Molecular detection and hematological alterations in dogs infected by Babesia vogeli from Paraguay.

Brazilian journal of veterinary medicine Pub Date : 2025-04-22 eCollection Date: 2025-01-01 DOI:10.29374/2527-2179.bjvm008824
Liz Aurora Castro Rojas, Elvio Gayozo, Guadalupe Gómez, Pedro Torres, Deydra Valenzuela Zaracho, Raquel Pedrozo Prieto
{"title":"Molecular detection and hematological alterations in dogs infected by <i>Babesia vogeli</i> from Paraguay.","authors":"Liz Aurora Castro Rojas, Elvio Gayozo, Guadalupe Gómez, Pedro Torres, Deydra Valenzuela Zaracho, Raquel Pedrozo Prieto","doi":"10.29374/2527-2179.bjvm008824","DOIUrl":null,"url":null,"abstract":"<p><p>Babesiosis is a vector-borne disease caused by an intraerythrocytic protozoan parasite of the genus <i>Babesia</i>. There are several species of <i>Babesia</i> that can infect dogs, however, <i>B. vogeli</i> is the most widely distributed in South America. Anemia and thrombocytopenia are the most frequent hematologic alterations reported in dogs with babesiosis. The aim of the present study was to perform a molecular characterization of the <i>Babesia</i> species and describe the hematological findings regarding dogs with the <i>Babesia</i> infection. Blood samples were collected from 35 dogs living in an urban area with symptoms compatible with babesiosis, and the data was analyzed using molecular as well as hematological approaches. Molecular detection was performed by nested Polymerase Chain Reaction (PCR) targeting the 18S rRNA gene. To identify species, positives samples were sequenced and analyzed. Among the total number of samples, four (11%) were reported as positive due to a high identity (99-100%) and were clustered with the <i>B. vogeli</i> clade. The main hematological alteration found in infected dogs was thrombocytopenia (100%). Other abnormalities were also observed, although to a lesser extent, such as: normocytic normochromic anemia, monocytosis and eosinopenia. It is important to emphasize that this research is the first study involving molecular detection and hematology abnormalities in dogs with <i>B. vogeli</i> from Paraguay.</p>","PeriodicalId":72458,"journal":{"name":"Brazilian journal of veterinary medicine","volume":"47 ","pages":"e008824"},"PeriodicalIF":0.0000,"publicationDate":"2025-04-22","publicationTypes":"Journal Article","fieldsOfStudy":null,"isOpenAccess":false,"openAccessPdf":"https://www.ncbi.nlm.nih.gov/pmc/articles/PMC12017582/pdf/","citationCount":"0","resultStr":null,"platform":"Semanticscholar","paperid":null,"PeriodicalName":"Brazilian journal of veterinary medicine","FirstCategoryId":"1085","ListUrlMain":"https://doi.org/10.29374/2527-2179.bjvm008824","RegionNum":0,"RegionCategory":null,"ArticlePicture":[],"TitleCN":null,"AbstractTextCN":null,"PMCID":null,"EPubDate":"2025/1/1 0:00:00","PubModel":"eCollection","JCR":"","JCRName":"","Score":null,"Total":0}
引用次数: 0

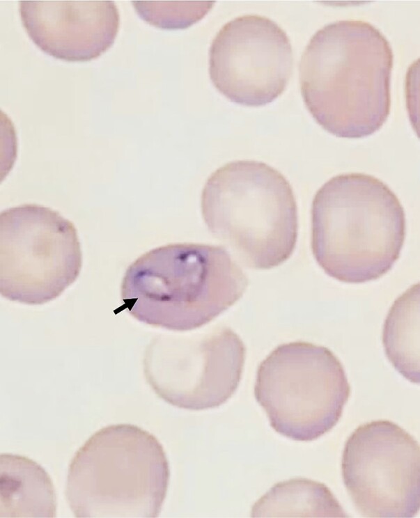
Abstract

Babesiosis is a vector-borne disease caused by an intraerythrocytic protozoan parasite of the genus Babesia. There are several species of Babesia that can infect dogs, however, B. vogeli is the most widely distributed in South America. Anemia and thrombocytopenia are the most frequent hematologic alterations reported in dogs with babesiosis. The aim of the present study was to perform a molecular characterization of the Babesia species and describe the hematological findings regarding dogs with the Babesia infection. Blood samples were collected from 35 dogs living in an urban area with symptoms compatible with babesiosis, and the data was analyzed using molecular as well as hematological approaches. Molecular detection was performed by nested Polymerase Chain Reaction (PCR) targeting the 18S rRNA gene. To identify species, positives samples were sequenced and analyzed. Among the total number of samples, four (11%) were reported as positive due to a high identity (99-100%) and were clustered with the B. vogeli clade. The main hematological alteration found in infected dogs was thrombocytopenia (100%). Other abnormalities were also observed, although to a lesser extent, such as: normocytic normochromic anemia, monocytosis and eosinopenia. It is important to emphasize that this research is the first study involving molecular detection and hematology abnormalities in dogs with B. vogeli from Paraguay.

Abstract Image

Abstract Image

巴拉圭沃氏巴贝虫感染犬的分子检测和血液学变化。
巴贝斯虫病是一种由巴贝斯虫属红细胞内原生动物寄生虫引起的媒介传播疾病。有几种巴贝斯虫可以感染狗,然而,在南美洲分布最广泛的是B. vogeli。贫血和血小板减少症是巴贝斯虫病犬中最常见的血液学改变。本研究的目的是对巴贝斯虫进行分子表征,并描述巴贝斯虫感染犬的血液学结果。从生活在城市地区的35只狗身上采集了与巴贝斯虫病症状相符的血液样本,并使用分子和血液学方法对数据进行了分析。采用巢式聚合酶链式反应(PCR)对18S rRNA基因进行分子检测。为了鉴定物种,对阳性样本进行测序和分析。在所有样本中,有4个(11%)样本由于高度识别(99-100%)而报告为阳性,并与B. vogeli分支聚集在一起。感染犬的主要血液学改变是血小板减少(100%)。其他异常也被观察到,虽然程度较轻,如:正红细胞性正色性贫血,单核细胞增多症和红细胞减少症。值得强调的是,这项研究是首次涉及巴拉圭沃格里芽孢杆菌犬的分子检测和血液学异常的研究。
本文章由计算机程序翻译,如有差异,请以英文原文为准。
求助全文
约1分钟内获得全文 求助全文
来源期刊
自引率
0.00%
发文量
0
×
引用
GB/T 7714-2015
复制
MLA
复制
APA
复制
导出至
BibTeX EndNote RefMan NoteFirst NoteExpress
×
提示
您的信息不完整,为了账户安全,请先补充。
现在去补充
×
提示
您因"违规操作"
具体请查看互助需知
我知道了
×
提示
确定
请完成安全验证×
copy
已复制链接
快去分享给好友吧!
我知道了
右上角分享
点击右上角分享
0
联系我们:info@booksci.cn Book学术提供免费学术资源搜索服务,方便国内外学者检索中英文文献。致力于提供最便捷和优质的服务体验。 Copyright © 2023 布克学术 All rights reserved.
京ICP备2023020795号-1
ghs 京公网安备 11010802042870号
Book学术文献互助
Book学术文献互助群
群 号:604180095
Book学术官方微信