAccess":false,"openAccessPdf":"https://www.ncbi.nlm.nih.gov/pmc/articles/PMC12033773/pdf/","citationCount":"0","resultStr":null,"platform":"Semanticscholar","paperid":null,"PeriodicalName":"Foot & Ankle Orthopaedics","FirstCategoryId":"1085","ListUrlMain":"https://doi.org/10.1177/24730114251330300","RegionNum":0,"RegionCategory":null,"ArticlePicture":[],"TitleCN":null,"AbstractTextCN":null,"PMCID":null,"EPubDate":"2025/4/1 0:00:00","PubModel":"eCollection","JCR":"","JCRName":"","Score":null,"Total":0}
引用次数: 0

Abstract

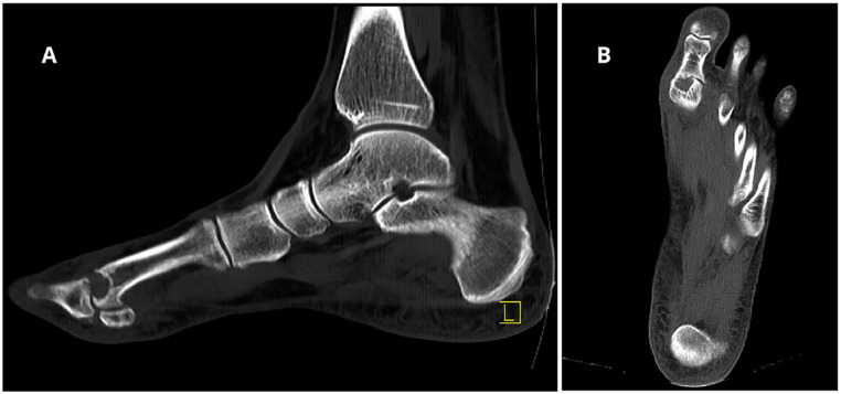
Background: Hallux rigidus is a degenerative condition of the first metatarsophalangeal (MTP) joint that can significantly impair function and quality of life. The introduction of polyvinyl alcohol (PVA) hydrogel implants, such as Cartiva, offered an alternative to arthrodesis by preserving joint motion. However, failures of these implants, often resulting in bone loss and joint instability, present a challenge for revision surgery.

Methods: We report the case of a 43-year-old woman with persistent pain and functional limitations after a failed PVA hydrogel implant in the first MTP joint. The revision surgery involved a biologic resurfacing using the Osteochondral Autograft Transfer System (OATS) with a graft harvested from the ipsilateral femoral condyle, complemented by interpositional arthroplasty with a dermal graft and a proximal phalanx closing wedge osteotomy to correct residual hallux valgus.

Results: At the 3-year follow-up, the patient-reported complete resolution of pain and returned to full activity with improved range of motion (40 degrees dorsiflexion, 15 degrees plantarflexion). Radiographic evaluation demonstrated graft incorporation and restoration of joint space, confirming the success of the procedure.

Conclusion: This case highlights the potential of OATS combined with interpositional arthroplasty as a viable option for revision surgery in complex cases of failed synthetic cartilage implants in hallux rigidus. By addressing bone loss and preserving joint function, this approach provides a patient-specific alternative to traditional arthrodesis. Further studies are warranted to establish the long-term efficacy of this technique in similar cases.

Level of evidence: Level V, case report.

Abstract Image

Abstract Image

Abstract Image

聚乙烯醇水凝胶种植体在第一个MTP关节失败的翻修手术:1例报告和综合回顾。
背景:拇僵直是第一跖趾(MTP)关节的退行性疾病,可严重损害功能和生活质量。聚乙烯醇(PVA)水凝胶植入物的引入,如Cartiva,通过保持关节运动提供了关节融合术的另一种选择。然而,这些植入物的失败,往往导致骨丢失和关节不稳定,对翻修手术提出了挑战。方法:我们报告了一例43岁的女性,在第一个MTP关节植入PVA水凝胶失败后,持续疼痛和功能限制。翻修手术包括使用骨软骨自体移植物移植系统(OATS)进行生物表面修复,从同侧股骨髁获取移植物,辅以真皮移植物和近端指骨闭合楔形截骨的间位关节置换术来纠正残留的拇外翻。结果:在3年的随访中,患者报告疼痛完全缓解,活动范围改善(背屈40度,跖屈15度),恢复完全活动。影像学评价显示植骨融合和关节间隙恢复,证实手术成功。结论:本病例强调了在复杂的拇僵硬人工软骨植入失败的病例中,OATS联合关节置换术作为一种可行的翻修手术选择的潜力。通过解决骨质流失和保持关节功能,这种方法提供了传统关节融合术的患者特异性替代方案。需要进一步的研究来确定这种技术在类似病例中的长期疗效。证据级别:V级,病例报告。
本文章由计算机程序翻译,如有差异,请以英文原文为准。
求助全文
约1分钟内获得全文 求助全文
来源期刊
Foot & Ankle Orthopaedics
Foot & Ankle Orthopaedics Medicine-Orthopedics and Sports Medicine
CiteScore
1.20
自引率
0.00%
发文量
1152
×
引用
GB/T 7714-2015
复制
MLA
复制
APA
复制
导出至
BibTeX EndNote RefMan NoteFirst NoteExpress
×
提示
您的信息不完整,为了账户安全,请先补充。
现在去补充
×
提示
您因"违规操作"
具体请查看互助需知
我知道了
×
提示
确定
请完成安全验证×
copy
已复制链接
快去分享给好友吧!
我知道了
右上角分享
点击右上角分享
0
联系我们:info@booksci.cn Book学术提供免费学术资源搜索服务,方便国内外学者检索中英文文献。致力于提供最便捷和优质的服务体验。 Copyright © 2023 布克学术 All rights reserved.
京ICP备2023020795号-1
ghs 京公网安备 11010802042870号
Book学术文献互助
Book学术文献互助群
群 号:604180095
Book学术官方微信