Rare Unicentric Intrapulmonary Castleman Disease: A Systematic Review and Report of a Case.

Q3 Medicine
Open Respiratory Medicine Journal Pub Date : 2025-02-18 eCollection Date: 2025-01-01 DOI:10.2174/0118743064348696250107092627
Manjinder Kaur Pannu, Jonas Peter Ehrsam, Olga Meier Adamenko, Ilhan Inci, Othmar Markus Schöb
{"title":"Rare Unicentric Intrapulmonary Castleman Disease: A Systematic Review and Report of a Case.","authors":"Manjinder Kaur Pannu, Jonas Peter Ehrsam, Olga Meier Adamenko, Ilhan Inci, Othmar Markus Schöb","doi":"10.2174/0118743064348696250107092627","DOIUrl":null,"url":null,"abstract":"<p><strong>Objectives: </strong>Castleman disease (CD) is a very rare B-cell lymphoproliferative disorder marked by the abnormal enlargement of lymph node tissue. It can present as either unicentric (UCD) or multicentric, with the former often appearing in intrathoracic regions, although its presence within the lungs is uncommon.</p><p><strong>Methods: </strong>We report the case of a 42-year-old woman who underwent resection of an 11 cm intrapulmonary UCD. Additionally, we conducted a systematic review of the demographics, clinical presentation, diagnosis, and treatment approaches for intrapulmonary UCD.</p><p><strong>Results: </strong>Our review identified 35 documented cases of intrapulmonary UCD, including our case. The average age was 34 years, with a female predominance of 57.7%. Tumor sizes ranged from 1.5 to 11 cm, with our case being the largest. Of the 24 cases with reported anamnesis, 58.3% were asymptomatic, while 41.7% had nonspecific symptoms such as cough, chest pain, or fever (as in our case). Histological analysis was available for 24 cases, with 83.3% identified as the hyaline vascular type. Biopsies through small needle aspiration or fresh-frozen samples failed in all attempts, requiring resection for diagnosis and treatment. Due to high vascularity, delicate location, and lack of diagnosis, lobectomy or pneumonectomy was performed in 45.7% of cases. Among the 11 cases with reported follow-up, no disease recurrence was observed over an average of 3 years.</p><p><strong>Conclusion: </strong>Our systematic review highlights the rarity of UCD in the lungs. The demographics of intrapulmonary UCD align with the general disease profile. Surgical removal is crucial for both diagnosis and treatment. The significant vascularity and pulmonary location of these tumors present challenges, requiring pre-operative awareness and precautions.</p>","PeriodicalId":39127,"journal":{"name":"Open Respiratory Medicine Journal","volume":"19 ","pages":"e18743064348696"},"PeriodicalIF":0.0000,"publicationDate":"2025-02-18","publicationTypes":"Journal Article","fieldsOfStudy":null,"isOpenAccess":false,"openAccessPdf":"https://www.ncbi.nlm.nih.gov/pmc/articles/PMC12046237/pdf/","citationCount":"0","resultStr":null,"platform":"Semanticscholar","paperid":null,"PeriodicalName":"Open Respiratory Medicine Journal","FirstCategoryId":"1085","ListUrlMain":"https://doi.org/10.2174/0118743064348696250107092627","RegionNum":0,"RegionCategory":null,"ArticlePicture":[],"TitleCN":null,"AbstractTextCN":null,"PMCID":null,"EPubDate":"2025/1/1 0:00:00","PubModel":"eCollection","JCR":"Q3","JCRName":"Medicine","Score":null,"Total":0}
引用次数: 0

Abstract

Objectives: Castleman disease (CD) is a very rare B-cell lymphoproliferative disorder marked by the abnormal enlargement of lymph node tissue. It can present as either unicentric (UCD) or multicentric, with the former often appearing in intrathoracic regions, although its presence within the lungs is uncommon.

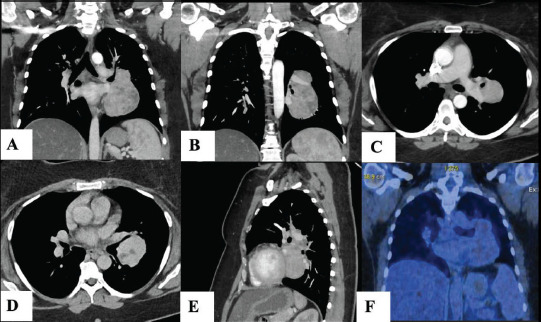
Methods: We report the case of a 42-year-old woman who underwent resection of an 11 cm intrapulmonary UCD. Additionally, we conducted a systematic review of the demographics, clinical presentation, diagnosis, and treatment approaches for intrapulmonary UCD.

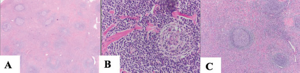
Results: Our review identified 35 documented cases of intrapulmonary UCD, including our case. The average age was 34 years, with a female predominance of 57.7%. Tumor sizes ranged from 1.5 to 11 cm, with our case being the largest. Of the 24 cases with reported anamnesis, 58.3% were asymptomatic, while 41.7% had nonspecific symptoms such as cough, chest pain, or fever (as in our case). Histological analysis was available for 24 cases, with 83.3% identified as the hyaline vascular type. Biopsies through small needle aspiration or fresh-frozen samples failed in all attempts, requiring resection for diagnosis and treatment. Due to high vascularity, delicate location, and lack of diagnosis, lobectomy or pneumonectomy was performed in 45.7% of cases. Among the 11 cases with reported follow-up, no disease recurrence was observed over an average of 3 years.

Conclusion: Our systematic review highlights the rarity of UCD in the lungs. The demographics of intrapulmonary UCD align with the general disease profile. Surgical removal is crucial for both diagnosis and treatment. The significant vascularity and pulmonary location of these tumors present challenges, requiring pre-operative awareness and precautions.

Abstract Image

Abstract Image

Abstract Image

罕见单中心性肺内Castleman病:1例系统回顾与报告。
目的:Castleman病(CD)是一种非常罕见的b淋巴细胞增生性疾病,其特征是淋巴结组织异常肿大。它可以表现为单中心(UCD)或多中心(UCD),前者常出现在胸内区域,但在肺部并不常见。方法:我们报告的情况下,42岁的妇女谁接受切除11厘米肺内UCD。此外,我们对肺内UCD的人口统计学、临床表现、诊断和治疗方法进行了系统回顾。结果:我们的综述确定了35例记录在案的肺内UCD,包括我们的病例。平均年龄34岁,女性占57.7%。肿瘤大小从1.5厘米到11厘米不等,我们的病例是最大的。在24例报告有记忆的病例中,58.3%无症状,而41.7%有非特异性症状,如咳嗽、胸痛或发烧(如本病例)。组织学分析24例,83.3%为透明血管型。通过小针抽吸或新鲜冷冻样本活检均失败,需要切除诊断和治疗。由于高血管,位置微妙,缺乏诊断,45.7%的病例行肺叶切除术或全肺切除术。随访11例,平均3年未见疾病复发。结论:我们的系统综述强调了肺部UCD的罕见性。肺内UCD的人口统计学特征与一般疾病概况一致。手术切除对诊断和治疗都至关重要。这些肿瘤的重要血管分布和肺位置提出了挑战,需要术前意识和预防措施。
本文章由计算机程序翻译,如有差异,请以英文原文为准。
求助全文
约1分钟内获得全文 求助全文
来源期刊
Open Respiratory Medicine Journal
Open Respiratory Medicine Journal Medicine-Pulmonary and Respiratory Medicine
CiteScore
1.70
自引率
0.00%
发文量
17
期刊介绍: The Open Respiratory Medicine Journal is an Open Access online journal, which publishes research articles, reviews/mini-reviews, letters and guest edited single topic issues in all important areas of experimental and clinical research in respiratory medicine. Topics covered include: -COPD- Occupational disorders, and the role of allergens and pollutants- Asthma- Allergy- Non-invasive ventilation- Therapeutic intervention- Lung cancer- Lung infections respiratory diseases- Therapeutic interventions- Adult and paediatric medicine- Cell biology. The Open Respiratory Medicine Journal, a peer reviewed journal, is an important and reliable source of current information on important recent developments in the field. The emphasis will be on publishing quality articles rapidly and making them freely available worldwide.
×
引用
GB/T 7714-2015
复制
MLA
复制
APA
复制
导出至
BibTeX EndNote RefMan NoteFirst NoteExpress
×
提示
您的信息不完整,为了账户安全,请先补充。
现在去补充
×
提示
您因"违规操作"
具体请查看互助需知
我知道了
×
提示
确定
请完成安全验证×
copy
已复制链接
快去分享给好友吧!
我知道了
右上角分享
点击右上角分享
0
联系我们:info@booksci.cn Book学术提供免费学术资源搜索服务,方便国内外学者检索中英文文献。致力于提供最便捷和优质的服务体验。 Copyright © 2023 布克学术 All rights reserved.
京ICP备2023020795号-1
ghs 京公网安备 11010802042870号
Book学术文献互助
Book学术文献互助群
群 号:604180095
Book学术官方微信