Hepatic angiosarcoma in a patient treated with obeticholic acid for primary biliary cholangitis.

IF 2.1 Q4 GASTROENTEROLOGY & HEPATOLOGY
Hepatology Forum Pub Date : 2024-12-24 eCollection Date: 2025-01-01 DOI:10.14744/hf.2024.2024.0035
Arif A Arif, Subin Punnen, Michael Bleszynski, Owen Daniel R, Eric M Yoshida
{"title":"Hepatic angiosarcoma in a patient treated with obeticholic acid for primary biliary cholangitis.","authors":"Arif A Arif, Subin Punnen, Michael Bleszynski, Owen Daniel R, Eric M Yoshida","doi":"10.14744/hf.2024.2024.0035","DOIUrl":null,"url":null,"abstract":"<p><p>Primary Biliary Cholangitis (PBC) is a chronic cholestatic liver disease that can lead to cirrhosis and the development of hepatocellular carcinoma. PBC is not known to be associated with hepatic angiosarcoma. Second-line treatments for PBC, including obeticholic acid, have had less than a decade of clinical use. We present a case of a patient with PBC treated with obeticholic acid who subsequently developed hepatic angiosarcoma. The patient is now on active surveillance following resection of the angiosarcoma. The development of this rare and aggressive cancer should prompt closer post-marketing surveillance for obeticholic acid.</p>","PeriodicalId":29722,"journal":{"name":"Hepatology Forum","volume":"6 2","pages":"69-71"},"PeriodicalIF":2.1000,"publicationDate":"2024-12-24","publicationTypes":"Journal Article","fieldsOfStudy":null,"isOpenAccess":false,"openAccessPdf":"https://www.ncbi.nlm.nih.gov/pmc/articles/PMC11999894/pdf/","citationCount":"0","resultStr":null,"platform":"Semanticscholar","paperid":null,"PeriodicalName":"Hepatology Forum","FirstCategoryId":"1085","ListUrlMain":"https://doi.org/10.14744/hf.2024.2024.0035","RegionNum":0,"RegionCategory":null,"ArticlePicture":[],"TitleCN":null,"AbstractTextCN":null,"PMCID":null,"EPubDate":"2025/1/1 0:00:00","PubModel":"eCollection","JCR":"Q4","JCRName":"GASTROENTEROLOGY & HEPATOLOGY","Score":null,"Total":0}
引用次数: 0

Abstract

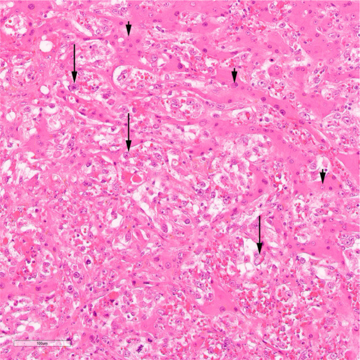
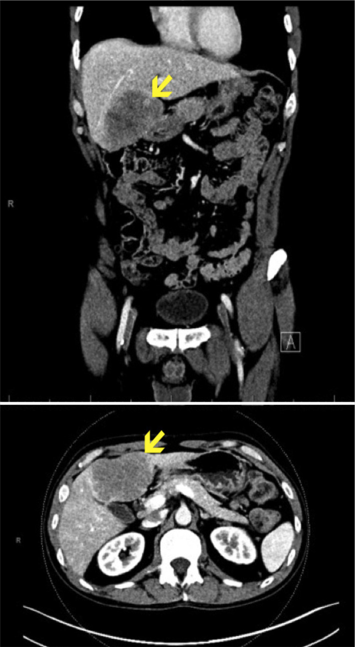
Primary Biliary Cholangitis (PBC) is a chronic cholestatic liver disease that can lead to cirrhosis and the development of hepatocellular carcinoma. PBC is not known to be associated with hepatic angiosarcoma. Second-line treatments for PBC, including obeticholic acid, have had less than a decade of clinical use. We present a case of a patient with PBC treated with obeticholic acid who subsequently developed hepatic angiosarcoma. The patient is now on active surveillance following resection of the angiosarcoma. The development of this rare and aggressive cancer should prompt closer post-marketing surveillance for obeticholic acid.

Abstract Image

Abstract Image

奥贝胆酸治疗原发性胆管炎患者的肝血管肉瘤。
原发性胆道胆管炎(PBC)是一种慢性胆汁淤积性肝病,可导致肝硬化和肝细胞癌的发展。目前尚不清楚PBC是否与肝血管肉瘤有关。二线治疗PBC,包括奥贝胆酸,临床使用不到10年。我们提出一个病例,病人的PBC治疗与欧贝胆酸谁随后发展为肝血管肉瘤。在切除血管肉瘤后,患者正在接受积极监测。这种罕见的侵袭性癌症的发展应促使对欧贝胆酸进行更密切的上市后监测。
本文章由计算机程序翻译,如有差异,请以英文原文为准。
求助全文
约1分钟内获得全文 求助全文
来源期刊
CiteScore
1.90
自引率
12.50%
发文量
0
×
引用
GB/T 7714-2015
复制
MLA
复制
APA
复制
导出至
BibTeX EndNote RefMan NoteFirst NoteExpress
×
提示
您的信息不完整,为了账户安全,请先补充。
现在去补充
×
提示
您因"违规操作"
具体请查看互助需知
我知道了
×
提示
确定
请完成安全验证×
copy
已复制链接
快去分享给好友吧!
我知道了
右上角分享
点击右上角分享
0
联系我们:info@booksci.cn Book学术提供免费学术资源搜索服务,方便国内外学者检索中英文文献。致力于提供最便捷和优质的服务体验。 Copyright © 2023 布克学术 All rights reserved.
京ICP备2023020795号-1
ghs 京公网安备 11010802042870号
Book学术文献互助
Book学术文献互助群
群 号:604180095
Book学术官方微信