Minoxidil and bilateral central serous chorioretinopathy in an adolescent girl: relationship or causality?

Juan Manuel Correa Alvarez, Sara Turizo Mejia, Mauricio Arango Hurtado
{"title":"Minoxidil and bilateral central serous chorioretinopathy in an adolescent girl: relationship or causality?","authors":"Juan Manuel Correa Alvarez, Sara Turizo Mejia, Mauricio Arango Hurtado","doi":"10.22336/rjo.2025.22","DOIUrl":null,"url":null,"abstract":"<p><strong>Objective: </strong>This report describes a case of bilateral central serous chorioretinopathy linked to cosmetic minoxidil use in an adolescent girl, highlighting clinical findings, progression, and implications for practice.Materials and methods: Case report.</p><p><strong>Results: </strong>A 14-year-old girl with no significant medical history reported several weeks of blurred vision in both eyes. She had been using 2% topical minoxidil on her eyebrows and eyelashes without a prescription for the past 6 months. The initial examination revealed that the best-corrected visual acuity (BCVA) was 20/80 in the right eye and 20/25 in the left eye, with no abnormalities noted in the anterior segment. Fundus evaluation and OCT confirmed bilateral serous retinal detachment. Given the patient's unsupervised minoxidil use, a causal link to central serous chorioretinopathy (CSC) was suspected. After discontinuing the drug, the subretinal fluid (SRF) resolved, and visual acuity fully recovered within three months, supporting the association between minoxidil and choroidal neovascularization (CNV), not CSC.</p><p><strong>Discussion: </strong>Topical minoxidil has been widely used due to its vasodilatory, anti-inflammatory, anti-androgenic, and trichogenic properties, primarily through its induction of the Wnt/β-catenin signaling pathway. Despite its benefits, adverse effects such as hypotension, pruritus, and hypertrichosis are common, and isolated reports have linked its use to CSC, with symptoms typically resolving after discontinuation of the drug in most case studies. Proposed mechanisms for this association include systemic absorption leading to increased choroidal vascular permeability and disruption of retinal homeostasis. To our knowledge, this is the first reported case in the literature of bilateral CSC linked to cosmetic minoxidil use in an adolescent girl, with complete resorption of SRF and recovery of visual acuity following discontinuation of the drug.</p><p><strong>Conclusion: </strong>CSC linked to topical minoxidil use is rare and requires early detection for prompt discontinuation and recovery. Further research is needed to confirm this link, understand the underlying mechanisms, and develop more effective treatments.</p>","PeriodicalId":94355,"journal":{"name":"Romanian journal of ophthalmology","volume":"69 1","pages":"134-137"},"PeriodicalIF":0.0000,"publicationDate":"2025-01-01","publicationTypes":"Journal Article","fieldsOfStudy":null,"isOpenAccess":false,"openAccessPdf":"https://www.ncbi.nlm.nih.gov/pmc/articles/PMC12049658/pdf/","citationCount":"0","resultStr":null,"platform":"Semanticscholar","paperid":null,"PeriodicalName":"Romanian journal of ophthalmology","FirstCategoryId":"1085","ListUrlMain":"https://doi.org/10.22336/rjo.2025.22","RegionNum":0,"RegionCategory":null,"ArticlePicture":[],"TitleCN":null,"AbstractTextCN":null,"PMCID":null,"EPubDate":"","PubModel":"","JCR":"","JCRName":"","Score":null,"Total":0}
引用次数: 0

Abstract

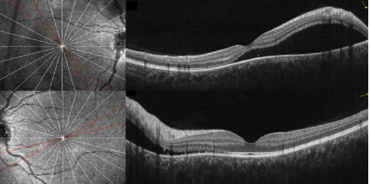
Objective: This report describes a case of bilateral central serous chorioretinopathy linked to cosmetic minoxidil use in an adolescent girl, highlighting clinical findings, progression, and implications for practice.Materials and methods: Case report.

Results: A 14-year-old girl with no significant medical history reported several weeks of blurred vision in both eyes. She had been using 2% topical minoxidil on her eyebrows and eyelashes without a prescription for the past 6 months. The initial examination revealed that the best-corrected visual acuity (BCVA) was 20/80 in the right eye and 20/25 in the left eye, with no abnormalities noted in the anterior segment. Fundus evaluation and OCT confirmed bilateral serous retinal detachment. Given the patient's unsupervised minoxidil use, a causal link to central serous chorioretinopathy (CSC) was suspected. After discontinuing the drug, the subretinal fluid (SRF) resolved, and visual acuity fully recovered within three months, supporting the association between minoxidil and choroidal neovascularization (CNV), not CSC.

Discussion: Topical minoxidil has been widely used due to its vasodilatory, anti-inflammatory, anti-androgenic, and trichogenic properties, primarily through its induction of the Wnt/β-catenin signaling pathway. Despite its benefits, adverse effects such as hypotension, pruritus, and hypertrichosis are common, and isolated reports have linked its use to CSC, with symptoms typically resolving after discontinuation of the drug in most case studies. Proposed mechanisms for this association include systemic absorption leading to increased choroidal vascular permeability and disruption of retinal homeostasis. To our knowledge, this is the first reported case in the literature of bilateral CSC linked to cosmetic minoxidil use in an adolescent girl, with complete resorption of SRF and recovery of visual acuity following discontinuation of the drug.

Conclusion: CSC linked to topical minoxidil use is rare and requires early detection for prompt discontinuation and recovery. Further research is needed to confirm this link, understand the underlying mechanisms, and develop more effective treatments.

Abstract Image

Abstract Image

Abstract Image

米诺地尔与青春期女孩双侧中枢性浆液性脉络膜视网膜病变的关系或因果关系?
目的:本报告描述了一例与美容使用米诺地尔相关的青春期女孩双侧中枢性浆液性脉络膜视网膜病变,强调了临床表现、进展和实践意义。材料与方法:病例报告。结果:一名14岁无明显病史的女孩报告数周双眼视力模糊。在过去的6个月里,她在没有处方的情况下一直在眉毛和睫毛上使用2%的局部米诺地尔。初步检查右眼最佳矫正视力为20/80,左眼最佳矫正视力为20/25,前段未见异常。眼底评估及OCT证实双侧浆液性视网膜脱离。考虑到患者在无人监督的情况下使用米诺地尔,怀疑与中枢浆液性脉络膜视网膜病变(CSC)有因果关系。停药后,视网膜下积液(SRF)消失,视力在三个月内完全恢复,支持米诺地尔与脉络膜新生血管(CNV)之间的关联,而不是CSC。讨论:外用米诺地尔主要通过诱导Wnt/β-catenin信号通路,具有血管舒张、抗炎、抗雄激素和致毛特性,因此被广泛应用。尽管它有好处,但副作用如低血压、瘙痒和多毛是常见的,并且孤立的报告将其与CSC的使用联系起来,在大多数病例研究中,症状通常在停药后消退。这种关联的机制包括导致脉络膜血管通透性增加的全身吸收和视网膜稳态的破坏。据我们所知,这是文献中首次报道的与美容用米诺地尔相关的双侧CSC,在停药后SRF完全吸收和视力恢复。结论:与局部使用米诺地尔相关的CSC是罕见的,需要及早发现,及时停药和恢复。需要进一步的研究来证实这种联系,了解潜在的机制,并开发更有效的治疗方法。
本文章由计算机程序翻译,如有差异,请以英文原文为准。
求助全文
约1分钟内获得全文 求助全文
来源期刊
自引率
0.00%
发文量
0
×
引用
GB/T 7714-2015
复制
MLA
复制
APA
复制
导出至
BibTeX EndNote RefMan NoteFirst NoteExpress
×
提示
您的信息不完整,为了账户安全,请先补充。
现在去补充
×
提示
您因"违规操作"
具体请查看互助需知
我知道了
×
提示
确定
请完成安全验证×
copy
已复制链接
快去分享给好友吧!
我知道了
右上角分享
点击右上角分享
0
联系我们:info@booksci.cn Book学术提供免费学术资源搜索服务,方便国内外学者检索中英文文献。致力于提供最便捷和优质的服务体验。 Copyright © 2023 布克学术 All rights reserved.
京ICP备2023020795号-1
ghs 京公网安备 11010802042870号
Book学术文献互助
Book学术文献互助群
群 号:604180095
Book学术官方微信