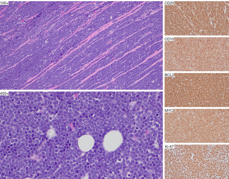
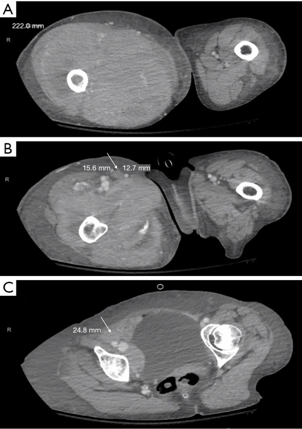
Case report of high-grade B-cell lymphoma with MYC and BCL2 rearrangements presenting as compartment syndrome of the leg.

IF 0.7 Q3 MEDICINE, GENERAL & INTERNAL
AME Case Reports Pub Date : 2025-03-26 eCollection Date: 2025-01-01 DOI:10.21037/acr-24-154
Xin Wang, Noureldien Darwish, Xiaoyan Huang
{"title":"Case report of high-grade B-cell lymphoma with <i>MYC</i> and <i>BCL2</i> rearrangements presenting as compartment syndrome of the leg.","authors":"Xin Wang, Noureldien Darwish, Xiaoyan Huang","doi":"10.21037/acr-24-154","DOIUrl":null,"url":null,"abstract":"<p><strong>Background: </strong>Diffuse large B-cell lymphoma (DLBCL)/high-grade B-cell lymphoma with MYC and BCL2 rearrangements (\"double-hit\" lymphoma) is an uncommon subtype of mature B-cell lymphoma characterized by the concurrent rearrangements of MYC and BCL2 oncogenes. Rarely, aggressive high-grade lymphomas manifest as compartment syndrome, necessitating urgent surgical intervention. Here, we describe a case of high-grade B-cell lymphoma with an unusual presentation of compartment syndrome.</p><p><strong>Case description: </strong>A 68-year-old woman presented to the emergency room with increased swelling and pain in her right leg, was subsequently diagnosed with right thigh compartment syndrome, and underwent urgent fasciotomy followed by repeat debridement in the medical wound closure. Additionally, the patient was found to have inguinal and external iliac lymphadenopathy along with deep vein thrombosis (DVT). Her past medical history included human immunodeficiency virus (HIV) infection, which was well-controlled with bictegravir, emtricitabine, and tenofovir alafenamide. Excisional biopsy of the right thigh muscle and fluorescence in situ hybridization (FISH) analysis confirmed the diagnosis of high-grade B-cell lymphoma with <i>MYC</i> and <i>BCL2</i> gene rearrangements arising in the setting of immunodeficiency/dysregulation (lymphoma associated with HIV infection). Despite aggressive medical management in the intensive care unit, the patient succumbed to the disease and ultimately died from sepsis and hemorrhagic shock.</p><p><strong>Conclusions: </strong>High-grade B-cell lymphoma with MYC and BCL2 rearrangements represents an aggressive lymphoma with a poor prognosis. The unusual manifestation of this lymphoma involving skeletal muscle and presenting as compartment syndrome is rare. Unfortunately, the patient passed away shortly after undergoing debridement surgery. This case highlights the importance for clinicians to be vigilant and attentive to atypical presentations, as delays in diagnosis and treatment can have significant consequences. Early recognition and prompt intervention are crucial in saving the patient's life.</p>","PeriodicalId":29752,"journal":{"name":"AME Case Reports","volume":"9 ","pages":"62"},"PeriodicalIF":0.7000,"publicationDate":"2025-03-26","publicationTypes":"Journal Article","fieldsOfStudy":null,"isOpenAccess":false,"openAccessPdf":"https://www.ncbi.nlm.nih.gov/pmc/articles/PMC12053879/pdf/","citationCount":"0","resultStr":null,"platform":"Semanticscholar","paperid":null,"PeriodicalName":"AME Case Reports","FirstCategoryId":"1085","ListUrlMain":"https://doi.org/10.21037/acr-24-154","RegionNum":0,"RegionCategory":null,"ArticlePicture":[],"TitleCN":null,"AbstractTextCN":null,"PMCID":null,"EPubDate":"2025/1/1 0:00:00","PubModel":"eCollection","JCR":"Q3","JCRName":"MEDICINE, GENERAL & INTERNAL","Score":null,"Total":0}
引用次数: 0

Abstract

Background: Diffuse large B-cell lymphoma (DLBCL)/high-grade B-cell lymphoma with MYC and BCL2 rearrangements ("double-hit" lymphoma) is an uncommon subtype of mature B-cell lymphoma characterized by the concurrent rearrangements of MYC and BCL2 oncogenes. Rarely, aggressive high-grade lymphomas manifest as compartment syndrome, necessitating urgent surgical intervention. Here, we describe a case of high-grade B-cell lymphoma with an unusual presentation of compartment syndrome.

Case description: A 68-year-old woman presented to the emergency room with increased swelling and pain in her right leg, was subsequently diagnosed with right thigh compartment syndrome, and underwent urgent fasciotomy followed by repeat debridement in the medical wound closure. Additionally, the patient was found to have inguinal and external iliac lymphadenopathy along with deep vein thrombosis (DVT). Her past medical history included human immunodeficiency virus (HIV) infection, which was well-controlled with bictegravir, emtricitabine, and tenofovir alafenamide. Excisional biopsy of the right thigh muscle and fluorescence in situ hybridization (FISH) analysis confirmed the diagnosis of high-grade B-cell lymphoma with MYC and BCL2 gene rearrangements arising in the setting of immunodeficiency/dysregulation (lymphoma associated with HIV infection). Despite aggressive medical management in the intensive care unit, the patient succumbed to the disease and ultimately died from sepsis and hemorrhagic shock.

Conclusions: High-grade B-cell lymphoma with MYC and BCL2 rearrangements represents an aggressive lymphoma with a poor prognosis. The unusual manifestation of this lymphoma involving skeletal muscle and presenting as compartment syndrome is rare. Unfortunately, the patient passed away shortly after undergoing debridement surgery. This case highlights the importance for clinicians to be vigilant and attentive to atypical presentations, as delays in diagnosis and treatment can have significant consequences. Early recognition and prompt intervention are crucial in saving the patient's life.

Abstract Image

Abstract Image

高级别b细胞淋巴瘤伴MYC和BCL2重排,表现为腿部筋膜室综合征。
背景:弥漫性大b细胞淋巴瘤(DLBCL)/ MYC和BCL2重排的高级别b细胞淋巴瘤(“双重打击”淋巴瘤)是一种罕见的成熟b细胞淋巴瘤亚型,其特征是MYC和BCL2癌基因同时重排。罕见的侵袭性高级别淋巴瘤表现为室室综合征,需要紧急手术干预。在这里,我们描述一个高级别b细胞淋巴瘤的不寻常的表现室综合征。病例描述:一名68岁女性因右腿肿胀和疼痛加重而被送往急诊室,随后被诊断为右腿筋膜室综合征,并接受了紧急筋膜切开术,随后在医学伤口愈合中进行了多次清创。此外,患者被发现有腹股沟和髂外淋巴结病变并深静脉血栓形成(DVT)。既往病史包括人类免疫缺陷病毒(HIV)感染,使用比替替韦、恩曲他滨和替诺福韦控制良好。右大腿肌肉的切除活检和荧光原位杂交(FISH)分析证实了高级别b细胞淋巴瘤的诊断,MYC和BCL2基因重排出现在免疫缺陷/失调的情况下(淋巴瘤与HIV感染相关)。尽管在重症监护室进行了积极的医疗管理,但患者还是死于这种疾病,最终死于败血症和失血性休克。结论:MYC和BCL2重排的高级别b细胞淋巴瘤是一种预后不良的侵袭性淋巴瘤。这种淋巴瘤累及骨骼肌,表现为筋膜室综合征是罕见的。不幸的是,患者在接受清创手术后不久就去世了。该病例强调了临床医生警惕和注意非典型表现的重要性,因为诊断和治疗的延误可能会产生重大后果。早期识别和及时干预对挽救病人的生命至关重要。
本文章由计算机程序翻译,如有差异,请以英文原文为准。
求助全文
约1分钟内获得全文 求助全文
来源期刊
自引率
0.00%
发文量
0
×
引用
GB/T 7714-2015
复制
MLA
复制
APA
复制
导出至
BibTeX EndNote RefMan NoteFirst NoteExpress
×
提示
您的信息不完整,为了账户安全,请先补充。
现在去补充
×
提示
您因"违规操作"
具体请查看互助需知
我知道了
×
提示
确定
请完成安全验证×
copy
已复制链接
快去分享给好友吧!
我知道了
右上角分享
点击右上角分享
0
联系我们:info@booksci.cn Book学术提供免费学术资源搜索服务,方便国内外学者检索中英文文献。致力于提供最便捷和优质的服务体验。 Copyright © 2023 布克学术 All rights reserved.
京ICP备2023020795号-1
ghs 京公网安备 11010802042870号
Book学术文献互助
Book学术文献互助群
群 号:604180095
Book学术官方微信