Complications and management of patients with liver hydatid cyst: A single center experience.

IF 2.1 Q4 GASTROENTEROLOGY & HEPATOLOGY
Hepatology Forum Pub Date : 2024-12-23 eCollection Date: 2025-01-01 DOI:10.14744/hf.2024.2024.0052
Firat Erkmen, Mehmet Yilmaz, Huseyin Yonder, Faik Tatli, Abdullah Ozgonul, Emre Karaca, Ersin Batibay, Ali Uzunkoy
{"title":"Complications and management of patients with liver hydatid cyst: A single center experience.","authors":"Firat Erkmen, Mehmet Yilmaz, Huseyin Yonder, Faik Tatli, Abdullah Ozgonul, Emre Karaca, Ersin Batibay, Ali Uzunkoy","doi":"10.14744/hf.2024.2024.0052","DOIUrl":null,"url":null,"abstract":"<p><strong>Background and aim: </strong>Hydatid cysts are caused by <i>Echinococcus</i> larvae and are prevalent in endemic areas worldwide. We analyzed post-procedure complications and outcomes of patients with liver hydatid cysts.</p><p><strong>Materials and methods: </strong>We included patients who were managed either by surgery or percutaneous drainage (PAIR) for hydatid liver cysts at Harran University Faculty of Medicine Hospital between January 2017 and February 2021. We recorded age, sex, segmental location, size, number, Gharbi classification, treatment modality, length of hospital stays, and complications.</p><p><strong>Results: </strong>We included a total of 209 patients who were managed by hydatid liver cysts. Among them, 74 post-procedural complications were developed in a total of 69 (33%) patients. Biliary fistula was the most prevalent complication (n=38,18.2%). Hospitalization duration was a median of 5 days (2-36) and was 5 days (2-36) in patients who underwent surgery and 3 days (range:2-7) in patients managed by PAIR. Patients with cyst diameter ≥9.5 cm were predicted to have an increased risk of complications with 70% sensitivity and 60% specificity. More patients experienced any difficulties in patients who were managed by PAIR than those who underwent surgery (65.4% vs 28.4%, p<0.001).</p><p><strong>Conclusion: </strong>Our study showed that both surgery and PAIR are safe and effective management strategies for patients with liver cyst hydatid. PAIR was associated with more complications but a shorter duration of hospitalization.</p>","PeriodicalId":29722,"journal":{"name":"Hepatology Forum","volume":"6 2","pages":"52-56"},"PeriodicalIF":2.1000,"publicationDate":"2024-12-23","publicationTypes":"Journal Article","fieldsOfStudy":null,"isOpenAccess":false,"openAccessPdf":"https://www.ncbi.nlm.nih.gov/pmc/articles/PMC11999902/pdf/","citationCount":"0","resultStr":null,"platform":"Semanticscholar","paperid":null,"PeriodicalName":"Hepatology Forum","FirstCategoryId":"1085","ListUrlMain":"https://doi.org/10.14744/hf.2024.2024.0052","RegionNum":0,"RegionCategory":null,"ArticlePicture":[],"TitleCN":null,"AbstractTextCN":null,"PMCID":null,"EPubDate":"2025/1/1 0:00:00","PubModel":"eCollection","JCR":"Q4","JCRName":"GASTROENTEROLOGY & HEPATOLOGY","Score":null,"Total":0}
引用次数: 0

Abstract

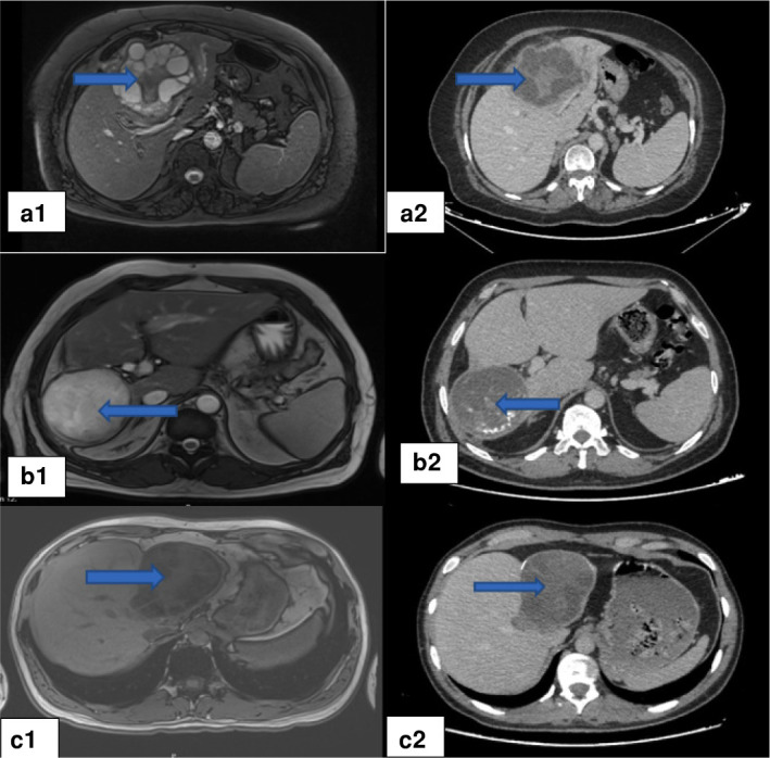
Background and aim: Hydatid cysts are caused by Echinococcus larvae and are prevalent in endemic areas worldwide. We analyzed post-procedure complications and outcomes of patients with liver hydatid cysts.

Materials and methods: We included patients who were managed either by surgery or percutaneous drainage (PAIR) for hydatid liver cysts at Harran University Faculty of Medicine Hospital between January 2017 and February 2021. We recorded age, sex, segmental location, size, number, Gharbi classification, treatment modality, length of hospital stays, and complications.

Results: We included a total of 209 patients who were managed by hydatid liver cysts. Among them, 74 post-procedural complications were developed in a total of 69 (33%) patients. Biliary fistula was the most prevalent complication (n=38,18.2%). Hospitalization duration was a median of 5 days (2-36) and was 5 days (2-36) in patients who underwent surgery and 3 days (range:2-7) in patients managed by PAIR. Patients with cyst diameter ≥9.5 cm were predicted to have an increased risk of complications with 70% sensitivity and 60% specificity. More patients experienced any difficulties in patients who were managed by PAIR than those who underwent surgery (65.4% vs 28.4%, p<0.001).

Conclusion: Our study showed that both surgery and PAIR are safe and effective management strategies for patients with liver cyst hydatid. PAIR was associated with more complications but a shorter duration of hospitalization.

Abstract Image

Abstract Image

Abstract Image

肝包虫囊肿的并发症和治疗:单中心经验。
背景与目的:包虫病是由棘球绦虫幼虫引起的,在世界各地流行。我们分析了肝包虫囊肿患者的术后并发症和预后。材料和方法:我们纳入了2017年1月至2021年2月在哈兰大学医学院医院接受手术或经皮引流(PAIR)治疗包虫性肝囊肿的患者。我们记录了年龄、性别、节段位置、大小、数量、Gharbi分类、治疗方式、住院时间和并发症。结果:我们共纳入209例包虫性肝囊肿患者。其中69例(33%)患者发生术后并发症74例。胆道瘘是最常见的并发症(n=38,18.2%)。住院时间中位数为5天(2-36),接受手术的患者住院时间为5天(2-36),PAIR治疗的患者住院时间为3天(范围:2-7)。预测囊肿直径≥9.5 cm的患者并发症风险增加,敏感性为70%,特异性为60%。结论:我们的研究表明,对于肝包虫病患者,手术和PAIR治疗都是安全有效的治疗策略。PAIR与更多并发症相关,但住院时间较短。
本文章由计算机程序翻译,如有差异,请以英文原文为准。
求助全文
约1分钟内获得全文 求助全文
来源期刊
CiteScore
1.90
自引率
12.50%
发文量
0
×
引用
GB/T 7714-2015
复制
MLA
复制
APA
复制
导出至
BibTeX EndNote RefMan NoteFirst NoteExpress
×
提示
您的信息不完整,为了账户安全,请先补充。
现在去补充
×
提示
您因"违规操作"
具体请查看互助需知
我知道了
×
提示
确定
请完成安全验证×
copy
已复制链接
快去分享给好友吧!
我知道了
右上角分享
点击右上角分享
0
联系我们:info@booksci.cn Book学术提供免费学术资源搜索服务,方便国内外学者检索中英文文献。致力于提供最便捷和优质的服务体验。 Copyright © 2023 布克学术 All rights reserved.
京ICP备2023020795号-1
ghs 京公网安备 11010802042870号
Book学术文献互助
Book学术文献互助群
群 号:604180095
Book学术官方微信